Suppr超能文献

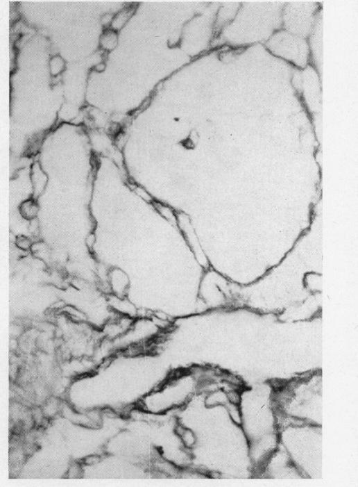
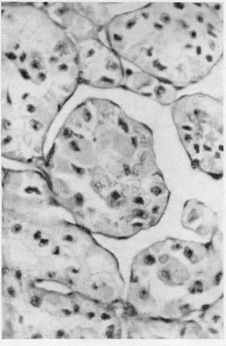
MALIGNANT NON-CHROMAFFIN PARAGANGLIOMA IN THE ORBIT.

作者信息

NIRANKARI M S, GREER C H, CHADDAH M R

出版信息

Br J Ophthalmol. 1963 Jun;47(6):357-63. doi: 10.1136/bjo.47.6.357.

Abstract
摘要
https://cdn.ncbi.nlm.nih.gov/pmc/blobs/4cbe/505816/8b216be5e090/brjopthal00402-0039-a.jpg

文献AI研究员

20分钟写一篇综述,助力文献阅读效率提升50倍。

立即体验

用中文搜PubMed

大模型驱动的PubMed中文搜索引擎

马上搜索

文档翻译

学术文献翻译模型,支持多种主流文档格式。

立即体验