Suppr超能文献

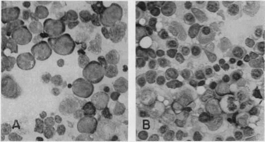
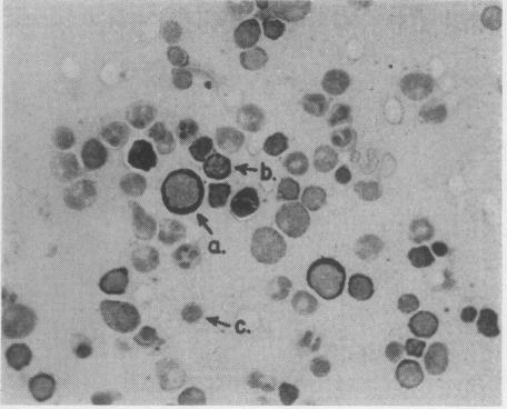
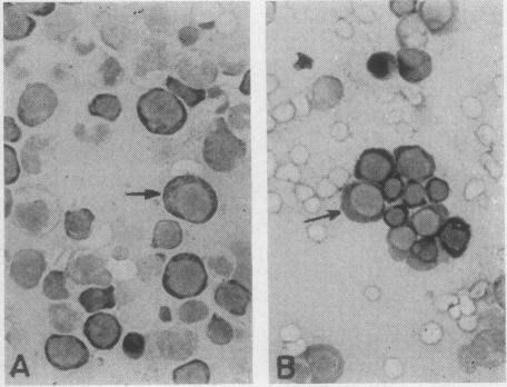
Direct action of vitamin B12 upon human bone marrow; the effect of instillations of vitamin B12 and folic acid into the bone marrow as studied by nucleic acid staining techniques.

作者信息

HORRIGAN D, JARROLD T, VILTER R W

出版信息

J Clin Invest. 1951 Jan;30(1):31-6. doi: 10.1172/JCI102413.

Abstract
摘要
https://cdn.ncbi.nlm.nih.gov/pmc/blobs/72a4/436224/084fa433baa1/jcinvest00414-0046-a.jpg

文献AI研究员

20分钟写一篇综述,助力文献阅读效率提升50倍。

立即体验

用中文搜PubMed

大模型驱动的PubMed中文搜索引擎

马上搜索

文档翻译

学术文献翻译模型,支持多种主流文档格式。

立即体验