Suppr超能文献

胸主动脉夹层的磁共振成像

Magnetic resonance imaging of thoracic aortic dissections.

作者信息

Sax S L

机构信息

The Department of Radiology, The Methodist Hospital and Baylor College of Medicine, Houston, Texas 77030, USA.

出版信息

Tex Heart Inst J. 1990;17(4):262-70.

Abstract

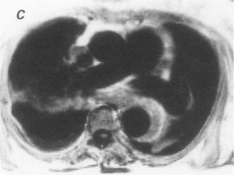
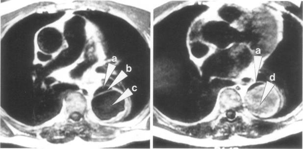
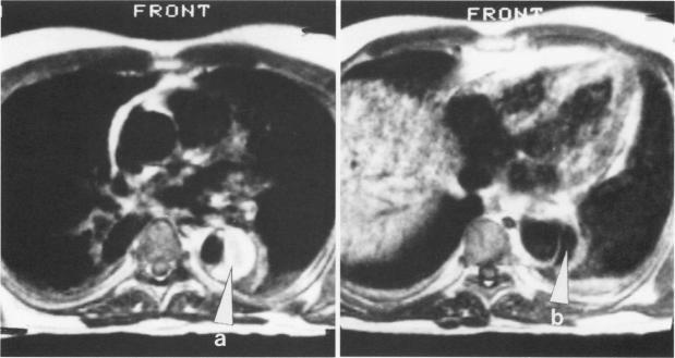
Magnetic resonance imaging is an excellent noninvasive method for evaluating thoracic aortic dissections. A variety of magnetic resonance scans of aortic dissections are shown, documenting the ability of magnetic resonance to image the true lumen, the false channel, and the intimal septum. Detail is provided on magnetic resonance imaging techniques and findings.

摘要

磁共振成像是评估胸主动脉夹层的一种出色的非侵入性方法。展示了各种主动脉夹层的磁共振扫描图像,证明了磁共振对真腔、假腔和内膜隔膜成像的能力。文中提供了磁共振成像技术及结果的详细信息。

https://cdn.ncbi.nlm.nih.gov/pmc/blobs/4121/324935/592498aac397/thij00055-0025-a.jpg

文献AI研究员

20分钟写一篇综述,助力文献阅读效率提升50倍。

立即体验

用中文搜PubMed

大模型驱动的PubMed中文搜索引擎

马上搜索

文档翻译

学术文献翻译模型,支持多种主流文档格式。

立即体验