• 文献检索
  • 文档翻译
  • 深度研究
  • 学术资讯
  • Suppr Zotero 插件Zotero 插件
  • 邀请有礼
  • 套餐&价格
  • 历史记录
应用&插件
Suppr Zotero 插件Zotero 插件浏览器插件Mac 客户端Windows 客户端微信小程序
定价
高级版会员购买积分包购买API积分包
服务
文献检索文档翻译深度研究API 文档MCP 服务
关于我们
关于 Suppr公司介绍联系我们用户协议隐私条款
关注我们

Suppr 超能文献

核心技术专利:CN118964589B侵权必究
粤ICP备2023148730 号-1Suppr @ 2026

文献检索

告别复杂PubMed语法,用中文像聊天一样搜索,搜遍4000万医学文献。AI智能推荐,让科研检索更轻松。

立即免费搜索

文件翻译

保留排版,准确专业,支持PDF/Word/PPT等文件格式,支持 12+语言互译。

免费翻译文档

深度研究

AI帮你快速写综述,25分钟生成高质量综述,智能提取关键信息,辅助科研写作。

立即免费体验

HEXB基因中一种罕见的剪接突变与来自不同种族背景的患者截然不同的表型相关。

An unusual splicing mutation in the HEXB gene is associated with dramatically different phenotypes in patients from different racial backgrounds.

作者信息

McInnes B, Potier M, Wakamatsu N, Melancon S B, Klavins M H, Tsuji S, Mahuran D J

机构信息

Research Institute, Hospital for Sick Children, Montréal, Québec, Canada.

出版信息

J Clin Invest. 1992 Aug;90(2):306-14. doi: 10.1172/JCI115863.

DOI:10.1172/JCI115863
PMID:1386607
原文链接:https://pmc.ncbi.nlm.nih.gov/articles/PMC443103/
Abstract

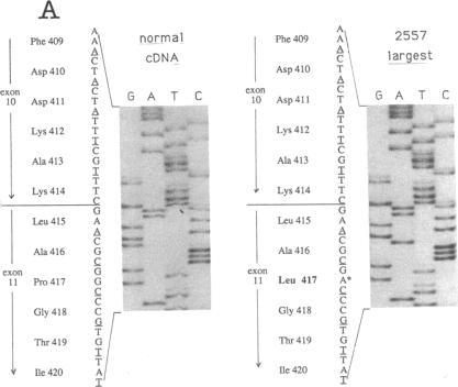
Sandhoff disease is caused by mutations affecting the beta subunit of lysosomal beta-hexosaminidase (EC 3.2.1.52) and displays a wide spectrum of clinical phenotypes. We report a 57-year-old patient with a very mild phenotype, although residual hexosaminidase A activity in his cultured fibroblasts was less than 3% of normal activity, a level observed in juvenile onset patients. Northern and Western blot analyses confirmed a similar low level of beta subunit-mRNA and mature beta-protein, respectively. Two mutations of the HEXB gene were identified in this patient, a partial 5' gene deletion (a null allele), and a C----T transition 8 nucleotides downstream from the intron 10/exon 11 junction affecting the splicing of the beta subunit-mRNA. In their homozygous forms, the 5' deletion has been previously shown to result in a severe infantile phenotype, and the C----T transition in a juvenile phenotype. The genotype and the low level of residual hexosaminidase A activity would be expected to produce a juvenile Sandhoff phenotype in this patient, as well as in four of his six clinically normal siblings. The biochemical basis of his mild phenotype is uncertain, but may result from genetic variations in the RNA splicing machinery.

摘要

桑德霍夫病由影响溶酶体β - 氨基己糖苷酶(EC 3.2.1.52)β亚基的突变引起,表现出广泛的临床表型。我们报告了一名57岁的患者,其表型非常轻微,尽管其培养的成纤维细胞中残余的氨基己糖苷酶A活性低于正常活性的3%,这一水平在青少年发病患者中可见。Northern印迹和Western印迹分析分别证实了β亚基 - mRNA和成熟β蛋白的水平同样较低。在该患者中鉴定出HEXB基因的两个突变,一个是5'基因部分缺失(无效等位基因),另一个是在第10内含子/第11外显子连接处下游8个核苷酸处的C→T转换,影响β亚基 - mRNA的剪接。5'缺失的纯合形式先前已显示会导致严重的婴儿型表型,而C→T转换则导致青少年型表型。预期该患者及其六个临床正常的兄弟姐妹中的四个,其基因型和残余氨基己糖苷酶A活性的低水平会产生青少年型桑德霍夫表型。其轻微表型的生化基础尚不确定,但可能是由于RNA剪接机制中的基因变异所致。

