Suppr超能文献

一种通过菌落形态和脂质研究检测到的暗产色分枝杆菌突变体。

A mutant of a scotochromogenic Mycobacterium detected by colony morphology and lipid studies.

作者信息

FREGNAN G B, SMITH D W, RANDALL H M

出版信息

J Bacteriol. 1962 Apr;83(4):828-36. doi: 10.1128/jb.83.4.828-836.1962.

Abstract

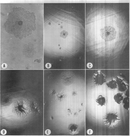
Fregnan, G. B. (University of Wisconsin, Madison), D. W. Smith, and H. M. Randall. A mutant of a scotochromogenic Mycobacterium detected by colony morphology and lipid studies. J. Bacteriol. 83:828-836. 1962.-A variant of a scotochromogenic strain of Mycobacterium is described. This mutant was recognized by studies of colony morphology and lipid content. Mycoside D was shown to be present in the smooth-Sy variety but absent in the rough-Ry variety. The rough-Ry variety appeared spontaneously from smooth-Sy, or by induction after prolonged incubation in a synthetic liquid medium or exposure to ultraviolet irradiation. This mutation is not reversible.

摘要

弗雷根南,G.B.(威斯康星大学麦迪逊分校),D.W.史密斯,以及H.M.兰德尔。通过菌落形态和脂质研究检测到的一种暗产色分枝杆菌突变体。《细菌学杂志》83:828 - 836。1962年。——描述了一种暗产色分枝杆菌菌株的变体。该突变体通过菌落形态和脂质含量研究得以识别。结果表明,霉菌糖苷D存在于光滑-Sy变种中,而在粗糙-Ry变种中不存在。粗糙-Ry变种自发地从光滑-Sy变种产生,或者在合成液体培养基中长时间培养后或经紫外线照射诱导产生。这种突变是不可逆的。

https://cdn.ncbi.nlm.nih.gov/pmc/blobs/129c/279363/c11bd6509852/jbacter00467-0152-a.jpg

文献AI研究员

20分钟写一篇综述,助力文献阅读效率提升50倍。

立即体验

用中文搜PubMed

大模型驱动的PubMed中文搜索引擎

马上搜索

文档翻译

学术文献翻译模型,支持多种主流文档格式。

立即体验