Suppr超能文献

大蒜对阿霉素诱导的急性心脏毒性的保护作用:内源性抗氧化剂的作用及对肿瘤坏死因子-α表达的抑制

Protection against acute adriamycin-induced cardiotoxicity by garlic: role of endogenous antioxidants and inhibition of TNF-alpha expression.

作者信息

Mukherjee Sumanta, Banerjee Sanjay Kumar, Maulik Mohua, Dinda Amit Kumar, Talwar Kewal K, Maulik Subir Kumar

机构信息

Department of Pharmacology, All India Institute of Medical sciences, New Delhi-110029 India.

出版信息

BMC Pharmacol. 2003 Dec 20;3:16. doi: 10.1186/1471-2210-3-16.

Abstract

BACKGROUND

Oxidative stress is the major etiopathological factor in adriamycin-induced cardiotoxicity. Relatively low amounts of endogenous antioxidant makes the heart vulnerable to oxidative stress-induced damage. Chronic oral administration of garlic has been reported to enhance the endogenous antioxidants of heart. We hypothesized that garlic-induced enhanced cardiac antioxidants may offer protection against acute adriamycin-induced cardiotoxicity.

RESULTS

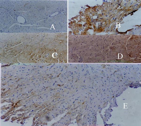
Rats were either administered freshly prepared garlic homogenate (250 and 500 mg/kg daily, orally, for 30 days) or probucol (cumulative dose, 120 mg/kg body weight divided in 12, i.p. over a period of 30 days) or double distilled water (vehicle), followed by a single dose of adriamycin (30 mg/kg i.p.). In the adriamycin group, increased oxidative stress was evidenced by a significant increase in myocardial TBARS (thiobarbituric acid reactive substances) and decrease in myocardial SOD (superoxide dismutase), catalase and GPx (glutathione peroxidase) activity. Histopathological studies showed focal as well as subendocardial myocytolysis with infiltration of macrophages, lymphocytes and edema. Immunocytochemistry showed marked expression of TNF-alpha (tumor necrosis factor-alpha) in the myocardium. Increase in myocardial TBARS and decrease in endogenous antioxidants by adriamycin was prevented significantly in the garlic treated rat hearts, which was comparable to the probucol-treated group. Histopathological evidence of protection was also evident in both garlic-treated and probucol-treated groups. Probucol, 250 mg/kg and 500 mg/kg of garlic reduced adriamycin induced TNF-alpha expression in the myocardium and was associated with reduced myocyte injury.

CONCLUSIONS

It is concluded that chronic garlic administration prevents acute adriamycin-induced cardiotoxicity and decreases myocardial TNF-alpha expression.

摘要

背景

氧化应激是阿霉素诱导的心脏毒性的主要病因病理因素。内源性抗氧化剂相对含量较低使心脏易受氧化应激诱导的损伤。据报道,长期口服大蒜可增强心脏的内源性抗氧化剂。我们推测大蒜诱导的心脏抗氧化剂增强可能为急性阿霉素诱导的心脏毒性提供保护。

结果

大鼠分别给予新鲜制备的大蒜匀浆(每日250和500毫克/千克,口服,共30天)或普罗布考(累积剂量,120毫克/千克体重,分12次腹腔注射,共30天)或双蒸水(溶剂),随后单次腹腔注射阿霉素(30毫克/千克)。在阿霉素组中,心肌丙二醛(硫代巴比妥酸反应性物质)显著增加以及心肌超氧化物歧化酶、过氧化氢酶和谷胱甘肽过氧化物酶活性降低证明氧化应激增加。组织病理学研究显示局灶性以及心内膜下心肌溶解,伴有巨噬细胞、淋巴细胞浸润和水肿。免疫细胞化学显示心肌中肿瘤坏死因子-α显著表达。大蒜处理的大鼠心脏中,阿霉素诱导的心肌丙二醛增加和内源性抗氧化剂减少得到显著预防,这与普罗布考处理组相当。大蒜处理组和普罗布考处理组均有明显的保护组织病理学证据。普罗布考、250毫克/千克和500毫克/千克大蒜可降低阿霉素诱导的心肌肿瘤坏死因子-α表达,并与减少的心肌细胞损伤相关。

结论

得出结论,长期给予大蒜可预防急性阿霉素诱导的心脏毒性并降低心肌肿瘤坏死因子-α表达。

https://cdn.ncbi.nlm.nih.gov/pmc/blobs/69ba/324401/3593874bbc91/1471-2210-3-16-1.jpg

文献AI研究员

20分钟写一篇综述,助力文献阅读效率提升50倍。

立即体验

用中文搜PubMed

大模型驱动的PubMed中文搜索引擎

马上搜索

文档翻译

学术文献翻译模型,支持多种主流文档格式。

立即体验