• 文献检索
  • 文档翻译
  • 深度研究
  • 学术资讯
  • Suppr Zotero 插件Zotero 插件
  • 邀请有礼
  • 套餐&价格
  • 历史记录
应用&插件
Suppr Zotero 插件Zotero 插件浏览器插件Mac 客户端Windows 客户端微信小程序
定价
高级版会员购买积分包购买API积分包
服务
文献检索文档翻译深度研究API 文档MCP 服务
关于我们
关于 Suppr公司介绍联系我们用户协议隐私条款
关注我们

Suppr 超能文献

核心技术专利:CN118964589B侵权必究
粤ICP备2023148730 号-1Suppr @ 2026

文献检索

告别复杂PubMed语法,用中文像聊天一样搜索,搜遍4000万医学文献。AI智能推荐,让科研检索更轻松。

立即免费搜索

文件翻译

保留排版,准确专业,支持PDF/Word/PPT等文件格式,支持 12+语言互译。

免费翻译文档

深度研究

AI帮你快速写综述,25分钟生成高质量综述,智能提取关键信息,辅助科研写作。

立即免费体验

儿童间质性肺疾病:分类和影像学表现的最新认识。

Childhood interstitial lung diseases: current understanding of the classification and imaging findings.

机构信息

Department of Radiology, Keio University School of Medicine, 35, Shinanomachi, Shinjuku-ku, Tokyo, 160-0016, Japan.

Department of Radiology, Musashino-Yowakai Hospital, Tokyo, Japan.

出版信息

Jpn J Radiol. 2024 Sep;42(9):937-952. doi: 10.1007/s11604-024-01603-6. Epub 2024 Jul 16.

DOI:10.1007/s11604-024-01603-6
PMID:39012450
原文链接:https://pmc.ncbi.nlm.nih.gov/articles/PMC11364587/
Abstract

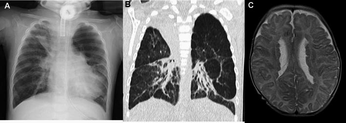
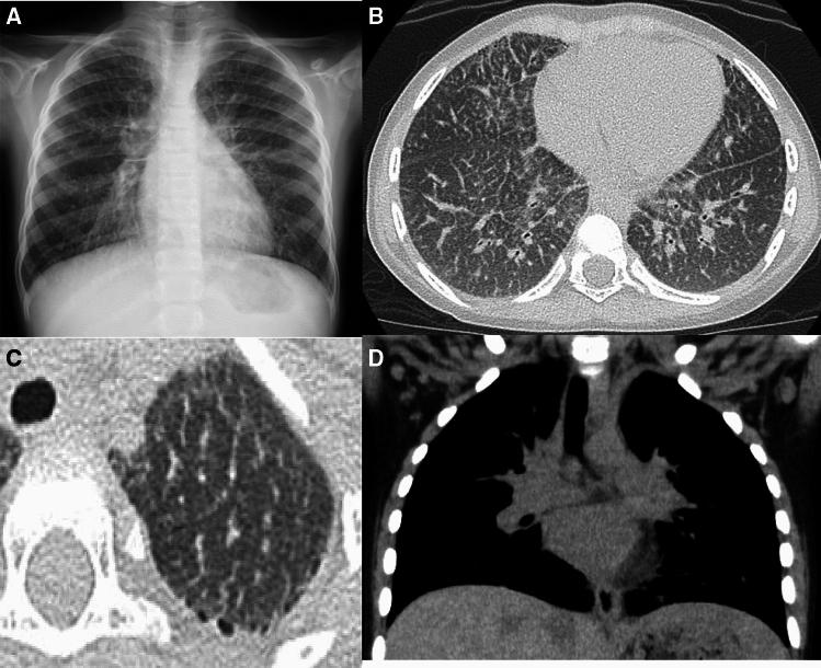
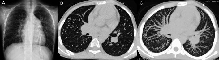
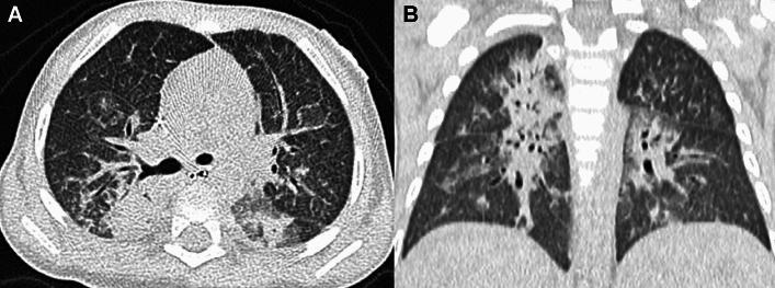
Childhood interstitial lung diseases (chILDs) encompass a diverse group of disorders with a high mortality rate and severe respiratory morbidities. Recent investigations have revealed that the classification of adult ILDs is not valid for chILDs, particularly for ILDs of early onset. Therefore, Children's Interstitial Lung Disease Research Cooperative of North America proposed a new classification of chILDs for affected children under 2 years of age, and later another classification for affected individuals between 2 and 18 years of age. In this review, we provide an overview of the imaging findings of chILDs by classification. Most infantile ILDs have unique clinical, radiological, and molecular findings, while the manifestation of pediatric ILDs overlaps with that of adult ILDs.

