• 文献检索
  • 文档翻译
  • 深度研究
  • 学术资讯
  • Suppr Zotero 插件Zotero 插件
  • 邀请有礼
  • 套餐&价格
  • 历史记录
应用&插件
Suppr Zotero 插件Zotero 插件浏览器插件Mac 客户端Windows 客户端微信小程序
定价
高级版会员购买积分包购买API积分包
服务
文献检索文档翻译深度研究API 文档MCP 服务
关于我们
关于 Suppr公司介绍联系我们用户协议隐私条款
关注我们

Suppr 超能文献

核心技术专利:CN118964589B侵权必究
粤ICP备2023148730 号-1Suppr @ 2026

文献检索

告别复杂PubMed语法,用中文像聊天一样搜索,搜遍4000万医学文献。AI智能推荐,让科研检索更轻松。

立即免费搜索

文件翻译

保留排版,准确专业,支持PDF/Word/PPT等文件格式,支持 12+语言互译。

免费翻译文档

深度研究

AI帮你快速写综述,25分钟生成高质量综述,智能提取关键信息,辅助科研写作。

立即免费体验

对表皮生长因子受体(EGFR)和细胞外信号调节激酶1/2(ERK1/2)磷酸化的双重阻断增强了对乳腺癌细胞生长的抑制作用。

Dual blockade of EGFR and ERK1/2 phosphorylation potentiates growth inhibition of breast cancer cells.

作者信息

Lev D C, Kim L S, Melnikova V, Ruiz M, Ananthaswamy H N, Price J E

机构信息

Department of Cancer Biology, University of Texas MD Anderson Cancer Center, Houston, TX 77030, USA.

出版信息

Br J Cancer. 2004 Aug 16;91(4):795-802. doi: 10.1038/sj.bjc.6602051.

DOI:10.1038/sj.bjc.6602051
PMID:15280923
原文链接:https://pmc.ncbi.nlm.nih.gov/articles/PMC2364773/
Abstract

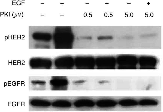
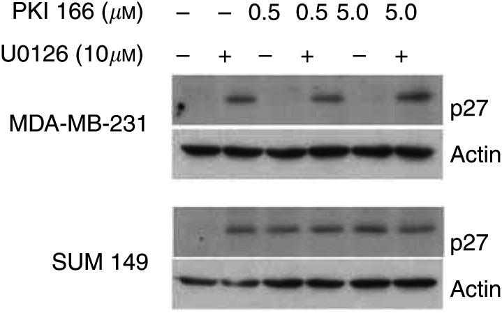
One of the major targets for breast cancer therapy is the epidermal growth factor receptor (EGFR) and related receptors, which signal via different signal transduction pathways including the mitogen-activated protein kinase (MAPK) pathway. This study determined whether there is a correlation between EGFR/HER2 status and MAPK (ERK1/2) phosphorylation in breast cancer cells, and how this affects the response to an inhibitor of the receptors. Expression of EGFR, HER2 and phosphorylated ERK1/2 were measured by immunoblotting in a panel of breast cancer cell lines. Several lines expressed high levels of pERK1/2, with no obvious correlation with the level of EGFR/HER2. The EGFR tyrosine kinase inhibitor PKI166 inhibited growth and induced apoptosis in some cells with high levels of growth factor receptors (MDA-MB-468, SUM149, SKBR3), but was less effective in cells that also had high basal ERK1/2 activity (MDA-MB-231). The combination of an inhibitor of MAPK signalling (U0126) and PKI166 produced significantly more inhibition and apoptosis than either agent alone. This suggests that constitutive activation of the MAPK pathway may bypass inhibition of EGFR/HER2 tyrosine kinases, and lead to insensitivity to agents targeting the receptors. However, inhibiting both EGFR/HER2 and MAPK signalling can result in significant growth inhibition and apoptosis of EGFR-expressing breast cancer cells.

摘要

乳腺癌治疗的主要靶点之一是表皮生长因子受体(EGFR)及相关受体,它们通过包括丝裂原活化蛋白激酶(MAPK)途径在内的不同信号转导途径进行信号传导。本研究确定了乳腺癌细胞中EGFR/HER2状态与MAPK(ERK1/2)磷酸化之间是否存在相关性,以及这如何影响对受体抑制剂的反应。通过免疫印迹法在一组乳腺癌细胞系中检测EGFR、HER2和磷酸化ERK1/2的表达。几条细胞系表达高水平的pERK1/2,与EGFR/HER2水平无明显相关性。EGFR酪氨酸激酶抑制剂PKI166在一些具有高水平生长因子受体的细胞(MDA-MB-468、SUM149、SKBR3)中抑制生长并诱导凋亡,但在也具有高基础ERK1/2活性的细胞(MDA-MB-231)中效果较差。MAPK信号传导抑制剂(U0126)和PKI166联合使用比单独使用任何一种药物产生的抑制和凋亡作用都显著更强。这表明MAPK途径的组成性激活可能绕过对EGFR/HER2酪氨酸激酶的抑制,并导致对靶向这些受体的药物不敏感。然而,抑制EGFR/HER2和MAPK信号传导均可导致表达EGFR的乳腺癌细胞显著生长抑制和凋亡。

