• 文献检索
  • 文档翻译
  • 深度研究
  • 学术资讯
  • Suppr Zotero 插件Zotero 插件
  • 邀请有礼
  • 套餐&价格
  • 历史记录
应用&插件
Suppr Zotero 插件Zotero 插件浏览器插件Mac 客户端Windows 客户端微信小程序
定价
高级版会员购买积分包购买API积分包
服务
文献检索文档翻译深度研究API 文档MCP 服务
关于我们
关于 Suppr公司介绍联系我们用户协议隐私条款
关注我们

Suppr 超能文献

核心技术专利:CN118964589B侵权必究
粤ICP备2023148730 号-1Suppr @ 2026

文献检索

告别复杂PubMed语法,用中文像聊天一样搜索,搜遍4000万医学文献。AI智能推荐,让科研检索更轻松。

立即免费搜索

文件翻译

保留排版,准确专业,支持PDF/Word/PPT等文件格式,支持 12+语言互译。

免费翻译文档

深度研究

AI帮你快速写综述,25分钟生成高质量综述,智能提取关键信息,辅助科研写作。

立即免费体验

肝脏疾病与氨中毒。

Liver disease and ammonia intoxication.

作者信息

WARREN K S, SCHENKER S

出版信息

Gut. 1963 Mar;4(1):20-6. doi: 10.1136/gut.4.1.20.

DOI:10.1136/gut.4.1.20
PMID:13998982
原文链接:https://pmc.ncbi.nlm.nih.gov/articles/PMC1413394/
Abstract

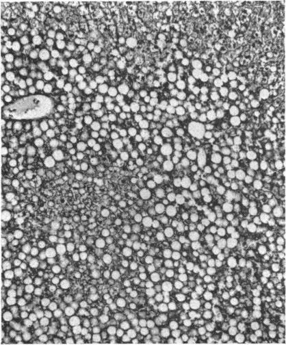
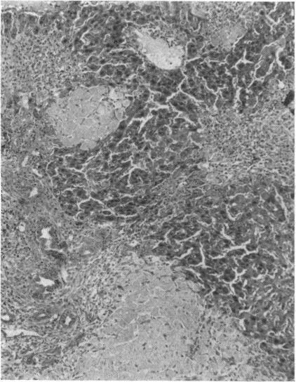
The relation between ammonia intoxication and liver disease is not clear. Ammonia appears to be relatively non-toxic to normal individuals, whereas some patients with liver disease appear to be exquisitely sensitive to dietary protein, ammonia-releasing substances, and ammonium salts. In an attempt to elucidate this relationship the intravenous LD(50) of ammonium chloride was determined in both normal mice and in those with liver disease produced by a variety of means. Parenchymal damage was created by acute and chronic carbon tetrachloride intoxication, a low-protein, lipotrope-deficient diet, and mouse hepatitis virus. Mice in which the portal vein had been partially ligated and those infected with Schistosoma mansoni developed portal-systemic collateral circulation. Groups of these mice were placed on high-protein diets and ammonia drinking water for periods as long as two months. A combination of both parenchymal damage and collateral circulation was induced in mice either by bile duct ligation or by a combination of schistosomiasis and acute carbon tetrachloride intoxication. When the above groups of mice with liver disease were compared with normal control mice in the same weight range, the LD(50) of ammonium chloride showed no striking change.

摘要

氨中毒与肝脏疾病之间的关系尚不清楚。氨对正常个体似乎相对无毒,而一些肝病患者似乎对膳食蛋白质、氨释放物质和铵盐极为敏感。为了阐明这种关系,测定了正常小鼠以及通过多种方式诱发肝病的小鼠静脉注射氯化铵的半数致死量(LD50)。通过急性和慢性四氯化碳中毒、低蛋白、缺乏促脂物质的饮食以及小鼠肝炎病毒造成实质损伤。门静脉部分结扎的小鼠以及感染曼氏血吸虫的小鼠形成了门体侧支循环。将这些小鼠分组,给予高蛋白饮食并饮用含氨的水,持续长达两个月。通过胆管结扎或血吸虫病与急性四氯化碳中毒相结合的方式,在小鼠中诱导实质损伤和侧支循环同时出现。当将上述患有肝病的小鼠组与相同体重范围的正常对照小鼠进行比较时,氯化铵的LD50没有显著变化。