摘要

儿童间质性肺疾病(chILDs)涵盖了一组具有高死亡率和严重呼吸系统并发症的不同疾病。最近的研究表明,成人间质性肺疾病的分类不适用于 chILDs,特别是对于早发性间质性肺疾病。因此,北美儿童间质性肺疾病研究合作组织提出了一种新的 chILD 分类方法,适用于 2 岁以下的受影响儿童,后来又提出了一种适用于 2 至 18 岁受影响个体的分类方法。在这篇综述中,我们按分类介绍了 chILDs 的影像学表现。大多数婴儿期间质性肺疾病具有独特的临床、放射学和分子表现,而儿科间质性肺疾病的表现与成人间质性肺疾病重叠。

https://cdn.ncbi.nlm.nih.gov/pmc/blobs/e6ad/11364587/3c8504f4c0ba/11604_2024_1603_Fig19_HTML.jpg
https://cdn.ncbi.nlm.nih.gov/pmc/blobs/e6ad/11364587/b69f3ee6b5f6/11604_2024_1603_Fig1_HTML.jpg
https://cdn.ncbi.nlm.nih.gov/pmc/blobs/e6ad/11364587/c304877afe9f/11604_2024_1603_Fig2_HTML.jpg
https://cdn.ncbi.nlm.nih.gov/pmc/blobs/e6ad/11364587/cab13fed6ef5/11604_2024_1603_Fig3_HTML.jpg
https://cdn.ncbi.nlm.nih.gov/pmc/blobs/e6ad/11364587/bd418d4eaf3e/11604_2024_1603_Fig4_HTML.jpg
https://cdn.ncbi.nlm.nih.gov/pmc/blobs/e6ad/11364587/0997a0ad15de/11604_2024_1603_Fig5_HTML.jpg
https://cdn.ncbi.nlm.nih.gov/pmc/blobs/e6ad/11364587/52b99d78866f/11604_2024_1603_Fig6_HTML.jpg
https://cdn.ncbi.nlm.nih.gov/pmc/blobs/e6ad/11364587/57ec570ffe7b/11604_2024_1603_Fig7_HTML.jpg
https://cdn.ncbi.nlm.nih.gov/pmc/blobs/e6ad/11364587/cb03964bc5a6/11604_2024_1603_Fig8_HTML.jpg
https://cdn.ncbi.nlm.nih.gov/pmc/blobs/e6ad/11364587/e0798c83ca22/11604_2024_1603_Fig9_HTML.jpg
https://cdn.ncbi.nlm.nih.gov/pmc/blobs/e6ad/11364587/fd8eeff92110/11604_2024_1603_Fig10_HTML.jpg
https://cdn.ncbi.nlm.nih.gov/pmc/blobs/e6ad/11364587/a8ae9c1533fd/11604_2024_1603_Fig11_HTML.jpg
https://cdn.ncbi.nlm.nih.gov/pmc/blobs/e6ad/11364587/722dc89402f7/11604_2024_1603_Fig12_HTML.jpg
https://cdn.ncbi.nlm.nih.gov/pmc/blobs/e6ad/11364587/66e9275c6920/11604_2024_1603_Fig13_HTML.jpg
https://cdn.ncbi.nlm.nih.gov/pmc/blobs/e6ad/11364587/efdffca9b29d/11604_2024_1603_Fig14_HTML.jpg
https://cdn.ncbi.nlm.nih.gov/pmc/blobs/e6ad/11364587/6baa009948bb/11604_2024_1603_Fig15_HTML.jpg
https://cdn.ncbi.nlm.nih.gov/pmc/blobs/e6ad/11364587/816fa5f17a42/11604_2024_1603_Fig16_HTML.jpg
https://cdn.ncbi.nlm.nih.gov/pmc/blobs/e6ad/11364587/1a47c748d474/11604_2024_1603_Fig17_HTML.jpg