https://cdn.ncbi.nlm.nih.gov/pmc/blobs/0d32/443103/4eb57c833c83/jcinvest00051-0022-c.jpg
https://cdn.ncbi.nlm.nih.gov/pmc/blobs/0d32/443103/2f181efc467f/jcinvest00051-0020-a.jpg
https://cdn.ncbi.nlm.nih.gov/pmc/blobs/0d32/443103/5122e8fca6f7/jcinvest00051-0021-a.jpg
https://cdn.ncbi.nlm.nih.gov/pmc/blobs/0d32/443103/c933cffbe411/jcinvest00051-0021-b.jpg
https://cdn.ncbi.nlm.nih.gov/pmc/blobs/0d32/443103/7cbb5424a030/jcinvest00051-0021-c.jpg
https://cdn.ncbi.nlm.nih.gov/pmc/blobs/0d32/443103/85cd3152e4ca/jcinvest00051-0021-d.jpg
https://cdn.ncbi.nlm.nih.gov/pmc/blobs/0d32/443103/2a463b212d26/jcinvest00051-0021-e.jpg
https://cdn.ncbi.nlm.nih.gov/pmc/blobs/0d32/443103/fb7937f70312/jcinvest00051-0021-f.jpg
https://cdn.ncbi.nlm.nih.gov/pmc/blobs/0d32/443103/37248d2fb7c2/jcinvest00051-0021-g.jpg
https://cdn.ncbi.nlm.nih.gov/pmc/blobs/0d32/443103/f7f470fa5a96/jcinvest00051-0022-a.jpg
https://cdn.ncbi.nlm.nih.gov/pmc/blobs/0d32/443103/0d7a7d3b029d/jcinvest00051-0022-b.jpg
https://cdn.ncbi.nlm.nih.gov/pmc/blobs/0d32/443103/4eb57c833c83/jcinvest00051-0022-c.jpg
https://cdn.ncbi.nlm.nih.gov/pmc/blobs/0d32/443103/2f181efc467f/jcinvest00051-0020-a.jpg
https://cdn.ncbi.nlm.nih.gov/pmc/blobs/0d32/443103/5122e8fca6f7/jcinvest00051-0021-a.jpg
https://cdn.ncbi.nlm.nih.gov/pmc/blobs/0d32/443103/c933cffbe411/jcinvest00051-0021-b.jpg
https://cdn.ncbi.nlm.nih.gov/pmc/blobs/0d32/443103/7cbb5424a030/jcinvest00051-0021-c.jpg
https://cdn.ncbi.nlm.nih.gov/pmc/blobs/0d32/443103/85cd3152e4ca/jcinvest00051-0021-d.jpg
https://cdn.ncbi.nlm.nih.gov/pmc/blobs/0d32/443103/2a463b212d26/jcinvest00051-0021-e.jpg
https://cdn.ncbi.nlm.nih.gov/pmc/blobs/0d32/443103/fb7937f70312/jcinvest00051-0021-f.jpg
https://cdn.ncbi.nlm.nih.gov/pmc/blobs/0d32/443103/37248d2fb7c2/jcinvest00051-0021-g.jpg
https://cdn.ncbi.nlm.nih.gov/pmc/blobs/0d32/443103/f7f470fa5a96/jcinvest00051-0022-a.jpg
https://cdn.ncbi.nlm.nih.gov/pmc/blobs/0d32/443103/0d7a7d3b029d/jcinvest00051-0022-b.jpg
https://cdn.ncbi.nlm.nih.gov/pmc/blobs/0d32/443103/4eb57c833c83/jcinvest00051-0022-c.jpg