https://cdn.ncbi.nlm.nih.gov/pmc/blobs/15f7/1413394/01ffb497b542/gut00668-0035-a.jpg
https://cdn.ncbi.nlm.nih.gov/pmc/blobs/15f7/1413394/4e3c149d0859/gut00668-0032-a.jpg
https://cdn.ncbi.nlm.nih.gov/pmc/blobs/15f7/1413394/588654bce84a/gut00668-0032-b.jpg
https://cdn.ncbi.nlm.nih.gov/pmc/blobs/15f7/1413394/fbddf6768a3d/gut00668-0032-c.jpg
https://cdn.ncbi.nlm.nih.gov/pmc/blobs/15f7/1413394/d5bba348c208/gut00668-0033-a.jpg
https://cdn.ncbi.nlm.nih.gov/pmc/blobs/15f7/1413394/6b7dcb04aa18/gut00668-0033-b.jpg
https://cdn.ncbi.nlm.nih.gov/pmc/blobs/15f7/1413394/f67144428aa7/gut00668-0033-c.jpg
https://cdn.ncbi.nlm.nih.gov/pmc/blobs/15f7/1413394/82047a0b8030/gut00668-0033-d.jpg
https://cdn.ncbi.nlm.nih.gov/pmc/blobs/15f7/1413394/663e2fdd424b/gut00668-0034-a.jpg
https://cdn.ncbi.nlm.nih.gov/pmc/blobs/15f7/1413394/01ffb497b542/gut00668-0035-a.jpg
https://cdn.ncbi.nlm.nih.gov/pmc/blobs/15f7/1413394/4e3c149d0859/gut00668-0032-a.jpg
https://cdn.ncbi.nlm.nih.gov/pmc/blobs/15f7/1413394/588654bce84a/gut00668-0032-b.jpg
https://cdn.ncbi.nlm.nih.gov/pmc/blobs/15f7/1413394/fbddf6768a3d/gut00668-0032-c.jpg
https://cdn.ncbi.nlm.nih.gov/pmc/blobs/15f7/1413394/d5bba348c208/gut00668-0033-a.jpg
https://cdn.ncbi.nlm.nih.gov/pmc/blobs/15f7/1413394/6b7dcb04aa18/gut00668-0033-b.jpg
https://cdn.ncbi.nlm.nih.gov/pmc/blobs/15f7/1413394/f67144428aa7/gut00668-0033-c.jpg
https://cdn.ncbi.nlm.nih.gov/pmc/blobs/15f7/1413394/82047a0b8030/gut00668-0033-d.jpg
https://cdn.ncbi.nlm.nih.gov/pmc/blobs/15f7/1413394/663e2fdd424b/gut00668-0034-a.jpg
https://cdn.ncbi.nlm.nih.gov/pmc/blobs/15f7/1413394/01ffb497b542/gut00668-0035-a.jpg

