Suppr超能文献

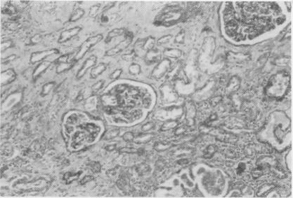
RENAL PAPILLARY NECROSIS AND PHENACETIN: TWO FURTHER CASES.

作者信息

KENNEDY A

出版信息

Postgrad Med J. 1965 Aug;41(478):498-500. doi: 10.1136/pgmj.41.478.498.

Abstract
摘要
https://cdn.ncbi.nlm.nih.gov/pmc/blobs/c10d/2483041/5bd911f6f29a/postmedj00416-0051-a.jpg

文献检索

告别复杂PubMed语法,用中文像聊天一样搜索,搜遍4000万医学文献。AI智能推荐,让科研检索更轻松。

立即免费搜索

文件翻译

保留排版,准确专业,支持PDF/Word/PPT等文件格式,支持 12+语言互译。

免费翻译文档

深度研究

AI帮你快速写综述,25分钟生成高质量综述,智能提取关键信息,辅助科研写作。

立即免费体验