https://cdn.ncbi.nlm.nih.gov/pmc/blobs/bb37/2364773/b382496fdbb9/91-6602051f5.jpg
https://cdn.ncbi.nlm.nih.gov/pmc/blobs/bb37/2364773/079aca27a1f9/91-6602051f1.jpg
https://cdn.ncbi.nlm.nih.gov/pmc/blobs/bb37/2364773/0f921378adfd/91-6602051f2.jpg
https://cdn.ncbi.nlm.nih.gov/pmc/blobs/bb37/2364773/c320ddd8a9bf/91-6602051f3.jpg
https://cdn.ncbi.nlm.nih.gov/pmc/blobs/bb37/2364773/bb7d74dad276/91-6602051f4.jpg
https://cdn.ncbi.nlm.nih.gov/pmc/blobs/bb37/2364773/b382496fdbb9/91-6602051f5.jpg
https://cdn.ncbi.nlm.nih.gov/pmc/blobs/bb37/2364773/079aca27a1f9/91-6602051f1.jpg
https://cdn.ncbi.nlm.nih.gov/pmc/blobs/bb37/2364773/0f921378adfd/91-6602051f2.jpg
https://cdn.ncbi.nlm.nih.gov/pmc/blobs/bb37/2364773/c320ddd8a9bf/91-6602051f3.jpg
https://cdn.ncbi.nlm.nih.gov/pmc/blobs/bb37/2364773/bb7d74dad276/91-6602051f4.jpg
https://cdn.ncbi.nlm.nih.gov/pmc/blobs/bb37/2364773/b382496fdbb9/91-6602051f5.jpg

相似文献

1
Dual blockade of EGFR and ERK1/2 phosphorylation potentiates growth inhibition of breast cancer cells.对表皮生长因子受体(EGFR)和细胞外信号调节激酶1/2(ERK1/2)磷酸化的双重阻断增强了对乳腺癌细胞生长的抑制作用。
Br J Cancer. 2004 Aug 16;91(4):795-802. doi: 10.1038/sj.bjc.6602051.
2
Grape seed extract inhibits EGF-induced and constitutively active mitogenic signaling but activates JNK in human prostate carcinoma DU145 cells: possible role in antiproliferation and apoptosis.葡萄籽提取物抑制表皮生长因子(EGF)诱导的和组成型激活的促有丝分裂信号传导,但激活人前列腺癌DU145细胞中的JNK:在抗增殖和凋亡中的可能作用。
Oncogene. 2003 Mar 6;22(9):1302-16. doi: 10.1038/sj.onc.1206265.
3
Epigallocatechin-3-gallate inhibits epidermal growth factor receptor signaling pathway. Evidence for direct inhibition of ERK1/2 and AKT kinases.表没食子儿茶素-3-没食子酸酯抑制表皮生长因子受体信号通路。直接抑制ERK1/2和AKT激酶的证据。
J Biol Chem. 2004 Mar 26;279(13):12755-62. doi: 10.1074/jbc.M312333200. Epub 2003 Dec 29.
4
Osteopontin induces AP-1-mediated secretion of urokinase-type plasminogen activator through c-Src-dependent epidermal growth factor receptor transactivation in breast cancer cells.骨桥蛋白通过c-Src依赖的表皮生长因子受体反式激活,诱导乳腺癌细胞中AP-1介导的尿激酶型纤溶酶原激活物分泌。
J Biol Chem. 2004 Mar 19;279(12):11051-64. doi: 10.1074/jbc.M310256200. Epub 2004 Jan 2.
5
Relevance of mitogen activated protein kinase (MAPK) and phosphotidylinositol-3-kinase/protein kinase B (PI3K/PKB) pathways to induction of apoptosis by curcumin in breast cells.丝裂原活化蛋白激酶(MAPK)和磷脂酰肌醇-3-激酶/蛋白激酶B(PI3K/PKB)信号通路与姜黄素诱导乳腺细胞凋亡的相关性。
Biochem Pharmacol. 2003 Feb 1;65(3):361-76. doi: 10.1016/s0006-2952(02)01517-4.
6
Cholecystokinin stimulates extracellular signal-regulated kinase through activation of the epidermal growth factor receptor, Yes, and protein kinase C. Signal amplification at the level of Raf by activation of protein kinase Cepsilon.胆囊收缩素通过激活表皮生长因子受体、Yes和蛋白激酶C来刺激细胞外信号调节激酶。通过激活蛋白激酶Cε在Raf水平进行信号放大。
J Biol Chem. 2003 Feb 28;278(9):7065-72. doi: 10.1074/jbc.M211234200. Epub 2002 Dec 20.
7
Aplidin induces apoptosis in human cancer cells via glutathione depletion and sustained activation of the epidermal growth factor receptor, Src, JNK, and p38 MAPK.阿普立丁通过消耗谷胱甘肽以及持续激活表皮生长因子受体、Src、JNK和p38丝裂原活化蛋白激酶,诱导人癌细胞凋亡。
J Biol Chem. 2003 Jan 3;278(1):241-50. doi: 10.1074/jbc.M201010200. Epub 2002 Oct 31.
8
EBP50 inhibits EGF-induced breast cancer cell proliferation by blocking EGFR phosphorylation.EBP50 通过阻断 EGFR 磷酸化抑制 EGF 诱导的乳腺癌细胞增殖。
Amino Acids. 2012 Nov;43(5):2027-35. doi: 10.1007/s00726-012-1277-z. Epub 2012 Apr 4.
9
Growth and molecular interactions of the anti-EGFR antibody cetuximab and the DNA cross-linking agent cisplatin in gefitinib-resistant MDA-MB-468 cells: new prospects in the treatment of triple-negative/basal-like breast cancer.抗表皮生长因子受体(EGFR)抗体西妥昔单抗与DNA交联剂顺铂在吉非替尼耐药的MDA-MB-468细胞中的生长及分子相互作用:三阴性/基底样乳腺癌治疗的新前景
Int J Oncol. 2008 Dec;33(6):1165-76.
10
Retinoids suppress epidermal growth factor-associated cell proliferation by inhibiting epidermal growth factor receptor-dependent ERK1/2 activation.维甲酸通过抑制表皮生长因子受体依赖性ERK1/2激活来抑制表皮生长因子相关的细胞增殖。
J Biol Chem. 2002 Mar 22;277(12):9728-35. doi: 10.1074/jbc.M110897200. Epub 2002 Jan 11.