相似文献

1
Liver disease and ammonia intoxication.肝脏疾病与氨中毒。
Gut. 1963 Mar;4(1):20-6. doi: 10.1136/gut.4.1.20.
2
Rectal ammonia tolerance test in the evaluation of portal circulation in dogs with liver disease.
Res Vet Sci. 1982 Jul;33(1):22-5.
3
AST-120 (spherical carbon adsorbent) lowers ammonia levels and attenuates brain edema in bile duct-ligated rats.AST-120(球形碳吸附剂)可降低胆管结扎大鼠的血氨水平并减轻脑水肿。
Hepatology. 2011 Jun;53(6):1995-2002. doi: 10.1002/hep.24273.
4
[STUDY OF AMMONIA METABOLISM AND LIVER CIRCULATION IN THE DOG. II. ROLE OF THE PORTAL VEIN AND HEPATIC ARTERY. EFFECTS OF AMMONIUM SALTS ON HEPATIC BLOOD FLOW. EFFECTS OF LIVER AUTOPERFUSION].
Laval Med. 1963 Oct;34:980-1000.
5
Indocyanine green clearance and ammonia tolerance in partially hepatectomized and hepatic devascularized, anesthetized dogs.部分肝切除及肝去血管化麻醉犬的吲哚菁绿清除率和氨耐受性
Am J Vet Res. 1983 Dec;44(12):2320-3.
6
Ammonia intoxication in a patient with congestive heart failure receiving ammonium chloride orally.一名充血性心力衰竭患者口服氯化铵后发生氨中毒。
N Engl J Med. 1956 Nov 8;255(19):905-7. doi: 10.1056/NEJM195611082551907.
7
BLOOD AMMONIA DURING BLEEDING FROM ESOPHAGEAL VARICES IN PATIENTS WITH HEPATOSPLENIC SCHISTOSOMIASIS.
N Engl J Med. 1964 Oct 29;271:921-6. doi: 10.1056/NEJM196410292711802.
8
Final report on the safety assessment of Glycyrrhetinic Acid, Potassium Glycyrrhetinate, Disodium Succinoyl Glycyrrhetinate, Glyceryl Glycyrrhetinate, Glycyrrhetinyl Stearate, Stearyl Glycyrrhetinate, Glycyrrhizic Acid, Ammonium Glycyrrhizate, Dipotassium Glycyrrhizate, Disodium Glycyrrhizate, Trisodium Glycyrrhizate, Methyl Glycyrrhizate, and Potassium Glycyrrhizinate.关于甘草次酸、甘草次酸钾、琥珀酰甘草次酸二钠、甘草次酸甘油酯、甘草次酸硬脂酰酯、硬脂酰甘草次酸酯、甘草酸、甘草酸铵、甘草酸钾、甘草酸钠、甘草酸三钠、甘草酸甲酯和甘草酸锌安全性评估的最终报告。
Int J Toxicol. 2007;26 Suppl 2:79-112. doi: 10.1080/10915810701351228.
9
Intestinal glutamine and ammonia metabolism during chronic hyperammonaemia induced by liver insufficiency.肝功能不全诱导的慢性高氨血症期间的肠道谷氨酰胺和氨代谢
Gut. 1993 Aug;34(8):1112-9. doi: 10.1136/gut.34.8.1112.
10
Chronic thalidomide administration enhances vascular responsiveness to vasopressin in portal-systemic collaterals of bile duct-ligated rats.长期给予沙利度胺可增强胆管结扎大鼠门体侧支循环中血管对血管加压素的反应性。
J Chin Med Assoc. 2009 May;72(5):234-42. doi: 10.1016/S1726-4901(09)70063-2.

本文引用的文献

1
The portal circulation in experimental cirrhosis of the liver.实验性肝硬化中的门静脉循环。
J Pathol Bacteriol. 1952 Jan;64(1):53-60. doi: 10.1002/path.1700640107.
2
Biochemical studies in hepatic coma.
Lect Sci Basis Med. 1958;8:407-28.
3
[The significance of blood ammonia for the pathogenesis of hepatic coma].[血氨在肝昏迷发病机制中的意义]
Dtsch Med Wochenschr. 1961 Jul 14;86:1351-3. doi: 10.1055/s-0028-1112944.
4
Morphine tolerance in hepatic cirrhosis.肝硬化中的吗啡耐受性。
Gastroenterology. 1961 Mar;40:389-96.
5
Hepato-splenic schistosomiasis in mice.
Am J Trop Med Hyg. 1959 Jul;8(4):440-6. doi: 10.4269/ajtmh.1959.8.440.
6
The differential toxicity of ammonium salts.铵盐的差异毒性。
J Clin Invest. 1958 Apr;37(4):497-501. doi: 10.1172/JCI103630.
7
Peripheral biochemical changes associated with the intravenous administration of ammonium salts in normal subjects.正常受试者静脉注射铵盐相关的外周生化变化。
J Lab Clin Med. 1958 Apr;51(4):592-9.
8
An evaluation of ammonia intoxication in normal dogs and in dogs having a portacaval anastomosis.对正常犬和患有门腔静脉吻合术的犬的氨中毒情况进行评估。
Surg Forum. 1955;5:205-10.
9
Dietary protein in the genesis of hepatic coma.膳食蛋白质与肝昏迷的发生
N Engl J Med. 1954 Oct 21;251(17):685-9. doi: 10.1056/NEJM195410212511702.
10
The plasma ammonia and glutamine content in patients with hepatic coma.肝昏迷患者的血浆氨和谷氨酰胺含量。
J Clin Invest. 1954 Jul;33(7):984-8. doi: 10.1172/JCI102976.