• 文献检索
  • 文档翻译
  • 深度研究
  • 学术资讯
  • Suppr Zotero 插件Zotero 插件
  • 邀请有礼
  • 套餐&价格
  • 历史记录
应用&插件
Suppr Zotero 插件Zotero 插件浏览器插件Mac 客户端Windows 客户端微信小程序
定价
高级版会员购买积分包购买API积分包
服务
文献检索文档翻译深度研究API 文档MCP 服务
关于我们
关于 Suppr公司介绍联系我们用户协议隐私条款
关注我们

Suppr 超能文献

核心技术专利:CN118964589B侵权必究
粤ICP备2023148730 号-1Suppr @ 2026

文献检索

告别复杂PubMed语法,用中文像聊天一样搜索,搜遍4000万医学文献。AI智能推荐,让科研检索更轻松。

立即免费搜索

文件翻译

保留排版,准确专业,支持PDF/Word/PPT等文件格式,支持 12+语言互译。

免费翻译文档

深度研究

AI帮你快速写综述,25分钟生成高质量综述,智能提取关键信息,辅助科研写作。

立即免费体验

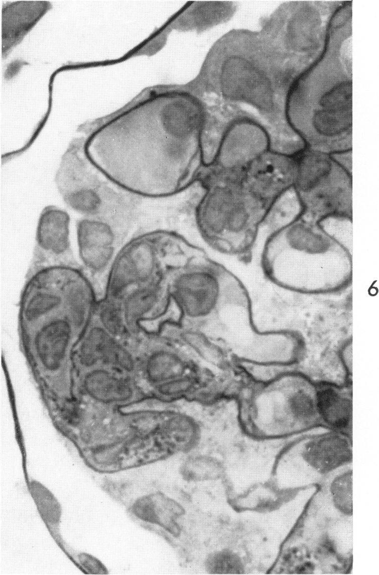
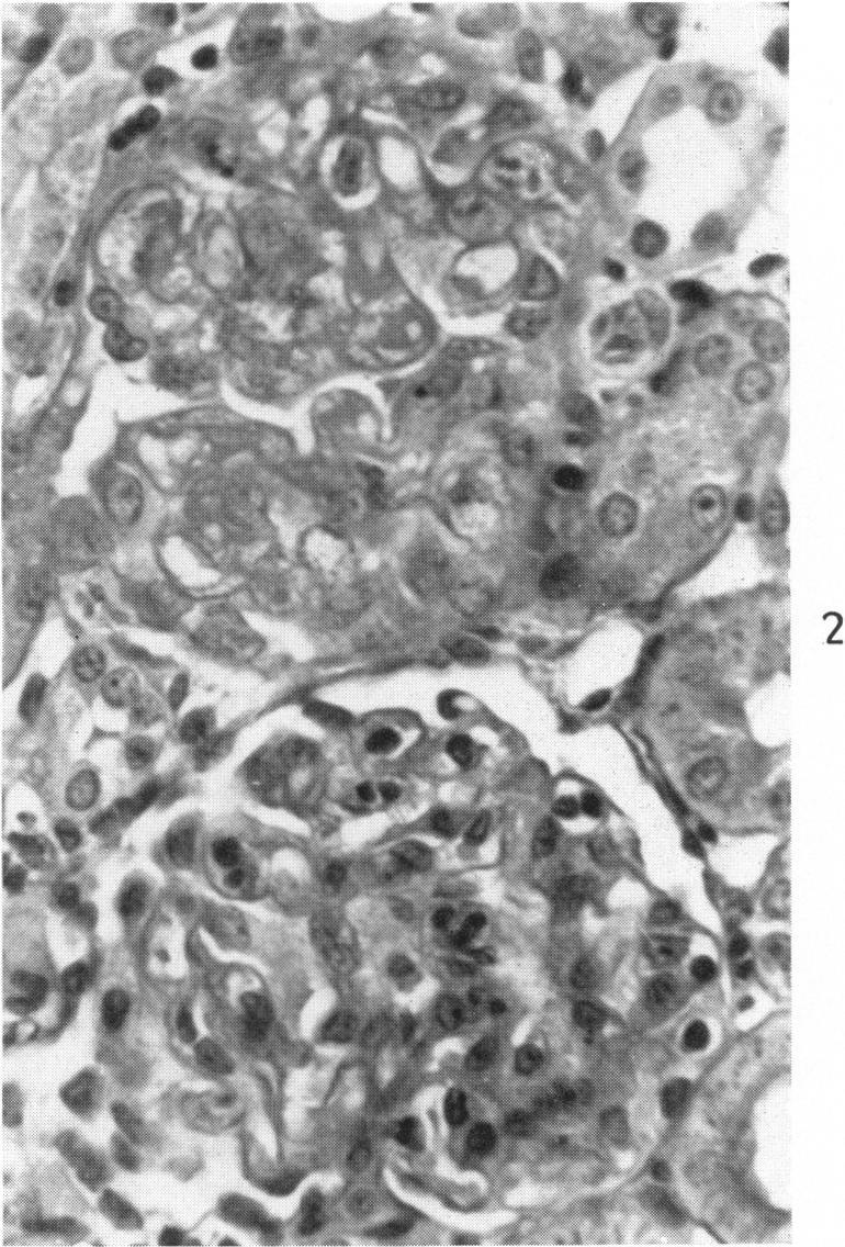
Nephrotoxic serum nephritis in the rat. Electron and light microscopic studies.