相似文献

1
An unusual splicing mutation in the HEXB gene is associated with dramatically different phenotypes in patients from different racial backgrounds.HEXB基因中一种罕见的剪接突变与来自不同种族背景的患者截然不同的表型相关。
J Clin Invest. 1992 Aug;90(2):306-14. doi: 10.1172/JCI115863.
2
Structure and distribution of an Alu-type deletion mutation in Sandhoff disease.桑德霍夫病中一种Alu型缺失突变的结构与分布
J Clin Invest. 1990 Nov;86(5):1524-31. doi: 10.1172/JCI114871.
3
[Lysosome disease--Sandhoff disease].[溶酶体疾病——桑德霍夫病]
Nihon Rinsho. 1993 Sep;51(9):2276-80.
4
A novel 4-bp deletion creates a premature stop codon and dramatically decreases HEXB mRNA levels in a severe case of Sandhoff disease.
Mol Cell Probes. 2001 Apr;15(2):75-9. doi: 10.1006/mcpr.2000.0342.
5
Novel splice site mutation at IVS8 nt 5 of HEXB responsible for a Greek-Cypriot case of Sandhoff disease.HEXB基因第8内含子第5位核苷酸处的新型剪接位点突变导致1例希腊塞浦路斯型桑德霍夫病。
Hum Mutat. 1999;13(1):38-43. doi: 10.1002/(SICI)1098-1004(1999)13:1<38::AID-HUMU4>3.0.CO;2-S.
6
Chronic GM2 gangliosidosis type Sandhoff associated with a novel missense HEXB gene mutation causing a double pathogenic effect.与一种导致双重致病效应的新型错义HEXB基因突变相关的桑德霍夫慢性GM2神经节苷脂沉积症。
Mol Genet Metab. 2007 May;91(1):111-4. doi: 10.1016/j.ymgme.2006.12.004. Epub 2007 Jan 23.
7
Two small deletion mutations of the HEXB gene are present in DNA from a patient with infantile Sandhoff disease.一名患有婴儿型桑德霍夫病的患者的DNA中存在HEXB基因的两个小缺失突变。
Biochim Biophys Acta. 1992 Apr 14;1138(4):315-7. doi: 10.1016/0925-4439(92)90009-c.
8
Nonsense mutation of feline beta-hexosaminidase beta-subunit (HEXB) gene causing Sandhoff disease in a family of Japanese domestic cats.猫β-己糖胺酶β亚基(HEXB)基因的无义突变在一个日本家猫家族中引发了桑德霍夫病。
Res Vet Sci. 2007 Feb;82(1):54-60. doi: 10.1016/j.rvsc.2006.05.007. Epub 2006 Jul 26.
9
A 48-bp insertion between exon 13 and 14 of the HEXB gene causes infantile-onset Sandhoff disease.
Hum Mutat. 1995;6(3):260-2. doi: 10.1002/humu.1380060313.
10
Mice lacking both subunits of lysosomal beta-hexosaminidase display gangliosidosis and mucopolysaccharidosis.缺乏溶酶体β-己糖胺酶两个亚基的小鼠表现出神经节苷脂贮积症和黏多糖贮积症。
Nat Genet. 1996 Nov;14(3):348-52. doi: 10.1038/ng1196-348.

引用本文的文献

1
Challenges in the Definitive Diagnosis of Niemann-Pick Type C-Leaky Variants and Alternative Transcripts.尼曼-匹克 C 型漏变体和替代转录本的明确诊断中的挑战。
Genes (Basel). 2023 Oct 25;14(11):1990. doi: 10.3390/genes14111990.
2
Sphingolipid lysosomal storage diseases: from bench to bedside.鞘脂类溶酶体贮积症:从基础到临床。
Lipids Health Dis. 2021 May 3;20(1):44. doi: 10.1186/s12944-021-01466-0.
3
Pharmaceutical Chaperones and Proteostasis Regulators in the Therapy of Lysosomal Storage Disorders: Current Perspective and Future Promises.

