• 文献检索
  • 文档翻译
  • 深度研究
  • 学术资讯
  • Suppr Zotero 插件Zotero 插件
  • 邀请有礼
  • 套餐&价格
  • 历史记录
应用&插件
Suppr Zotero 插件Zotero 插件浏览器插件Mac 客户端Windows 客户端微信小程序
定价
高级版会员购买积分包购买API积分包
服务
文献检索文档翻译深度研究API 文档MCP 服务
关于我们
关于 Suppr公司介绍联系我们用户协议隐私条款
关注我们

Suppr 超能文献

核心技术专利:CN118964589B侵权必究
粤ICP备2023148730 号-1Suppr @ 2026

文献检索

告别复杂PubMed语法,用中文像聊天一样搜索,搜遍4000万医学文献。AI智能推荐,让科研检索更轻松。

立即免费搜索

文件翻译

保留排版,准确专业,支持PDF/Word/PPT等文件格式,支持 12+语言互译。

免费翻译文档

深度研究

AI帮你快速写综述,25分钟生成高质量综述,智能提取关键信息,辅助科研写作。

立即免费体验

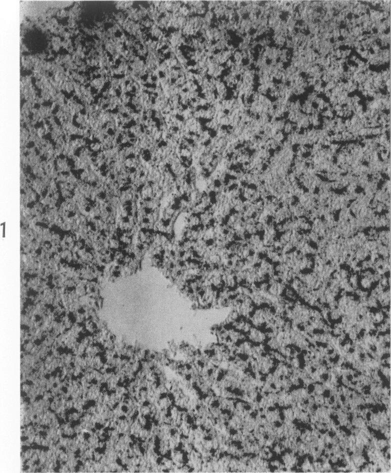
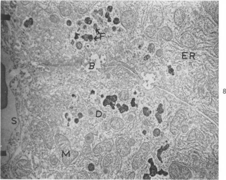
The pathogenesis of experimental dietary siderosis of the liver.

作者信息

THERON J J, HAWTREY A O, LIEBENBERG N, SCHIRREN V

出版信息

Am J Pathol. 1963 Jul;43(1):73-91.

PMID:13980892
原文链接:https://pmc.ncbi.nlm.nih.gov/articles/PMC1949729/
Abstract
摘要
https://cdn.ncbi.nlm.nih.gov/pmc/blobs/4fb2/1949729/5da36b254af6/amjpathol00308-0093-b.jpg
https://cdn.ncbi.nlm.nih.gov/pmc/blobs/4fb2/1949729/b951d484afb8/amjpathol00308-0091-a.jpg
https://cdn.ncbi.nlm.nih.gov/pmc/blobs/4fb2/1949729/66d35b682106/amjpathol00308-0091-b.jpg
https://cdn.ncbi.nlm.nih.gov/pmc/blobs/4fb2/1949729/68bee4f4c68d/amjpathol00308-0091-c.jpg
https://cdn.ncbi.nlm.nih.gov/pmc/blobs/4fb2/1949729/dd02d75a3c1c/amjpathol00308-0091-d.jpg
https://cdn.ncbi.nlm.nih.gov/pmc/blobs/4fb2/1949729/157be215093a/amjpathol00308-0092-a.jpg
https://cdn.ncbi.nlm.nih.gov/pmc/blobs/4fb2/1949729/251e590c0eb1/amjpathol00308-0092-b.jpg
https://cdn.ncbi.nlm.nih.gov/pmc/blobs/4fb2/1949729/6a796a8a29ef/amjpathol00308-0093-a.jpg
https://cdn.ncbi.nlm.nih.gov/pmc/blobs/4fb2/1949729/5da36b254af6/amjpathol00308-0093-b.jpg
https://cdn.ncbi.nlm.nih.gov/pmc/blobs/4fb2/1949729/b951d484afb8/amjpathol00308-0091-a.jpg
https://cdn.ncbi.nlm.nih.gov/pmc/blobs/4fb2/1949729/66d35b682106/amjpathol00308-0091-b.jpg
https://cdn.ncbi.nlm.nih.gov/pmc/blobs/4fb2/1949729/68bee4f4c68d/amjpathol00308-0091-c.jpg
https://cdn.ncbi.nlm.nih.gov/pmc/blobs/4fb2/1949729/dd02d75a3c1c/amjpathol00308-0091-d.jpg
https://cdn.ncbi.nlm.nih.gov/pmc/blobs/4fb2/1949729/157be215093a/amjpathol00308-0092-a.jpg
https://cdn.ncbi.nlm.nih.gov/pmc/blobs/4fb2/1949729/251e590c0eb1/amjpathol00308-0092-b.jpg
https://cdn.ncbi.nlm.nih.gov/pmc/blobs/4fb2/1949729/6a796a8a29ef/amjpathol00308-0093-a.jpg
https://cdn.ncbi.nlm.nih.gov/pmc/blobs/4fb2/1949729/5da36b254af6/amjpathol00308-0093-b.jpg