https://cdn.ncbi.nlm.nih.gov/pmc/blobs/e6ad/11364587/61372211a524/11604_2024_1603_Fig18_HTML.jpg
https://cdn.ncbi.nlm.nih.gov/pmc/blobs/e6ad/11364587/3c8504f4c0ba/11604_2024_1603_Fig19_HTML.jpg
https://cdn.ncbi.nlm.nih.gov/pmc/blobs/e6ad/11364587/b69f3ee6b5f6/11604_2024_1603_Fig1_HTML.jpg
https://cdn.ncbi.nlm.nih.gov/pmc/blobs/e6ad/11364587/c304877afe9f/11604_2024_1603_Fig2_HTML.jpg
https://cdn.ncbi.nlm.nih.gov/pmc/blobs/e6ad/11364587/cab13fed6ef5/11604_2024_1603_Fig3_HTML.jpg
https://cdn.ncbi.nlm.nih.gov/pmc/blobs/e6ad/11364587/bd418d4eaf3e/11604_2024_1603_Fig4_HTML.jpg
https://cdn.ncbi.nlm.nih.gov/pmc/blobs/e6ad/11364587/0997a0ad15de/11604_2024_1603_Fig5_HTML.jpg
https://cdn.ncbi.nlm.nih.gov/pmc/blobs/e6ad/11364587/52b99d78866f/11604_2024_1603_Fig6_HTML.jpg
https://cdn.ncbi.nlm.nih.gov/pmc/blobs/e6ad/11364587/57ec570ffe7b/11604_2024_1603_Fig7_HTML.jpg
https://cdn.ncbi.nlm.nih.gov/pmc/blobs/e6ad/11364587/cb03964bc5a6/11604_2024_1603_Fig8_HTML.jpg
https://cdn.ncbi.nlm.nih.gov/pmc/blobs/e6ad/11364587/e0798c83ca22/11604_2024_1603_Fig9_HTML.jpg
https://cdn.ncbi.nlm.nih.gov/pmc/blobs/e6ad/11364587/fd8eeff92110/11604_2024_1603_Fig10_HTML.jpg
https://cdn.ncbi.nlm.nih.gov/pmc/blobs/e6ad/11364587/a8ae9c1533fd/11604_2024_1603_Fig11_HTML.jpg
https://cdn.ncbi.nlm.nih.gov/pmc/blobs/e6ad/11364587/722dc89402f7/11604_2024_1603_Fig12_HTML.jpg
https://cdn.ncbi.nlm.nih.gov/pmc/blobs/e6ad/11364587/66e9275c6920/11604_2024_1603_Fig13_HTML.jpg
https://cdn.ncbi.nlm.nih.gov/pmc/blobs/e6ad/11364587/efdffca9b29d/11604_2024_1603_Fig14_HTML.jpg
https://cdn.ncbi.nlm.nih.gov/pmc/blobs/e6ad/11364587/6baa009948bb/11604_2024_1603_Fig15_HTML.jpg
https://cdn.ncbi.nlm.nih.gov/pmc/blobs/e6ad/11364587/816fa5f17a42/11604_2024_1603_Fig16_HTML.jpg
https://cdn.ncbi.nlm.nih.gov/pmc/blobs/e6ad/11364587/1a47c748d474/11604_2024_1603_Fig17_HTML.jpg
https://cdn.ncbi.nlm.nih.gov/pmc/blobs/e6ad/11364587/61372211a524/11604_2024_1603_Fig18_HTML.jpg
https://cdn.ncbi.nlm.nih.gov/pmc/blobs/e6ad/11364587/3c8504f4c0ba/11604_2024_1603_Fig19_HTML.jpg

