Suppr超能文献

特发性脉络膜玻璃体膜——病例报告

Idiopathic choriovitreal membrane--a case report.

作者信息

Sinclair S H, Salmenson B D

机构信息

Department of Ophthalmology, Hahnemann University Medical School, Philadelphia, PA 19102.

出版信息

Br J Ophthalmol. 1992 Sep;76(9):567-8. doi: 10.1136/bjo.76.9.567.

Abstract

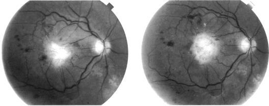
A case of a macular idiopathic choriovitreal membrane is described which developed in a diabetic man. On initial examination the patient was found to have a pigment epithelial detachment with a choroidal neovascular membrane (CNVM) in the right eye. Two months after the first visit the CNVM was seen to have penetrated the retina and presented as a choriovitreal membrane. Panretinal photocoagulation was applied after which the choriovitreal membrane demonstrated fibrotic involution. This case is unusual in that the choriovitreal membrane developed in the absence of a choroidal or retinal pigment epithelial disease process that may be associated with a CNVM as well as in the absence of previous macular laser treatment.

摘要

本文描述了一例发生在糖尿病男性患者身上的黄斑特发性脉络膜玻璃体膜病例。初次检查时发现该患者右眼存在色素上皮脱离并伴有脉络膜新生血管膜(CNVM)。首次就诊两个月后,CNVM穿透视网膜并表现为脉络膜玻璃体膜。随后进行了全视网膜光凝治疗,之后脉络膜玻璃体膜出现纤维化退缩。该病例的不同寻常之处在于,脉络膜玻璃体膜的形成既没有与CNVM相关的脉络膜或视网膜色素上皮疾病过程,也没有既往黄斑激光治疗史。

https://cdn.ncbi.nlm.nih.gov/pmc/blobs/64bb/504351/8c14e7717915/brjopthal00057-0055-a.jpg

相似文献

1
Idiopathic choriovitreal membrane--a case report.
Br J Ophthalmol. 1992 Sep;76(9):567-8. doi: 10.1136/bjo.76.9.567.
3
Treatment of iatrogenic choriovitreal neovascularisation in sickle cell disease.
Br J Ophthalmol. 1991 Dec;75(12):729-30. doi: 10.1136/bjo.75.12.729.
5
Clinical and OCT features in spontaneously progressive idiopathic choriovitreal neovascularization.
Ophthalmic Surg Lasers Imaging. 2007 Mar-Apr;38(2):151-3. doi: 10.3928/15428877-20070301-11.
6
Choriovitreal and subretinal proliferations: complications of photocoagulation.
Ophthalmology. 1979 Feb;86(2):283-9. doi: 10.1016/s0161-6420(79)35525-7.
7
Surgical removal of subfoveal iatrogenic choroidal neovascular membranes.
Ophthalmology. 1998 Sep;105(9):1606-11. doi: 10.1016/S0161-6420(98)99025-X.
10
Scatter photocoagulation for choroidovitreal neovascularization.
Retina. 1984 Summer-Fall;4(3):171-6. doi: 10.1097/00006982-198400430-00008.

引用本文的文献

1
Choriovitreal Neovascularization After Resolution of Infectious Chorioretinitis.
Retina. 2019 Jun;39(6):e21-e22. doi: 10.1097/IAE.0000000000002558.
2
Idiopathic choroidal neovascular membrane in a young female.
Oman J Ophthalmol. 2009 Sep;2(3):133-6. doi: 10.4103/0974-620X.57314.

本文引用的文献

1
Clinicopathologic study of blood-retinal barrier in experimental diabetes mellitus.
Arch Ophthalmol. 1980 Nov;98(11):2032-40. doi: 10.1001/archopht.1980.01020040884020.
2
Scatter photocoagulation for choroidovitreal neovascularization.
Retina. 1984 Summer-Fall;4(3):171-6. doi: 10.1097/00006982-198400430-00008.
5
Choroido-vitreal neovascularization after argon laser photocoagulation.
Arch Ophthalmol. 1975 Jul;93(7):524-30. doi: 10.1001/archopht.1975.01010020540012.

文献AI研究员

20分钟写一篇综述,助力文献阅读效率提升50倍。

立即体验

用中文搜PubMed

大模型驱动的PubMed中文搜索引擎

马上搜索

文档翻译

学术文献翻译模型,支持多种主流文档格式。

立即体验