• 文献检索
  • 文档翻译
  • 深度研究
  • 学术资讯
  • Suppr Zotero 插件Zotero 插件
  • 邀请有礼
  • 套餐&价格
  • 历史记录
应用&插件
Suppr Zotero 插件Zotero 插件浏览器插件Mac 客户端Windows 客户端微信小程序
定价
高级版会员购买积分包购买API积分包
服务
文献检索文档翻译深度研究API 文档MCP 服务
关于我们
关于 Suppr公司介绍联系我们用户协议隐私条款
关注我们

Suppr 超能文献

核心技术专利:CN118964589B侵权必究
粤ICP备2023148730 号-1Suppr @ 2026

文献检索

告别复杂PubMed语法,用中文像聊天一样搜索,搜遍4000万医学文献。AI智能推荐,让科研检索更轻松。

立即免费搜索

文件翻译

保留排版,准确专业,支持PDF/Word/PPT等文件格式,支持 12+语言互译。

免费翻译文档

深度研究

AI帮你快速写综述,25分钟生成高质量综述,智能提取关键信息,辅助科研写作。

立即免费体验

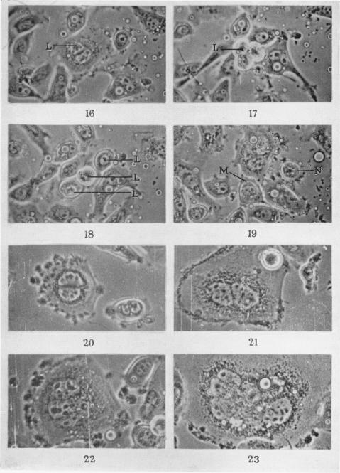
Cell division in an ascites tumour in vitro. With especial reference to abnormalities of cytoplasmic cleavage.

作者信息

ROBERTS D C, TREVAN D J

出版信息

Br J Cancer. 1960 Dec;14(4):716-23. doi: 10.1038/bjc.1960.81.

DOI:10.1038/bjc.1960.81
PMID:13742136
原文链接:https://pmc.ncbi.nlm.nih.gov/articles/PMC2074187/
Abstract
摘要
https://cdn.ncbi.nlm.nih.gov/pmc/blobs/d23b/2074187/69b54e362458/brjcancer00365-0153-a.jpg
https://cdn.ncbi.nlm.nih.gov/pmc/blobs/d23b/2074187/78b3ae850d56/brjcancer00365-0154-a.jpg
https://cdn.ncbi.nlm.nih.gov/pmc/blobs/d23b/2074187/768ad9a161a3/brjcancer00365-0152-a.jpg
https://cdn.ncbi.nlm.nih.gov/pmc/blobs/d23b/2074187/69b54e362458/brjcancer00365-0153-a.jpg
https://cdn.ncbi.nlm.nih.gov/pmc/blobs/d23b/2074187/78b3ae850d56/brjcancer00365-0154-a.jpg
https://cdn.ncbi.nlm.nih.gov/pmc/blobs/d23b/2074187/768ad9a161a3/brjcancer00365-0152-a.jpg
https://cdn.ncbi.nlm.nih.gov/pmc/blobs/d23b/2074187/69b54e362458/brjcancer00365-0153-a.jpg