作者信息

CHURG J, GRISHMAN E, MAUTNER W

出版信息

Am J Pathol. 1960 Dec;37(6):729-49.

PMID:13693531
原文链接:https://pmc.ncbi.nlm.nih.gov/articles/PMC1942280/
Abstract
摘要
https://cdn.ncbi.nlm.nih.gov/pmc/blobs/08b3/1942280/f21707be3258/amjpathol00349-0120-a.jpg
https://cdn.ncbi.nlm.nih.gov/pmc/blobs/08b3/1942280/9d737a5452ca/amjpathol00349-0112-a.jpg
https://cdn.ncbi.nlm.nih.gov/pmc/blobs/08b3/1942280/f8080a1cf227/amjpathol00349-0112-b.jpg
https://cdn.ncbi.nlm.nih.gov/pmc/blobs/08b3/1942280/f6276766552c/amjpathol00349-0112-c.jpg
https://cdn.ncbi.nlm.nih.gov/pmc/blobs/08b3/1942280/94adcdcce6d2/amjpathol00349-0112-d.jpg
https://cdn.ncbi.nlm.nih.gov/pmc/blobs/08b3/1942280/5c9d12fe74b6/amjpathol00349-0114-a.jpg
https://cdn.ncbi.nlm.nih.gov/pmc/blobs/08b3/1942280/24564d06a54d/amjpathol00349-0114-b.jpg
https://cdn.ncbi.nlm.nih.gov/pmc/blobs/08b3/1942280/da4c1fef2c4f/amjpathol00349-0114-c.jpg
https://cdn.ncbi.nlm.nih.gov/pmc/blobs/08b3/1942280/cbe75710f8aa/amjpathol00349-0114-d.jpg
https://cdn.ncbi.nlm.nih.gov/pmc/blobs/08b3/1942280/bce6217d7350/amjpathol00349-0116-a.jpg
https://cdn.ncbi.nlm.nih.gov/pmc/blobs/08b3/1942280/ca44ce29d53d/amjpathol00349-0116-b.jpg
https://cdn.ncbi.nlm.nih.gov/pmc/blobs/08b3/1942280/42391e02b5c4/amjpathol00349-0117-a.jpg
https://cdn.ncbi.nlm.nih.gov/pmc/blobs/08b3/1942280/f28af676f64c/amjpathol00349-0117-b.jpg
https://cdn.ncbi.nlm.nih.gov/pmc/blobs/08b3/1942280/5513552c0285/amjpathol00349-0118-a.jpg
https://cdn.ncbi.nlm.nih.gov/pmc/blobs/08b3/1942280/25f7f4278753/amjpathol00349-0118-b.jpg
https://cdn.ncbi.nlm.nih.gov/pmc/blobs/08b3/1942280/3464918b0991/amjpathol00349-0119-a.jpg
https://cdn.ncbi.nlm.nih.gov/pmc/blobs/08b3/1942280/f21707be3258/amjpathol00349-0120-a.jpg
https://cdn.ncbi.nlm.nih.gov/pmc/blobs/08b3/1942280/9d737a5452ca/amjpathol00349-0112-a.jpg
https://cdn.ncbi.nlm.nih.gov/pmc/blobs/08b3/1942280/f8080a1cf227/amjpathol00349-0112-b.jpg
https://cdn.ncbi.nlm.nih.gov/pmc/blobs/08b3/1942280/f6276766552c/amjpathol00349-0112-c.jpg
https://cdn.ncbi.nlm.nih.gov/pmc/blobs/08b3/1942280/94adcdcce6d2/amjpathol00349-0112-d.jpg
https://cdn.ncbi.nlm.nih.gov/pmc/blobs/08b3/1942280/5c9d12fe74b6/amjpathol00349-0114-a.jpg
https://cdn.ncbi.nlm.nih.gov/pmc/blobs/08b3/1942280/24564d06a54d/amjpathol00349-0114-b.jpg
https://cdn.ncbi.nlm.nih.gov/pmc/blobs/08b3/1942280/da4c1fef2c4f/amjpathol00349-0114-c.jpg
https://cdn.ncbi.nlm.nih.gov/pmc/blobs/08b3/1942280/cbe75710f8aa/amjpathol00349-0114-d.jpg
https://cdn.ncbi.nlm.nih.gov/pmc/blobs/08b3/1942280/bce6217d7350/amjpathol00349-0116-a.jpg
https://cdn.ncbi.nlm.nih.gov/pmc/blobs/08b3/1942280/ca44ce29d53d/amjpathol00349-0116-b.jpg
https://cdn.ncbi.nlm.nih.gov/pmc/blobs/08b3/1942280/42391e02b5c4/amjpathol00349-0117-a.jpg
https://cdn.ncbi.nlm.nih.gov/pmc/blobs/08b3/1942280/f28af676f64c/amjpathol00349-0117-b.jpg
https://cdn.ncbi.nlm.nih.gov/pmc/blobs/08b3/1942280/5513552c0285/amjpathol00349-0118-a.jpg
https://cdn.ncbi.nlm.nih.gov/pmc/blobs/08b3/1942280/25f7f4278753/amjpathol00349-0118-b.jpg
https://cdn.ncbi.nlm.nih.gov/pmc/blobs/08b3/1942280/3464918b0991/amjpathol00349-0119-a.jpg
https://cdn.ncbi.nlm.nih.gov/pmc/blobs/08b3/1942280/f21707be3258/amjpathol00349-0120-a.jpg

