Suppr超能文献

鸡败血支原体的大体形态与超微结构

GROSS MORPHOLOGY AND ULTRASTRUCTURE OF MYCOPLASMA GALLISEPTICUM.

作者信息

DOMERMUTH C H, NIELSEN M, FREUNDT E A, BIRCH-ANDERSEN A

出版信息

J Bacteriol. 1964 Nov;88(5):1428-32. doi: 10.1128/jb.88.5.1428-1432.1964.

Abstract

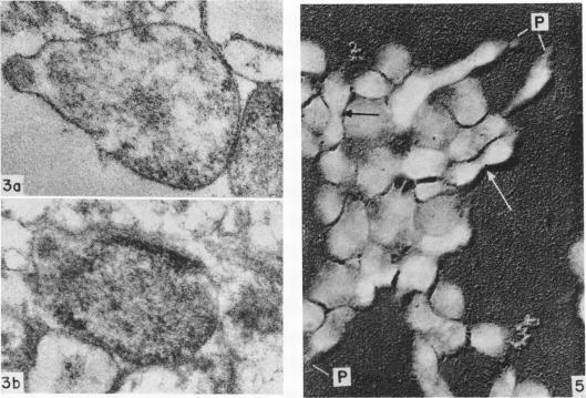
Domermuth, C. H. (Statens Seruminstitut, Copenhagen, Denmark), M. Nielsen, E. A. Freundt, and A. Birch-Andersen. Gross morphology and ultrastructure of Mycoplasma gallisepticum. J. Bacteriol. 88:1428-1432. 1964.-The ultrastructure and gross morphology of Mycoplasma gallisepticum strains JA and W were studied with an electron microscope. Intact specimens were grown on Parlodion membranes, fixed with formaldehyde, and studied in situ. Sectioned specimens were grown on agar and were prepared for study by conventional sectioning techniques. Grossly, single and multiple (as many as four) protrusions were frequently observed extending from the surface of cells of the W strain. Single short protrusions extended from many of the cells of strain JA. In sectioned material, rows of what appeared to be developing elementary bodies (as many as four) were observed in cells of strain W, whereas, single, apparently developing elementary bodies were observed in strain JA. In both strains, these bodies were located within the protruding areas of the cell wall. The inclusion-containing portions of the cell appeared to be the protrusions which extended from the surface of the intact cell.

摘要

多默穆特,C. H.(丹麦哥本哈根国家血清研究所),M. 尼尔森,E. A. 弗伦德特,以及A. 伯奇 - 安德森。鸡毒支原体的大体形态和超微结构。《细菌学杂志》88:1428 - 1432。1964年。——用电镜研究了鸡毒支原体菌株JA和W的超微结构和大体形态。完整标本在火棉胶膜上生长,用甲醛固定,并在原位进行研究。切片标本在琼脂上生长,并通过常规切片技术制备用于研究。大体上,经常观察到W菌株的细胞表面有单个和多个(多达四个)突起。单个短突起从JA菌株的许多细胞伸出。在切片材料中,在W菌株的细胞中观察到成排的(多达四个)看似正在发育的原体,而在JA菌株中观察到单个明显正在发育的原体。在这两种菌株中,这些原体位于细胞壁的突出区域内。细胞中含有内含物的部分似乎是从完整细胞表面伸出的突起。

https://cdn.ncbi.nlm.nih.gov/pmc/blobs/da88/277426/b81d67a0db9f/jbacter00439-0259-a.jpg

相似文献

1
GROSS MORPHOLOGY AND ULTRASTRUCTURE OF MYCOPLASMA GALLISEPTICUM.
J Bacteriol. 1964 Nov;88(5):1428-32. doi: 10.1128/jb.88.5.1428-1432.1964.
2
ULTRASTRUCTURE OF MYCOPLASMA SPECIES.
J Bacteriol. 1964 Sep;88(3):727-44. doi: 10.1128/jb.88.3.727-744.1964.
3
Colonial growth of Mycoplasma gallisepticum observed with the electron microscope.
J Bacteriol. 1962 Jan;83(1):187-92. doi: 10.1128/jb.83.1.187-192.1962.
4
ULTRASTRUCTURE OF A MYCOPLASMA (NEGRONI) ISOLATED FROM HUMAN LEUKEMIA.
J Bacteriol. 1965 Aug;90(2):517-23. doi: 10.1128/jb.90.2.517-523.1965.
5
Culture and metabolism of Mycoplasma gallisepticum.
J Bacteriol. 1962 Feb;83(2):213-8. doi: 10.1128/jb.83.2.213-218.1962.
6
LIPID COMPOSITION AND SYNTHESIS IN THE PLEUROPNEUMONIA-LIKE ORGANISM MYCOPLASMA GALLISEPTICUM.
J Bacteriol. 1963 Sep;86(3):370-9. doi: 10.1128/jb.86.3.370-379.1963.
7
Identification of Strain-Specific Sequences That Distinguish a Mycoplasma gallisepticum Vaccine Strain from Field Isolates.
J Clin Microbiol. 2016 Dec 28;55(1):244-252. doi: 10.1128/JCM.00833-16. Print 2017 Jan.

引用本文的文献

2
3
Growth phases of Mycoplasma in liquid media observed with phase-contrast microscope.
J Bacteriol. 1966 Feb;91(2):858-69. doi: 10.1128/jb.91.2.858-869.1966.

本文引用的文献

1
2
Synchronized division of avian pleuropneumonialike organisms.
J Bacteriol. 1962 May;83(5):948-55. doi: 10.1128/jb.83.5.948-955.1962.
3
On the nature of P.P.L.O. II. Electron microscopy.
Antonie Van Leeuwenhoek. 1960;26:9-22. doi: 10.1007/BF02538988.
4
ULTRASTRUCTURE OF MYCOPLASMA SPECIES.
J Bacteriol. 1964 Sep;88(3):727-44. doi: 10.1128/jb.88.3.727-744.1964.
5
Colonial growth of Mycoplasma gallisepticum observed with the electron microscope.
J Bacteriol. 1962 Jan;83(1):187-92. doi: 10.1128/jb.83.1.187-192.1962.
6
Some characteristics of pathogenic avian PPLO.
Antonie Van Leeuwenhoek. 1961;27:129-38. doi: 10.1007/BF02538433.
7
Electron microscope studies of pleuropneumonia like organisms isolated from man and chickens.
J Bacteriol. 1954 Dec;68(6):697-717. doi: 10.1128/jb.68.6.697-717.1954.

文献AI研究员

20分钟写一篇综述,助力文献阅读效率提升50倍。

立即体验

用中文搜PubMed

大模型驱动的PubMed中文搜索引擎

马上搜索

文档翻译

学术文献翻译模型,支持多种主流文档格式。

立即体验