Suppr超能文献

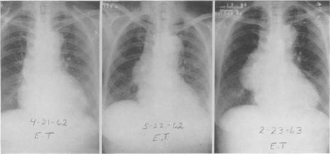
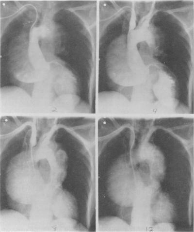
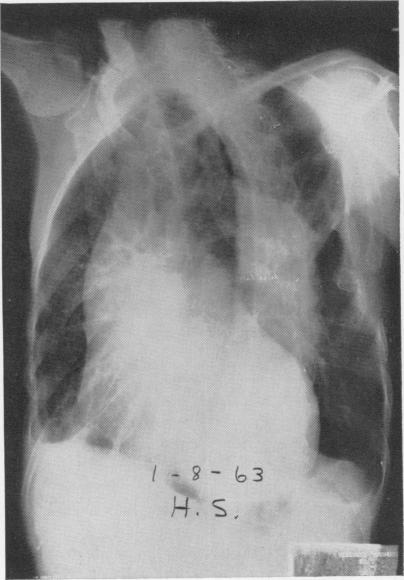
THE SURGICAL TREATMENT OF DISSECTING ANEURYSM OF THE ASCENDING AORTA: WITH A REPORT OF FOUR CASES IN THE CHRONIC STAGE.

作者信息

BOSHER L H, BROOKS J W, POIS A J

出版信息

Ann Surg. 1964 Jun;159(6):829-45. doi: 10.1097/00000658-196406000-00002.

Abstract
摘要
https://cdn.ncbi.nlm.nih.gov/pmc/blobs/b87f/1408711/35f218f1d6f7/annsurg00947-0018-a.jpg

文献检索

告别复杂PubMed语法,用中文像聊天一样搜索,搜遍4000万医学文献。AI智能推荐,让科研检索更轻松。

立即免费搜索

文件翻译

保留排版,准确专业,支持PDF/Word/PPT等文件格式,支持 12+语言互译。

免费翻译文档

深度研究

AI帮你快速写综述,25分钟生成高质量综述,智能提取关键信息,辅助科研写作。

立即免费体验