本文引用的文献

1
Beta O-39 thalassemia gene: a premature termination codon causes beta-mRNA deficiency without affecting cytoplasmic beta-mRNA stability.β O-39地中海贫血基因:一个提前终止密码子导致β-信使核糖核酸缺乏,而不影响细胞质β-信使核糖核酸的稳定性。
Blood. 1984 Jul;64(1):23-32.
2
Intranuclear defect in beta-globin mRNA accumulation due to a premature translation termination codon.由于提前出现的翻译终止密码子导致β-珠蛋白mRNA积累的核内缺陷。
Blood. 1984 Jul;64(1):13-22.
3
Partial enzyme deficiencies: residual activities and the development of neurological disorders.
溶酶体贮积症治疗中的药物伴侣分子与蛋白质稳态调节剂:当前观点与未来展望
Front Pharmacol. 2017 Jul 7;8:448. doi: 10.3389/fphar.2017.00448. eCollection 2017.
4
Natural history of motor neuron disease in adult onset GM2-gangliosidosis: A case report with 25 years of follow-up.成人型GM2神经节苷脂贮积症中运动神经元病的自然病史:一例随访25年的病例报告。
Mol Genet Metab Rep. 2014 Jul 2;1:269-272. doi: 10.1016/j.ymgmr.2014.06.002. eCollection 2014.
5
Peripheral neuropathy in a family with Sandhoff disease and SH3TC2 deficiency.患有桑德霍夫病和SH3TC2缺乏症的家族中的周围神经病变。
J Neurol. 2015;262(4):1066-8. doi: 10.1007/s00415-015-7683-x. Epub 2015 Mar 4.
6
Juvenile-onset motor neuron disease caused by novel mutations in β-hexosaminidase.由β-己糖胺酶新突变引起的青少年运动神经元病。
Mol Genet Metab. 2013 Jan;108(1):65-9. doi: 10.1016/j.ymgme.2012.10.023. Epub 2012 Nov 2.
7
Characterization of the mutant β-subunit of β-hexosaminidase for dimer formation responsible for the adult form of Sandhoff disease with the motor neuron disease phenotype.鉴定沙顿氏病伴运动神经元病表型成人型β-己糖胺酶β亚基突变体,该突变体负责二聚体的形成。
J Biochem. 2013 Jan;153(1):111-9. doi: 10.1093/jb/mvs131. Epub 2012 Nov 5.
8
Pathology and current treatment of neurodegenerative sphingolipidoses.神经退行性鞘脂贮积症的病理学和现行治疗方法。
Neuromolecular Med. 2010 Dec;12(4):362-82. doi: 10.1007/s12017-010-8133-7. Epub 2010 Aug 22.
9
Pyrimethamine as a potential pharmacological chaperone for late-onset forms of GM2 gangliosidosis.乙胺嘧啶作为晚发型GM2神经节苷脂沉积症的潜在药理伴侣分子。
J Biol Chem. 2007 Mar 23;282(12):9150-61. doi: 10.1074/jbc.M609304200. Epub 2007 Jan 21.
10
The natural history of juvenile or subacute GM2 gangliosidosis: 21 new cases and literature review of 134 previously reported.青少年或亚急性GM2神经节苷脂沉积症的自然病史:21例新病例及对134例既往报道病例的文献综述
Pediatrics. 2006 Nov;118(5):e1550-62. doi: 10.1542/peds.2006-0588. Epub 2006 Oct 2.
部分酶缺乏症:残余活性与神经障碍的发展
Dev Neurosci. 1983;6(1):58-71. doi: 10.1159/000112332.
4
Synthesis of 4-methylumbelliferyl-beta-D-N-acetylglucosamine-6-sulfate and its use in classification of GM2 gangliosidosis genotypes.4-甲基伞形酮基-β-D-N-乙酰氨基葡萄糖-6-硫酸盐的合成及其在GM2神经节苷脂病基因型分类中的应用。
Clin Chim Acta. 1984 Nov 15;143(2):73-89. doi: 10.1016/0009-8981(84)90215-8.
5
Lysosomal enzyme precursors in human fibroblasts. Activation of cathepsin D precursor in vitro and activity of beta-hexosaminidase A precursor towards ganglioside GM2.人成纤维细胞中的溶酶体酶前体。组织蛋白酶D前体的体外激活以及β-氨基己糖苷酶A前体对神经节苷脂GM2的活性。
Eur J Biochem. 1982 Jul;125(2):317-21. doi: 10.1111/j.1432-1033.1982.tb06685.x.
6
Tay-Sachs disease: generalized absence of a beta-D-N-acetylhexosaminidase component.泰-萨克斯病:普遍缺乏β-D-N-乙酰己糖胺酶成分。
Science. 1969 Aug 15;165(3894):698-700. doi: 10.1126/science.165.3894.698.
7
Cleavage of structural proteins during the assembly of the head of bacteriophage T4.在噬菌体T4头部组装过程中结构蛋白的切割
Nature. 1970 Aug 15;227(5259):680-5. doi: 10.1038/227680a0.
8
Automated assay of hexosaminidases in serum.血清中己糖胺酶的自动化检测
Clin Chem. 1973 Dec;19(12):1345-9.
9
Isolation and expression in Escherichia coli of a cDNA clone encoding human beta-glucuronidase.编码人β-葡萄糖醛酸酶的cDNA克隆在大肠杆菌中的分离与表达。
Gene. 1985;34(1):105-10. doi: 10.1016/0378-1119(85)90300-2.
10
Evidence for two different active sites on human beta-hexosaminidase A. Interaction of GM2 activator protein with beta-hexosaminidase A.人β-己糖胺酶A上两个不同活性位点的证据。GM2激活蛋白与β-己糖胺酶A的相互作用。
J Biol Chem. 1985 Jun 25;260(12):7568-72.