相似文献

1
Childhood interstitial lung diseases: current understanding of the classification and imaging findings.儿童间质性肺疾病:分类和影像学表现的最新认识。
Jpn J Radiol. 2024 Sep;42(9):937-952. doi: 10.1007/s11604-024-01603-6. Epub 2024 Jul 16.
2
Childhood Interstitial Lung Disease: Imaging Guidelines and Recommendations.儿童间质性肺疾病:影像学指南与建议。
Radiol Clin North Am. 2022 Jan;60(1):83-111. doi: 10.1016/j.rcl.2021.08.009.
3
Interstitial Lung Diseases in Children, Adolescents, and Young Adults: Different from Infants and Older Adults.儿童、青少年和青年的间质性肺疾病:不同于婴儿和老年人。
Radiol Clin North Am. 2020 May;58(3):487-502. doi: 10.1016/j.rcl.2020.01.001.
4
Childhood diffuse parenchymal lung diseases: We need a new classification.儿童弥漫性实质性肺疾病:我们需要一种新的分类方法。
Clin Respir J. 2020 Feb;14(2):102-108. doi: 10.1111/crj.13106. Epub 2019 Dec 8.
5
Innovations in Childhood Interstitial and Diffuse Lung Disease.儿童间质性和弥漫性肺病的创新。
Clin Chest Med. 2024 Sep;45(3):695-715. doi: 10.1016/j.ccm.2024.04.002.
6
Diffuse lung disease in infancy and childhood: expanding the chILD classification.婴儿和儿童期弥漫性肺部疾病:扩大 chILD 分类。
Histopathology. 2013 Dec;63(6):743-55. doi: 10.1111/his.12185. Epub 2013 Oct 9.
7
Contemporary perspectives on pediatric diffuse lung disease.小儿弥漫性肺疾病的当代观点
Radiol Clin North Am. 2011 Sep;49(5):847-68. doi: 10.1016/j.rcl.2011.06.004.
8
Childhood interstitial lung disease more prevalent in infancy: a practical review.儿童间质性肺疾病在婴儿期更为普遍:实用综述。
Pediatr Radiol. 2022 Nov;52(12):2267-2277. doi: 10.1007/s00247-022-05375-x. Epub 2022 May 2.
9
Chronic interstitial lung diseases in children.儿童慢性间质性肺疾病。
J Bras Pneumol. 2009 Aug;35(8):792-803. doi: 10.1590/s1806-37132009000800012.
10
Computed tomography of diffuse interstitial lung disease in children.儿童弥漫性间质性肺疾病的计算机断层扫描
Clin Radiol. 2000 Sep;55(9):659-67. doi: 10.1053/crad.2000.0490.

本文引用的文献

1
Diminished 100 Expression in a Newborn With Acinar Dysplasia and a Novel Variant: A Case Report.新生儿腺泡发育不良伴 100 表达减少及新型变异:病例报告。
Pediatr Dev Pathol. 2024 May-Jun;27(3):255-259. doi: 10.1177/10935266231213464. Epub 2023 Dec 3.
2
Subpleural pulmonary cysts in children: Associations beyond Trisomy 21.儿童胸膜下肺囊肿:21三体综合征以外的关联因素
Pediatr Pulmonol. 2023 Dec;58(12):3498-3506. doi: 10.1002/ppul.26680. Epub 2023 Sep 29.
3
Congenital Pulmonary Airway Malformations With a Reconsideration and Current Perspective on the Stocker Classification.
先天性肺气道畸形的再思考及对斯多克分类的最新观点。
Pediatr Dev Pathol. 2023 May-Jun;26(3):241-249. doi: 10.1177/10935266221146823. Epub 2023 Feb 21.
4
Clinical radiological and pathological staging of children with hypersensitivity pneumonitis.儿童过敏性肺炎的临床放射学和病理学分期。
Pediatr Pulmonol. 2022 Oct;57(10):2344-2355. doi: 10.1002/ppul.26038. Epub 2022 Jun 25.
5
Cystic fibrosis in the 21st century: what every radiologist should know.二十一世纪的囊性纤维化:放射科医生须知。
Clin Imaging. 2022 Apr;84:118-129. doi: 10.1016/j.clinimag.2022.02.004. Epub 2022 Feb 12.
6
Childhood Interstitial Lung Disease: Imaging Guidelines and Recommendations.儿童间质性肺疾病:影像学指南与建议。
Radiol Clin North Am. 2022 Jan;60(1):83-111. doi: 10.1016/j.rcl.2021.08.009.
7
Hereditary Hemorrhagic Telangiectasia: The Convergence of Genotype, Phenotype, and Imaging in Modern Diagnosis and Management of a Multisystem Disease.遗传性出血性毛细血管扩张症:基因表型与影像学在多系统疾病现代诊断与治疗中的交汇。
Radiology. 2021 Jul;300(1):17-30. doi: 10.1148/radiol.2021203487. Epub 2021 May 11.
8
Surfactant protein disorders in childhood interstitial lung disease.儿童间质性肺疾病中的表面活性蛋白病。
Eur J Pediatr. 2021 Sep;180(9):2711-2721. doi: 10.1007/s00431-021-04066-3. Epub 2021 Apr 11.
9
Langerhans cell histiocytosis with BRAF p.N486_P490del or MAP2K1 p.K57_G61del treated by the MEK inhibitor trametinib.朗格汉斯细胞组织细胞增生症伴 BRAF p.N486_P490del 或 MAP2K1 p.K57_G61del,用 MEK 抑制剂曲美替尼治疗。
Pediatr Blood Cancer. 2020 Dec;67(12):e28712. doi: 10.1002/pbc.28712. Epub 2020 Sep 29.
10
Childhood Langerhans cell histiocytosis with severe lung involvement: a nationwide cohort study.儿童朗格汉斯细胞组织细胞增生症伴严重肺部受累:一项全国性队列研究。
Orphanet J Rare Dis. 2020 Sep 9;15(1):241. doi: 10.1186/s13023-020-01495-5.