相似文献

1
Nephrotoxic serum nephritis in the rat. Electron and light microscopic studies.大鼠肾毒性血清肾炎。电子显微镜和光学显微镜研究。
Am J Pathol. 1960 Dec;37(6):729-49.
2
Vasodilator-stimulated phosphoprotein-deficient mice demonstrate increased platelet activation but improved renal endothelial preservation and regeneration in passive nephrotoxic nephritis.血管舒张剂刺激磷蛋白缺陷小鼠在被动性肾毒性肾炎中表现出血小板活化增加,但肾内皮细胞保存和再生得到改善。
J Am Soc Nephrol. 2005 Apr;16(4):986-96. doi: 10.1681/ASN.2004070591. Epub 2005 Mar 2.
3
Further studies on nephritis in rats treated with specific nephrotoxic serum.用特异性肾毒性血清治疗的大鼠肾炎的进一步研究。
Bull Inst Med Res Univ Madr. 1953 Oct-Dec;6(4):155-68.
4
Adjuvant-induced macrophage-dominant nephrotoxic serum nephritis in rats.佐剂诱导的大鼠巨噬细胞为主型肾毒性血清性肾炎
Clin Exp Nephrol. 2005 Mar;9(1):15-23. doi: 10.1007/s10157-004-0336-5.
5
Electron microscopic localization of nephrotoxic serum in rabbit glomeruli with ferritin-conjugated antibody.用铁蛋白结合抗体对兔肾小球中肾毒性血清进行电子显微镜定位
Lab Invest. 1963 Jan;12:33-7.
6
Chemokine receptor CXCR3 mediates T cell recruitment and tissue injury in nephrotoxic nephritis in mice.趋化因子受体CXCR3介导小鼠肾毒性肾炎中的T细胞募集和组织损伤。
J Am Soc Nephrol. 2007 Jul;18(7):2071-84. doi: 10.1681/ASN.2006111237. Epub 2007 May 30.
7
Light and electron microscopic analysis of KChIP and Kv4 localization in rat cerebellar granule cells.大鼠小脑颗粒细胞中KChIP和Kv4定位的光镜和电镜分析
J Comp Neurol. 2005 Apr 4;484(2):144-55. doi: 10.1002/cne.20443.
8
Correlated light and electron microscopic imaging of multiple endogenous proteins using Quantum dots.使用量子点对多种内源性蛋白质进行相关光镜和电镜成像
Nat Methods. 2005 Oct;2(10):743-9. doi: 10.1038/nmeth791.
9
[Bone tissue in osteogenesis imperfecta: light and electron microscopic studies].[成骨不全症中的骨组织:光镜和电镜研究]
Arkh Patol. 2006 May-Jun;68(3):20-5.
10
Beneficial effect of neutrophil elastase inhibitor on anti-Thy1.1 nephritis in rats.中性粒细胞弹性蛋白酶抑制剂对大鼠抗Thy1.1肾炎的有益作用。
Nephrology (Carlton). 2008 Feb;13(1):27-32. doi: 10.1111/j.1440-1797.2007.00843.x.

