Suppr超能文献

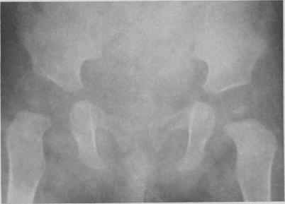
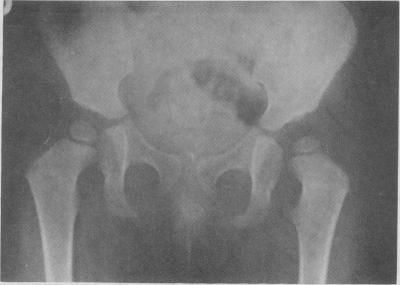
UNTREATED CONGENITAL HIP DISEASE. A STUDY OF THE EPIDEMIOLOGY, NATURAL HISTORY, AND SOCIAL ASPECTS OF THE DISEASE IN A NAVAJO POPULATION.

作者信息

RABIN D L, BARNETT C R, ARNOLD W D, FREIBERGER R H, BROOKS G

出版信息

Am J Public Health Nations Health. 1965 Feb;55(Suppl 2):SUPPL:1-44.

Abstract
摘要
https://cdn.ncbi.nlm.nih.gov/pmc/blobs/9e50/1256104/bc57a265b154/amjphnation00165-0016-a.jpg

文献AI研究员

20分钟写一篇综述,助力文献阅读效率提升50倍。

立即体验

用中文搜PubMed

大模型驱动的PubMed中文搜索引擎

马上搜索

文档翻译

学术文献翻译模型,支持多种主流文档格式。

立即体验