Suppr超能文献

荚膜组织胞浆菌菌株的转化

Conversion in strains of Histoplasma capsulatum.

作者信息

PINE L, WEBSTER R E

出版信息

J Bacteriol. 1962 Jan;83(1):149-57. doi: 10.1128/jb.83.1.149-157.1962.

Abstract

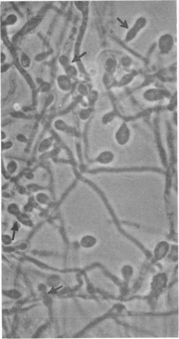
Pine, Leo (Duke University, Durham, N. C.) and Robert E. Webster. Conversion in strains of Histoplasma capsulatum. J. Bacteriol. 83:149-157. 1962-Photographs of mycelial elements taken at various time intervals from a single strain of Histoplasma capsulatum have shown the direct conversion of microconidia to yeast cells by polar and nonpolar budding, the formation of yeast cells by budding of hyphal cells, and the probable conversion of hyphal cells to yeast phase by monilial chain formation. In addition, studies of fixed-slide preparations of a second strain have indicated the formation of stalked yeast cells arising in a manner similar to that observed for microconidia formation but, apparently, by-passing the microconidial stage. These observations are discussed briefly in regard to temperature-induced changes in cell-wall synthesis during conversion.

摘要

派恩,利奥(杜克大学,北卡罗来纳州达勒姆)和罗伯特·E·韦伯斯特。荚膜组织胞浆菌菌株的转化。《细菌学杂志》83:149 - 157。1962年——从单一荚膜组织胞浆菌菌株在不同时间间隔拍摄的菌丝体成分照片显示,小分生孢子通过极性和非极性出芽直接转化为酵母细胞,菌丝细胞出芽形成酵母细胞,以及通过念珠状链形成菌丝细胞可能转化为酵母相。此外,对第二个菌株的固定玻片制剂的研究表明,有柄酵母细胞的形成方式与观察到的小分生孢子形成方式相似,但显然绕过了小分生孢子阶段。关于转化过程中温度诱导的细胞壁合成变化,对这些观察结果进行了简要讨论。

https://cdn.ncbi.nlm.nih.gov/pmc/blobs/bf7d/314801/42e8c5f3b7cb/jbacter00594-0169-a.jpg

相似文献

1
Conversion in strains of Histoplasma capsulatum.
J Bacteriol. 1962 Jan;83(1):149-57. doi: 10.1128/jb.83.1.149-157.1962.
4
Electron microscopy of yeastlike cell development from the microconidium of Histoplasma capsulatum.
J Bacteriol. 1978 Jan;133(1):345-53. doi: 10.1128/jb.133.1.345-353.1978.
6
A medium for inducing conversion of Histoplasma capsulatum var. capsulatum into its yeast-like form.
Mem Inst Oswaldo Cruz. 1992 Jan-Mar;87(1):53-8. doi: 10.1590/s0074-02761992000100010.
7
Antigenic properties of the cell wall and other fractions of the yeast form of Histoplasma capsulatum.
J Bacteriol. 1966 Jun;91(6):2158-68. doi: 10.1128/jb.91.6.2158-2168.1966.
9
Occurrence of serotypes among Histoplasma capsulatum strains.
J Bacteriol. 1966 Apr;91(4):1434-9. doi: 10.1128/jb.91.4.1434-1439.1966.
10
Preparation of a fluorescent antibody specific for the yeast phase of Histoplasma capsulatum.
J Bacteriol. 1961 Nov;82(5):729-35. doi: 10.1128/jb.82.5.729-735.1961.

引用本文的文献

1
Elevated carbon dioxide enhances the growth and reduces the antifungal susceptibility of .
Microbiol Spectr. 2025 Jul;13(7):e0310624. doi: 10.1128/spectrum.03106-24. Epub 2025 May 30.
2
Molecular regulation of Histoplasma dimorphism.
Curr Opin Microbiol. 2019 Dec;52:151-157. doi: 10.1016/j.mib.2019.10.011. Epub 2019 Nov 15.
3
Sensing the heat and the host: Virulence determinants of .
Virulence. 2019 Dec;10(1):793-800. doi: 10.1080/21505594.2019.1663596.
4
Conserved factors Ryp2 and Ryp3 control cell morphology and infectious spore formation in the fungal pathogen Histoplasma capsulatum.
Proc Natl Acad Sci U S A. 2008 Sep 23;105(38):14573-8. doi: 10.1073/pnas.0806221105. Epub 2008 Sep 12.
5
The morphogenesis of the parasitic forms of dimorphic fungi. A review.
Mycopathol Mycol Appl. 1962 Oct 10;18:127-39. doi: 10.1007/BF02055153.
6
History of medical mycology in the united states.
Clin Microbiol Rev. 1996 Apr;9(2):235-72. doi: 10.1128/CMR.9.2.235.
7
Improved technique for the reversion of Histoplasma capsulatum in tissue culture.
Mycopathol Mycol Appl. 1965 Jun 15;26(1):117-22. doi: 10.1007/BF02098597.
8
Dimorphism in Histoplasma capsulatum: a model for the study of cell differentiation in pathogenic fungi.
Microbiol Rev. 1989 Jun;53(2):186-209. doi: 10.1128/mr.53.2.186-209.1989.
9
Electron microscopy of yeastlike cell development from the microconidium of Histoplasma capsulatum.
J Bacteriol. 1978 Jan;133(1):345-53. doi: 10.1128/jb.133.1.345-353.1978.
10
Role of the conidium in dimorphism of Blastomyces dermatitidis.
Mycopathologia. 1978 Sep 1;64(1):29-33. doi: 10.1007/BF00443085.

本文引用的文献

2
Emmonsia crescens sp. n. and adiaspiromycosis (haplomycosis) in mammals.
Ann N Y Acad Sci. 1960 Aug 27;89:91-101. doi: 10.1111/j.1749-6632.1960.tb20133.x.
3
Observations on tissue cultures of mouse peritoneal exudates inoculated with Histoplasma capsulatum.
J Bacteriol. 1959 Jul;78(1):69-78. doi: 10.1128/jb.78.1.69-78.1959.
4
The fine structure of the yeast-like cells of Histoplasma in culture.
J Gen Microbiol. 1959 Jun;20(3):496-503. doi: 10.1099/00221287-20-3-496.
7
The morphology and cytochemistry of H. capsulatum.
J Med Lab Technol. 1957 Jul;14(3):142-63.
8
The diagnosis of fungus diseases by biopsy.
J Chronic Dis. 1957 May;5(5):552-70. doi: 10.1016/0021-9681(57)90098-x.

文献AI研究员

20分钟写一篇综述,助力文献阅读效率提升50倍。

立即体验

用中文搜PubMed

大模型驱动的PubMed中文搜索引擎

马上搜索

文档翻译

学术文献翻译模型,支持多种主流文档格式。

立即体验