引用本文的文献

1
PLCH1 overexpression promotes breast cancer progression and predicts poor prognosis through the ERK1/2-EGR1 axis.PLCH1过表达通过ERK1/2-EGR1轴促进乳腺癌进展并预示不良预后。
Front Oncol. 2025 May 30;15:1577114. doi: 10.3389/fonc.2025.1577114. eCollection 2025.
2
MTHFD2 marks pemetrexed resistance in pulmonary adenocarcinoma with EGFR wild type.MTHFD2标记了具有EGFR野生型的肺腺癌中的培美曲塞耐药性。
Discov Oncol. 2025 Apr 20;16(1):581. doi: 10.1007/s12672-025-02355-z.
3
Modulation of EGFR Activity by Molecularly Imprinted Polymer Nanoparticles Targeting Intracellular Epitopes.

本文引用的文献

1
Activation of cyclin D1 expression by the ERK5 cascade.细胞外信号调节激酶5(ERK5)级联反应对细胞周期蛋白D1表达的激活作用。
Oncogene. 2003 Aug 21;22(35):5387-98. doi: 10.1038/sj.onc.1206839.
2
Critical role of both p27KIP1 and p21CIP1/WAF1 in the antiproliferative effect of ZD1839 ('Iressa'), an epidermal growth factor receptor tyrosine kinase inhibitor, in head and neck squamous carcinoma cells.p27KIP1和p21CIP1/WAF1在表皮生长因子受体酪氨酸激酶抑制剂ZD1839(“易瑞沙”)对头颈部鳞状癌细胞的抗增殖作用中起关键作用。
J Cell Physiol. 2003 Apr;195(1):139-50. doi: 10.1002/jcp.10239.
3
Constitutive and inducible Akt activity promotes resistance to chemotherapy, trastuzumab, or tamoxifen in breast cancer cells.
分子印迹聚合物纳米颗粒靶向细胞内表位对表皮生长因子受体活性的调节。
Nano Lett. 2023 Nov 8;23(21):9677-9682. doi: 10.1021/acs.nanolett.3c01374. Epub 2023 Oct 30.
4
Unnatural Amino Acid Engineering for Intracellular Delivery of Protein Therapeutics.非天然氨基酸工程用于蛋白质治疗药物的细胞内递送。
Methods Mol Biol. 2024;2720:151-164. doi: 10.1007/978-1-0716-3469-1_11.
5
Targeting Epidermal Growth Factor Receptor to Stimulate Elastic Matrix Regenerative Repair.针对表皮生长因子受体刺激弹性基质再生修复。
Tissue Eng Part A. 2023 Apr;29(7-8):187-199. doi: 10.1089/ten.TEA.2022.0170. Epub 2023 Feb 27.
6
Anticancer Potential of Green Synthesized Silver Nanoparticles of the Soft Coral Supported by Network Pharmacology and In Silico Analyses.基于网络药理学和计算机模拟分析的软珊瑚绿色合成银纳米颗粒的抗癌潜力
Pharmaceutics. 2021 Nov 3;13(11):1846. doi: 10.3390/pharmaceutics13111846.
7
Novel Ran-RCC1 Inhibitory Peptide-Loaded Nanoparticles Have Anti-Cancer Efficacy In Vitro and In Vivo.新型载有Ran-RCC1抑制肽的纳米颗粒在体外和体内均具有抗癌功效。
Cancers (Basel). 2019 Feb 14;11(2):222. doi: 10.3390/cancers11020222.
8
Sorafenib improves alkylating therapy by blocking induced inflammation, invasion and angiogenesis in breast cancer cells.索拉非尼通过阻断诱导的炎症、侵袭和血管生成来改善乳腺癌细胞的烷化剂治疗。