相似文献

1
The pathogenesis of experimental dietary siderosis of the liver.实验性饮食性肝铁沉着症的发病机制。
Am J Pathol. 1963 Jul;43(1):73-91.
2
Experimental dietary siderosis.实验性饮食性铁沉着症
Am J Pathol. 1959 Mar-Apr;35(2):349-67.
3
PATHOGENESIS OF DIETARY SIDEROSIS IN THE RAT.
Nutr Rev. 1964 Jan;22:20-2. doi: 10.1111/j.1753-4887.1964.tb07737.x.
4
Generalized siderosis with fibrosis of liver and pancreas in Cooley's (Mediterranean) anemia; with observations on the pathogenesis of the siderosis and fibrosis.库利氏(地中海)贫血伴肝脏和胰腺纤维化的全身性铁质沉着症;关于铁质沉着症和纤维化发病机制的观察
Am J Pathol. 1954 Mar-Apr;30(2):287-309.
5
[The beta-glycerophosphatase, tributyrinoesterase and beta-glucuronidase activity of the liver in experimental siderosis].[实验性铁沉着症时肝脏的β-甘油磷酸酶、三丁酸甘油酯酶及β-葡萄糖醛酸酶活性]
Boll Soc Ital Biol Sper. 1954 Aug-Nov;30(8-11):1156-7.
6
[Liver in certain forms of experimental siderosis; histomorphological and histochemical studies].
Rev Int Hepatol. 1956;6(4):389-418.
7
[Histologic quantification of hemochromatotic and non-hemochromatotic liver siderosis. A stidu of 254 liver biopsies].[血色沉着病性和非血色沉着病性肝铁沉积症的组织学定量分析。254例肝活检研究]
Ann Pathol. 1997 Oct;17(5):329-32.
8
[Siderosis in the rat due to increased dietary iron. Histological and ultrastructural study].
Pathol Biol (Paris). 1970 Apr;18(7):407-15.
9
Histological changes in the liver in experimental siderosis.
J Physiol. 1952 Dec;118(4):56P-57P.
10
Liver histology after current intensified therapy for childhood acute lymphoblastic leukemia: microvesicular fatty change and siderosis are the main findings.儿童急性淋巴细胞白血病当前强化治疗后的肝脏组织学:微泡性脂肪变和铁质沉着是主要发现。
Med Pediatr Oncol. 2003 Mar;40(3):148-54. doi: 10.1002/mpo.10231.

