Pagliarulo Vincenzo, George Ben, Beil Stephen J, Groshen Susan, Laird Peter W, Cai Jie, Willey James, Cote Richard J, Datar Ram H
Department of Pathology, University of Southern California, Keck School of Medicine, 2011 Zonal Ave, HMR 312C, Los Angeles, CA 90033, USA.
Mol Cancer. 2004 Jan 23;3:5. doi: 10.1186/1476-4598-3-5.
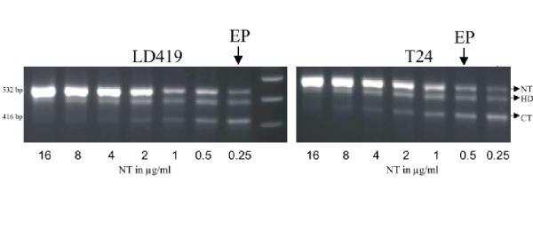
Probe based detection assays form the mainstay of transcript quantification. Problems with these assays include varying hybridization efficiencies of the probes used for transcript quantification and the expense involved. We examined the ability of a standardized competitive RT-PCR (StaRT PCR) assay to quantify transcripts of 4 cell cycle associated genes (RB, E2F1, CDKN2A and PCNA) in two cell lines (T24 & LD419) and compared its efficacy with the established Taqman real time quantitative RT-PCR assay. We also assessed the sensitivity, reproducibility and consistency of StaRT PCR. StaRT PCR assay is based on the incorporation of competitive templates (CT) in precisely standardized quantities along with the native template (NT) in a PCR reaction. This enables transcript quantification by comparing the NT and CT band intensities at the end of the PCR amplification. The CT serves as an ideal internal control. The transcript numbers are expressed as copies per million transcripts of a control gene such as beta-actin (ACTB).
The NT and CT were amplified at remarkably similar rates throughout the StaRT PCR amplification cycles, and the coefficient of variation was least (<3.8%) when the NT/CT ratio was kept as close to 1:1 as possible. The variability between the rates of amplification in different tubes subjected to the same StaRT PCR reaction was very low and within the range of experimental noise. Further, StaRT PCR was sensitive enough to detect variations as low as 10% in endogenous actin transcript quantity (p < 0.01 by the paired student's t-test). StaRT PCR correlated well with Taqman real time RT-PCR assay in terms of transcript quantification efficacy (p < 0.01 for all 4 genes by the Spearman Rank correlation method) and the ability to discriminate between cell types and confluence patterns.
StaRT PCR is thus a reliable and sensitive technique that can be applied to medium-high throughput quantitative transcript measurement. Further, it correlates well with Taqman real time PCR in terms of quantitative and discriminatory ability. This label-free, inexpensive technique may provide the ability to generate prognostically important molecular signatures unique to individual tumors and may enable identification of novel therapeutic targets.
基于探针的检测分析是转录本定量的主要方法。这些分析存在的问题包括用于转录本定量的探针杂交效率不同以及成本较高。我们研究了标准化竞争性逆转录聚合酶链反应(StaRT PCR)分析在两种细胞系(T24和LD419)中对4种细胞周期相关基因(RB、E2F1、CDKN2A和PCNA)转录本进行定量的能力,并将其有效性与已建立的Taqman实时定量逆转录聚合酶链反应分析进行比较。我们还评估了StaRT PCR的灵敏度、重复性和一致性。StaRT PCR分析基于在PCR反应中精确标准化量的竞争性模板(CT)与天然模板(NT)一起掺入。这使得通过比较PCR扩增结束时NT和CT条带强度来进行转录本定量。CT用作理想的内部对照。转录本数量以每百万对照基因(如β-肌动蛋白(ACTB))转录本的拷贝数表示。
在整个StaRT PCR扩增循环中,NT和CT的扩增速率非常相似,当NT/CT比值尽可能保持接近1:1时,变异系数最小(<3.8%)。在相同的StaRT PCR反应中,不同管之间的扩增速率差异非常低,且在实验噪声范围内。此外,StaRT PCR足够灵敏,能够检测到内源性肌动蛋白转录本数量低至10%的变化(配对学生t检验,p < 0.01)。在转录本定量有效性方面(Spearman秩相关法对所有4个基因p < 0.01)以及区分细胞类型和汇合模式的能力方面,StaRT PCR与Taqman实时逆转录聚合酶链反应分析相关性良好。
因此,StaRT PCR是一种可靠且灵敏的技术,可应用于中高通量定量转录本测量。此外,在定量和区分能力方面,它与Taqman实时PCR相关性良好。这种无标记、低成本的技术可能提供生成个体肿瘤特有的具有预后重要性的分子特征的能力,并可能有助于识别新的治疗靶点。