FREGNAN G B, SMITH D W
J Bacteriol. 1962 Apr;83(4):819-27. doi: 10.1128/jb.83.4.819-827.1962.
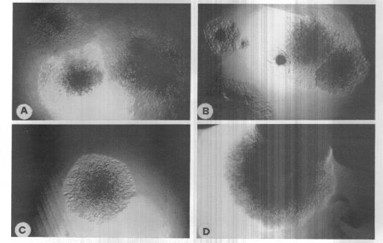
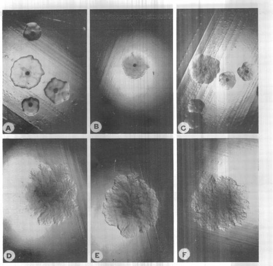
Fregnan, G. B. (University of Wisconsin, Madison) and D. W. Smith. Description of various colony forms of mycobacteria. J. Bacteriol. 83:819-827. 1962.-The colony morphology of various mycobacteria, including mammalian and avian strains, Mycobacterium fortuitum, M. kansasii, and representatives of the unclassified groups, is described. A relationship is seen between some colony forms and species of mycobacteria. The reasons for the adoption of a new terminology, based on the words smooth and rough, are discussed.