相似文献

1
Cell division in an ascites tumour in vitro. With especial reference to abnormalities of cytoplasmic cleavage.体外腹水肿瘤中的细胞分裂。特别提及细胞质分裂异常。
Br J Cancer. 1960 Dec;14(4):716-23. doi: 10.1038/bjc.1960.81.
2
Sheet formation by cells of an ascites tumour in vitro.体外腹水肿瘤细胞形成薄片。
Br J Cancer. 1960 Dec;14(4):724-9. doi: 10.1038/bjc.1960.82.
3
The cultivation in vitro of mouse ascites tumour cells; the morphology and behaviour of the tumour cells in pure cultures.小鼠腹水肿瘤细胞的体外培养;纯培养中肿瘤细胞的形态与行为。
Br J Cancer. 1957 Jun;11(2):280-6. doi: 10.1038/bjc.1957.36.
4
Rhythm in mitosis and cytoplasmic solid concentration in Landschütz ascites tumour cells.兰施胡茨腹水瘤细胞有丝分裂中的节律与细胞质固体浓度
Br J Cancer. 1965 Sep;19(3):603-12. doi: 10.1038/bjc.1965.76.
5
The cultivation in vitro of mouse ascites tumour cells; the effects of monocytes on the growth of the tumour cells.小鼠腹水肿瘤细胞的体外培养;单核细胞对肿瘤细胞生长的影响。
Br J Cancer. 1958 Mar;12(1):129-36. doi: 10.1038/bjc.1958.17.
6
The cultivation in vitro of mouse ascites tumour cells; the relation between density of cell population, viability and mitosis in pure cultures.小鼠腹水肿瘤细胞的体外培养;纯培养中细胞群体密度、活力与有丝分裂之间的关系。
Br J Cancer. 1957 Jun;11(2):274-9. doi: 10.1038/bjc.1957.35.
7
The cultivation in vitro of mouse ascites tumour cells as pure cultures in glass capillaries.小鼠腹水瘤细胞在玻璃毛细管中作为纯培养物进行体外培养。
Br J Cancer. 1957 Sep;11(3):478-81. doi: 10.1038/bjc.1957.57.
8
[Pathologic cell division of various strains of Ehrlich-ascites carcinoma induced by radiation in mice under oxygen inhalation].[氧气吸入条件下辐射诱导小鼠艾氏腹水癌各菌株的病理性细胞分裂]
Z Krebsforsch. 1956;61(1):38-44.
9
On the in vitro release of cytoplasmic enzymes from ascites tumor cells as compared with strain L cells.与L株细胞相比,腹水肿瘤细胞胞质酶的体外释放情况
Cancer Res. 1961 Nov;21:1386-93.
10
SOME MECHANISMS OF FORMATION OF POLYPLOID AND HETEROPLOID CELLS IN A MURINE ASCITES TUMOR IN VITRO.小鼠腹水瘤体外多倍体和异倍体细胞形成的一些机制
J Natl Cancer Inst. 1964 May;32:1023-30.

引用本文的文献

1
A pattern of change in tumour-cell populations in vivo.体内肿瘤细胞群体的变化模式。
Br J Cancer. 1963 Mar;17(1):142-8. doi: 10.1038/bjc.1963.21.

本文引用的文献

1
A simple inverted microscope for use with a cine camera.一种与电影摄影机配套使用的简易倒置显微镜。
J R Microsc Soc. 1961 Feb;79:367-8. doi: 10.1111/j.1365-2818.1961.tb05231.x.
2
A versatile microscope chamber for the study of the effects of environmental changes on living cells.一种用于研究环境变化对活细胞影响的多功能显微镜室。
J R Microsc Soc. 1961 Feb;79:361-6. doi: 10.1111/j.1365-2818.1961.tb05230.x.
3
Adaptation of the Vinten 16-mm. scientific Mk. I camera for time lapse cine-photomicrography using an electromechanical timer.
将Vinten 16毫米科学型Mk. I相机改装为使用机电定时器进行延时电影显微摄影。
J R Microsc Soc. 1961 Feb;79:369-75. doi: 10.1111/j.1365-2818.1961.tb05232.x.
4
Immunoselection of polyploids from predominantly diploid cell populations.从主要为二倍体细胞群体中对多倍体进行免疫筛选。
Ann N Y Acad Sci. 1956 Mar 14;63(5):683-705. doi: 10.1111/j.1749-6632.1956.tb50886.x.
5
Methods of conditioning the graft in tumor transplantation.肿瘤移植中移植物预处理的方法。
J Natl Cancer Inst. 1953 Dec;14(3):723-39; discussion, 741-3.
6
Cytological studies of tumors. IX. Characteristic chromosome individuality in tumor strain-cells in ascites tumors of rats.肿瘤的细胞学研究。IX. 大鼠腹水瘤中肿瘤株细胞的特征性染色体个体性
J Natl Cancer Inst. 1953 Apr;13(5):1213-35.