Suppr超能文献

伴有存活转移灶的睾丸精原细胞瘤的消退

RETROGRESSION IN TESTICULAR SEMINOMA WITH VIABLE METASTASES.

作者信息

AZZOPARDI J G, HOFFBRAND A V

出版信息

J Clin Pathol. 1965 Mar;18(2):135-41. doi: 10.1136/jcp.18.2.135.

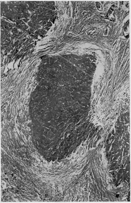
Abstract

Stages in the retrogression of testicular seminoma are described. Eosinophilic necrosis fringed by palisaded histiocytes may be followed by fibrous replacement. Oxidation of unsaturated phospholipids in necrotic tumour may lead to deposition of lipofuscin around the lesion. Search for partially or completely scarred lesions is essential before contemplating a diagnosis of primary retroperitoneal seminoma. Retrogressed seminoma can often be distinguished from retrogressed teratoid tumours. Apparently paradoxical teratoid metastases in association with a testicular seminoma are explained on the basis of misinterpreted retrogressed teratoid tumours in association with the seminoma. Inguinal node metastases from testicular seminoma may be the result of abnormal lymphatic drainage following previous scrotal operations, testicular torsion etc.

摘要

描述了睾丸精原细胞瘤消退的各个阶段。嗜酸性坏死周围有栅栏状组织细胞包绕,随后可能被纤维组织替代。坏死肿瘤中不饱和磷脂的氧化可能导致脂褐素在病变周围沉积。在考虑诊断原发性腹膜后精原细胞瘤之前,寻找部分或完全瘢痕化的病变至关重要。消退的精原细胞瘤通常可与消退的类畸胎瘤相鉴别。与睾丸精原细胞瘤相关的明显矛盾的类畸胎瘤转移,是基于与精原细胞瘤相关的类畸胎瘤被误判为消退而得到解释。睾丸精原细胞瘤的腹股沟淋巴结转移可能是先前阴囊手术、睾丸扭转等导致异常淋巴引流的结果。

https://cdn.ncbi.nlm.nih.gov/pmc/blobs/1e9e/472854/7d1102201f55/jclinpath00355-0002-a.jpg

文献AI研究员

20分钟写一篇综述,助力文献阅读效率提升50倍。

立即体验

用中文搜PubMed

大模型驱动的PubMed中文搜索引擎

马上搜索

文档翻译

学术文献翻译模型,支持多种主流文档格式。

立即体验