Lane H A, Morley S J, Dorée M, Kozma S C, Thomas G
Friedrich Miescher Institut, Basel, Switzerland.
EMBO J. 1992 May;11(5):1743-9. doi: 10.1002/j.1460-2075.1992.tb05226.x.
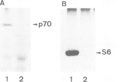
Employing oligonucleotide primers derived from the DNA sequence of rat p70s6k a homologous sequence was shown by polymerase chain reaction (PCR) to be present as a maternal transcript in stage IV-VI Xenopus laevis oocytes. The sequence covered 665 bp of p70s6k and was 97% identical at the amino acid level. When used to probe a Northern blot of the poly(A)+ mRNA from stage VI oocytes, this sequence recognized four transcripts of 1.9, 2.5, 3.2 and 5.2 kb. Specific rat p70s6k antibodies immunoprecipitated active S6 kinase from stage VI oocytes but not unfertilized eggs. The basal level of activity was 3- to 5-fold higher in primed versus non-primed oocytes indicating that p70s6k activation was an early event in maturation. Consistent with this observation, progesterone induced a 10-fold activation of the kinase in non-primed oocytes within 1 h post-induction at a time critical for early activation of protein synthesis. A much smaller, variable peak of activation was observed at 85% germinal vesicle breakdown (GVBD), which was dependent on the rate of maturation. Two members of the pp90rsk family, thought to be the sole S6 kinases present in X.laevis oocytes, exhibited distinct kinetics of activation. Finally, the S6 kinase activity present 1 h post-progesterone stimulation was purified and shown to have a Mr of 70K.