Suppr超能文献

1例与上皮样血管内皮瘤相关的肥大性骨关节病。

A case of hypertrophic osteoarthropathy associated with epithelioid hemangioendothelioma.

作者信息

Kim Jin Hyun, Lee Eun Bong, Kim Sunyoung, Kang Hyoun Woo, Suh Jung Won, Yoon Won Jae, Kim Su Hwan, Kang Eun Ha, Im Churl Hyun, Song Yeong Wook, Lee Hyo-Suk

机构信息

Department of Internal Medicine, Seoul National University College of Medicine, Seoul, Korea.

出版信息

J Korean Med Sci. 2004 Jun;19(3):484-6. doi: 10.3346/jkms.2004.19.3.484.

Abstract

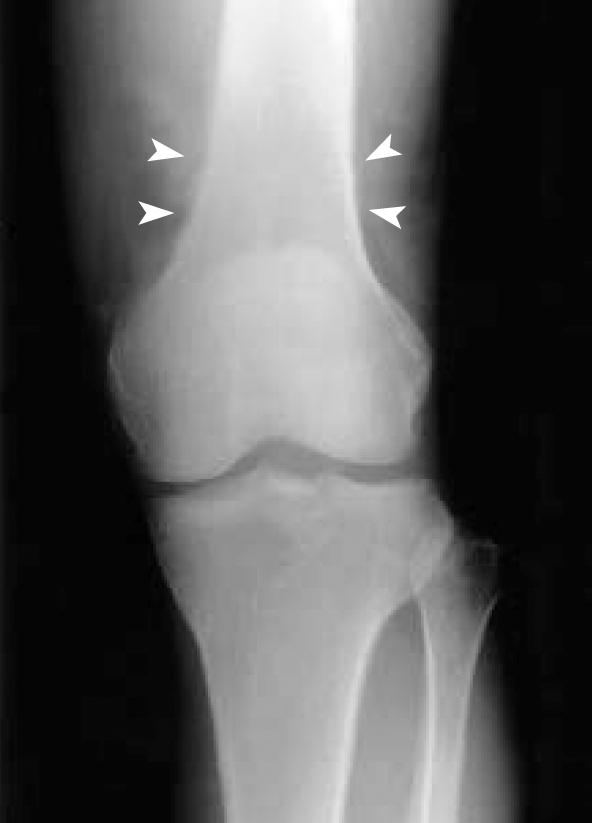
Epithelioid hemangioendothelioma is a rare vascular tumor, which occurs in the lung, liver, bone, and soft tissue. Hypertrophic osteoarthropathy is a syndrome characterized by subperiosteal new bone formation, joint effusion and clubbing, and may be associated with cyanotic heart disease, chronic pulmonary disease, liver disease, and other miscellaneous diseases. The activation of endothelium and platelets has been suggested to be involved in the development of hypertrophic osteoarthropathy. We report a rare case of hypertrophic osteoarthropathy, which developed in association with hepatic epithelioid hemangioendothelioma with pulmonary metastasis. We also discuss the role of vascular endothelial growth factor in its pathogenesis.

摘要

上皮样血管内皮瘤是一种罕见的血管肿瘤,可发生于肺、肝、骨和软组织。肥大性骨关节病是一种以骨膜下新骨形成、关节积液和杵状指为特征的综合征,可能与紫绀型心脏病、慢性肺部疾病、肝脏疾病及其他杂病有关。内皮细胞和血小板的激活被认为与肥大性骨关节病的发生有关。我们报告一例罕见的肥大性骨关节病病例,其与肝上皮样血管内皮瘤伴肺转移相关。我们还讨论了血管内皮生长因子在其发病机制中的作用。

https://cdn.ncbi.nlm.nih.gov/pmc/blobs/07c9/2816858/364a6456ea2c/jkms-19-484-g001.jpg

文献AI研究员

20分钟写一篇综述,助力文献阅读效率提升50倍。

立即体验

用中文搜PubMed

大模型驱动的PubMed中文搜索引擎

马上搜索

文档翻译

学术文献翻译模型,支持多种主流文档格式。

立即体验