Dountsis Apostolos, Zisis Charalambos, Karagianni Evangelia, Dahabreh Jubrail
Department of Thoracic Surgery, Athens Medical Center, Athens, Greece.
World J Surg Oncol. 2003 Nov 30;1(1):26. doi: 10.1186/1477-7819-1-26.
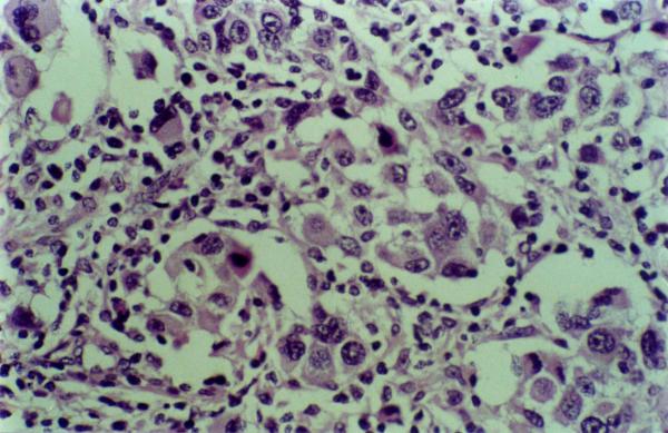
Primary melanoma of the lung is an extremely rare pathological entity and sparsely reported in the literature. CASE PRESENTATION: A case of primary malignant melanoma of the lung in a 41-year-old female is reported. The clinical, radiological and histopathological features are discussed. The initial symptom was cough, whereas the chest radiography showed a round opacity of the right lung. The computed tomography of the chest revealed a well-demarcated mass lesion in the right upper lobe. Endobronchial mass causing obstruction of the upper lobar bronchus was the bronchoscopic finding. Patient underwent pneumonectomy. A diagnosis of melanoma was confirmed postoperatively after the immunohistochemistry. Primary nature of the tumour in the lung results from the demonstration of characteristic junctional pattern of melanoma cells beneath the bronchial epithelium on histopathology, and from exclusion of other potential primary sites in the clinical, paraclinical and laboratory examination. CONCLUSIONS: Primary melanoma of the lung represents a rare pathological entity. Careful interpretation of histopathological information in correlation with all other findings from clinical and paraclinical studies can establish a diagnosis. Follow-up is necessary in order to diagnose potential dissemination or secondary sites of the disease. Due to the small number of cases reported in the literature, there is no experience on the management and the prognosis of the disease, but surgical resection remains the cornerstone of the treatment.
原发性肺黑色素瘤是一种极其罕见的病理实体,文献报道较少。
报告一例41岁女性原发性肺恶性黑色素瘤病例。讨论了其临床、放射学和组织病理学特征。初始症状为咳嗽,胸部X线显示右肺圆形致密影。胸部计算机断层扫描显示右上叶有一个边界清晰的肿块病变。支气管镜检查发现支气管内肿块导致上叶支气管阻塞。患者接受了肺切除术。免疫组化检查后术后确诊为黑色素瘤。肺内肿瘤的原发性是通过组织病理学证明支气管上皮下黑色素瘤细胞的特征性交界模式,并在临床、副临床和实验室检查中排除其他潜在的原发部位而得出的。
原发性肺黑色素瘤是一种罕见的病理实体。仔细解读组织病理学信息并结合临床和副临床研究的所有其他发现可做出诊断。为了诊断疾病的潜在播散或继发部位,随访是必要的。由于文献报道的病例数量较少,对于该疾病的管理和预后尚无经验,但手术切除仍然是治疗的基石。