Suppr超能文献

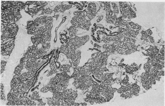
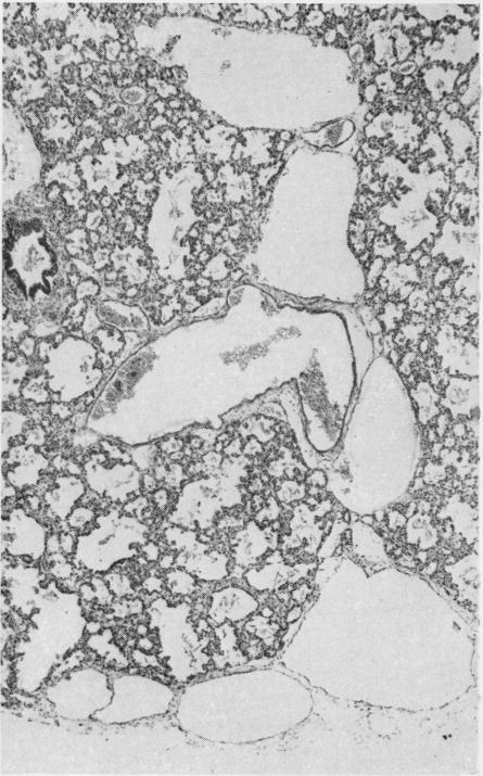
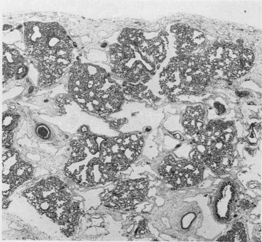
Congenital pulmonary lymphangiectasis.

作者信息

LAURENCE K M

出版信息

J Clin Pathol. 1959 Jan;12(1):62-9. doi: 10.1136/jcp.12.1.62.

Abstract
摘要
https://cdn.ncbi.nlm.nih.gov/pmc/blobs/4555/479852/bab1935fe565/jclinpath00048-0070-a.jpg

文献AI研究员

20分钟写一篇综述,助力文献阅读效率提升50倍。

立即体验

用中文搜PubMed

大模型驱动的PubMed中文搜索引擎

马上搜索

文档翻译

学术文献翻译模型,支持多种主流文档格式。

立即体验