引用本文的文献

1
SEQUENCE OF DEPOSITION AND LOSS OF STAINABLE IRON IN THE LIVER DURING ETHIONINE ADMINISTRATION.在给予乙硫氨酸期间肝脏中可染色铁沉积和丢失的顺序
Am J Pathol. 1964 Dec;45(6):905-15.
2
Studies on the pathogenesis of hepatolenticular degeneration. I. Acid phosphatase activity in copper-loaded rat livers.肝豆状核变性发病机制的研究。I. 铜负荷大鼠肝脏中的酸性磷酸酶活性
Am J Pathol. 1967 Oct;51(4):471-81.
3
Chronic alcoholism with fatty metamorphosis of the liver. Mitochondrial alterations in hepatic cells.伴有肝脏脂肪变性的慢性酒精中毒。肝细胞中的线粒体改变。

本文引用的文献

1
An electron microscope study of intranuclear inclusions in mouse liver and hepatoma.小鼠肝脏和肝癌细胞核内包涵体的电子显微镜研究。
J Biophys Biochem Cytol. 1959 Dec;6(3):427-30. doi: 10.1083/jcb.6.3.427.
2
[Myelin degeneration of the mitochondria of the human liver in epithelioma of the choledochus and in viral jaundice. Study with the electron microscope].[胆总管上皮瘤及病毒性黄疸时人肝脏线粒体的髓鞘样变性。电子显微镜研究]
J Ultrastruct Res. 1959 Dec;3:210-5. doi: 10.1016/s0022-5320(59)90015-2.
3
A method for isolating intact mitochondria and nuclei from the same homogenate, and the influence of mitochondrial destruction on the properties of cell nuclei.
Am J Pathol. 1964 Apr;44(4):645-62.
4
Uptake, distribution and binding of beryllium to organelles of the rat liver cell.铍在大鼠肝细胞细胞器中的摄取、分布及结合
Biochem J. 1968 Feb;106(4):811-20. doi: 10.1042/bj1060811.
5
Liver giant mitochondria revisited.肝脏巨型线粒体再探讨。
J Clin Pathol. 1992 May;45(5):412-5. doi: 10.1136/jcp.45.5.412.
6
[The ultrastructure of fibrous and histiocytic skin tumors (dermatofibroma, dermatofibrosarcoma protuberans, fibroxanthoma, and histiocytoma) (author's transl)].[纤维性和组织细胞性皮肤肿瘤(皮肤纤维瘤、隆突性皮肤纤维肉瘤、纤维黄色瘤和组织细胞瘤)的超微结构(作者译)]
Virchows Arch A Pathol Anat Histol. 1975 Oct 30;368(3):253-74. doi: 10.1007/BF00432527.
一种从同一匀浆中分离完整线粒体和细胞核的方法,以及线粒体破坏对细胞核性质的影响。
J Biophys Biochem Cytol. 1955 Mar;1(2):139-53. doi: 10.1083/jcb.1.2.139.
4
Scorbutic pseudoscleroderma: an aspect of Bantu siderosis.
S Afr Med J. 1962 May 12;36:367-72.
5
Siderosis in the bantu. A comparison of incidence in males and females.班图人的铁尘肺。男性与女性发病率的比较。
Br Med J. 1962 Feb 24;1(5277):522-4. doi: 10.1136/bmj.1.5277.522.
6
Human hepatocellular pigments and lysosomes.人类肝细胞色素与溶酶体。
J Ultrastruct Res. 1960 Jun;3:374-91. doi: 10.1016/s0022-5320(60)90016-2.
7
[Various aspects of iron in the organism. I. Ferritin and ferruginous micelles].[机体中铁的各个方面。I. 铁蛋白与含铁微团]
J Biophys Biochem Cytol. 1959 Oct;6(2):231-6.
8
The relationship between siderosis and diabetes in the Bantu.班图人中铁尘肺与糖尿病之间的关系。
S Afr J Med Sci. 1960 Sep;25:89-98.
9
Experimental dietary siderosis.实验性饮食性铁沉着症
Am J Pathol. 1959 Mar-Apr;35(2):349-67.
10
Mitochondria isolated from rat brown adipose tissue and liver.从大鼠棕色脂肪组织和肝脏中分离出的线粒体。
J Biophys Biochem Cytol. 1958 May 25;4(3):287-90. doi: 10.1083/jcb.4.3.287.