引用本文的文献

1
The Mesangium of the Renal Glomerulus: Electron Microscopic Studies of Pathologic Alterations.肾小肾小球系膜:病理改变的电子显微镜研究
Am J Pathol. 1963 Oct;43(4):555-78.
2
The cellular and extracellular morphology of the glomerular stalk.肾小球柄的细胞及细胞外形态
Am J Pathol. 1962 Oct;41(4):373-88. doi: 10.1016/b978-1-4832-2795-5.50084-8.
3
[Electron microscope studies on the influence of hyaluronidase on the basal membrane of the glomerular capillaries with special reference to the problem of permeability].

本文引用的文献

1
Nephrotic syndrome in rats.大鼠肾病综合征
Pediatrics. 1951 May;7(5):691-706.
2
The fine structure of the glomerulus in membranous glomerulonephritis (lipoid nephrosis) in adults.成人膜性肾小球肾炎(类脂性肾病)中肾小球的精细结构。
Am J Clin Pathol. 1959 Aug;32(2):109-27. doi: 10.1093/ajcp/32.2.109.
3
The structural basis of proteinuria in man; electron microscopic studies of renal biopsy specimens from patients with lipid nephrosis, amyloidosis, and subacute and chronic glomerulonephritis.人类蛋白尿的结构基础;对脂性肾病、淀粉样变性以及亚急性和慢性肾小球肾炎患者肾活检标本的电子显微镜研究。
[关于透明质酸酶对肾小球毛细血管基底膜影响的电子显微镜研究,特别涉及通透性问题]
Klin Wochenschr. 1963 Feb 15;41:163-72. doi: 10.1007/BF01479427.
4
[Electron microscopic studies on capillary hyperemia of the stimulated thyroid gland of the golden hamster].[金黄仓鼠受刺激甲状腺毛细血管充血的电子显微镜研究]
Z Anat Entwicklungsgesch. 1966;125(3):211-26.
5
Vascular lesions in anti-kidney serum nephritis of the rat.大鼠抗肾血清性肾炎中的血管病变
Am J Pathol. 1965 Dec;47(6):953-63.
6
The pathogenesis of glomerulonephritis: review of three types of experimental nephritis.肾小球肾炎的发病机制:三种实验性肾炎的综述
Can Med Assoc J. 1967 Sep 30;97(14):852-5.
7
Induction of experimental glomerulonephritis in the rat by homologous major urinary protein.用同源性主要尿蛋白诱导大鼠实验性肾小球肾炎
Clin Exp Immunol. 1967 Nov;2(6):633-44.
Am J Pathol. 1959 Jan-Feb;35(1):47-73.
4
Subacute glomerulonephritis.亚急性肾小球肾炎
Am J Pathol. 1959 Jan-Feb;35(1):25-45.
5
Silver impregnation for electron microscopy.用于电子显微镜检查的银浸染法。
J Biophys Biochem Cytol. 1958 Nov 25;4(6):841-2. doi: 10.1083/jcb.4.6.841.
6
Electron microscopy of the mammalian renal glomerulus; the problems of intercapillary tissue and the capillary loop basement membrane.哺乳动物肾小球的电子显微镜检查;毛细血管间组织和毛细血管袢基底膜的问题。
Am J Pathol. 1958 Sep-Oct;34(5):885-95.
7
Histologic and histochemical studies of the rabbit glomerulonephritis produced by specific antikidney duck serum.用特异性抗兔肾鸭血清诱发的家兔肾小球肾炎的组织学和组织化学研究。
Am J Pathol. 1958 Sep-Oct;34(5):835-61.
8
[Electron microscopic studies on the glomerulus in Masugi's nephritis in rats].[大鼠肾毒血清性肾炎肾小球的电子显微镜研究]
Virchows Arch Pathol Anat Physiol Klin Med. 1957;330(5):483-97. doi: 10.1007/BF00956744.
9
Studies on the generalized Shwartzman reaction. VIII. The appearance, by electron microscopy, of intravascular fibrinoid in the glomerular capillaries during the reaction.全身性施瓦茨曼反应的研究。VIII. 反应过程中肾小球毛细血管内血管内纤维蛋白样物质的电子显微镜观察。
J Exp Med. 1958 Mar 1;107(3):333-40. doi: 10.1084/jem.107.3.333.
10
Application of thin sections to the problems of renal pathology.薄切片在肾脏病理学问题中的应用。
J Mt Sinai Hosp N Y. 1957 Nov-Dec;24(6):736-44.