Cancer Lett. 2018 Jul 1;425:101-115. doi: 10.1016/j.canlet.2018.03.037. Epub 2018 Mar 30.
9
The requirement of SEPT2 and SEPT7 for migration and invasion in human breast cancer via MEK/ERK activation.SEPT2和SEPT7通过MEK/ERK激活对人乳腺癌迁移和侵袭的要求。
Oncotarget. 2016 Sep 20;7(38):61587-61600. doi: 10.18632/oncotarget.11402.
10
pERK 1/2 inhibit Caspase-8 induced apoptosis in cancer cells by phosphorylating it in a cell cycle specific manner.pERK1/2 通过在细胞周期特异性方式下磷酸化 Caspase-8 抑制癌细胞中的 Caspase-8 诱导的细胞凋亡。
Mol Oncol. 2014 Mar;8(2):232-49. doi: 10.1016/j.molonc.2013.11.003. Epub 2013 Nov 20.
组成型和诱导型Akt活性可促进乳腺癌细胞对化疗、曲妥珠单抗或他莫昔芬产生耐药性。
Mol Cancer Ther. 2002 Jul;1(9):707-17.
4
Blockade of epidermal growth factor receptor signaling on tumor cells and tumor-associated endothelial cells for therapy of human carcinomas.阻断肿瘤细胞和肿瘤相关内皮细胞上的表皮生长因子受体信号传导用于治疗人类癌症。
Am J Pathol. 2002 Sep;161(3):929-38. doi: 10.1016/S0002-9440(10)64253-8.
5
Phosphorylation of Akt/PKB is required for suppression of cancer cell apoptosis and tumor progression in human colorectal carcinoma.Akt/PKB的磷酸化是抑制人类结直肠癌癌细胞凋亡和肿瘤进展所必需的。
Cancer. 2002 Jun 15;94(12):3127-34. doi: 10.1002/cncr.10591.
6
Activated mitogen-activated protein kinase expression during human breast tumorigenesis and breast cancer progression.人乳腺肿瘤发生和乳腺癌进展过程中活化的丝裂原活化蛋白激酶表达
Clin Cancer Res. 2002 Jun;8(6):1747-53.
7
MAP kinases: from intracellular signals to physiology and disease.丝裂原活化蛋白激酶:从细胞内信号到生理与疾病
News Physiol Sci. 2002 Apr;17:62-7. doi: 10.1152/nips.01365.2001.
8
The role of mitogen-activated protein (MAP) kinase in breast cancer.丝裂原活化蛋白(MAP)激酶在乳腺癌中的作用。
J Steroid Biochem Mol Biol. 2002 Feb;80(2):239-56. doi: 10.1016/s0960-0760(01)00189-3.
9
Differential sensitivity of cancer cells to inhibitors of the epidermal growth factor receptor family.癌细胞对表皮生长因子受体家族抑制剂的差异敏感性。
Oncogene. 2002 Jan 3;21(1):119-27. doi: 10.1038/sj.onc.1205028.
10
ZD1839 (Iressa), a novel epidermal growth factor receptor (EGFR) tyrosine kinase inhibitor, potently inhibits the growth of EGFR-positive cancer cell lines with or without erbB2 overexpression.ZD1839(易瑞沙)是一种新型的表皮生长因子受体(EGFR)酪氨酸激酶抑制剂,能有效抑制EGFR阳性癌细胞系的生长,无论其是否有erbB2过表达。
Int J Cancer. 2001 Dec 15;94(6):774-82. doi: 10.1002/ijc.1557.