Suppr超能文献

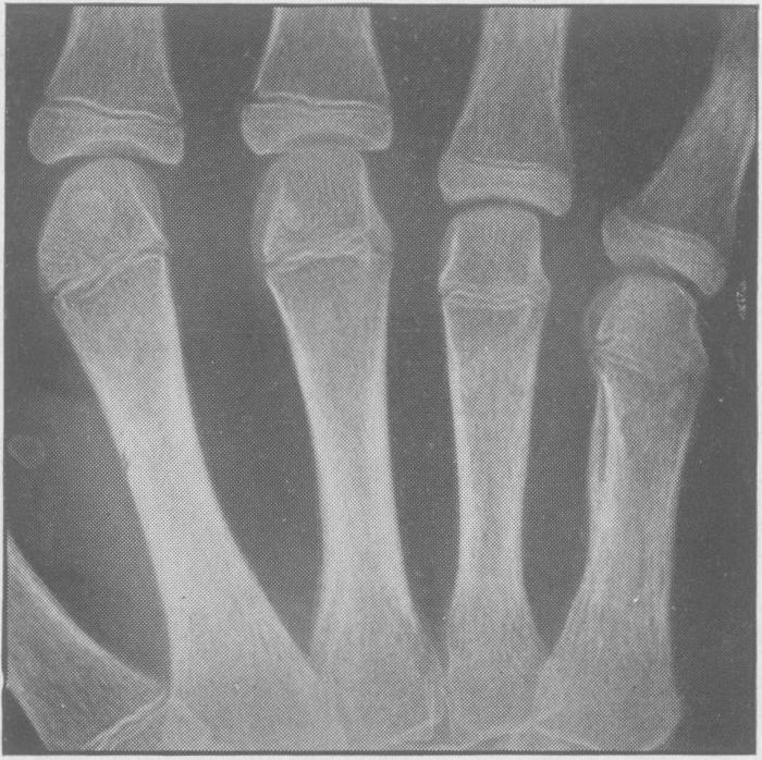
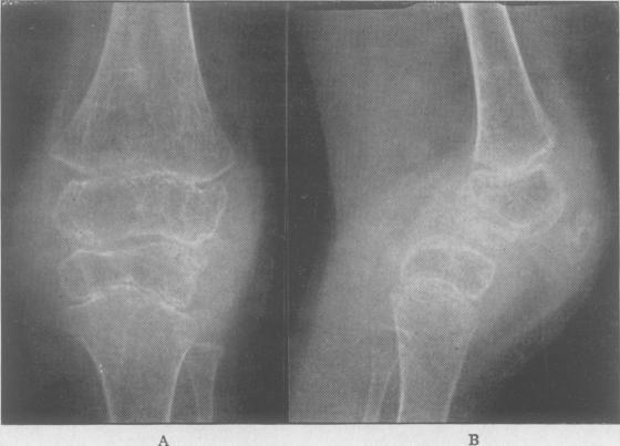
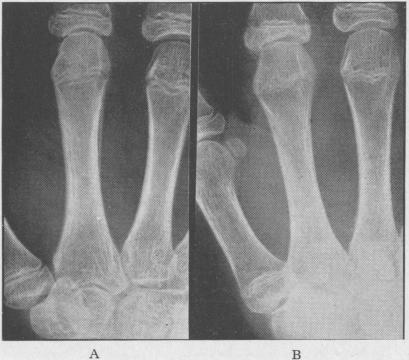
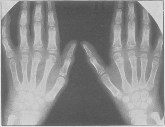
Juvenile rheumatoid arthritis (Still's disease).

作者信息

MIDDLEMISS J H

出版信息

Proc R Soc Med. 1951 Sep;44(9):805-16. doi: 10.1177/003591575104400906.

Abstract
摘要
https://cdn.ncbi.nlm.nih.gov/pmc/blobs/b9cf/2081806/a91ff740647d/procrsmed00580-0039-a.jpg

文献检索

告别复杂PubMed语法,用中文像聊天一样搜索,搜遍4000万医学文献。AI智能推荐,让科研检索更轻松。

立即免费搜索

文件翻译

保留排版,准确专业,支持PDF/Word/PPT等文件格式,支持 12+语言互译。

免费翻译文档

深度研究

AI帮你快速写综述,25分钟生成高质量综述,智能提取关键信息,辅助科研写作。

立即免费体验