Garimella SreeNeelima, Inaparthy Aparna, Herchline Thomas
Department of Internal Medicine, Wright State University School of Medicine, Dayton, Ohio 45409, USA.
BMC Infect Dis. 2004 Aug 5;4:24. doi: 10.1186/1471-2334-4-24.
Fusobacterium necrophorum may cause a number of clinical syndromes, collectively known as necrobacillosis. Meningitis is a significant cause of mortality, rarely reported in the adult population.
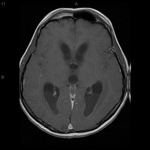
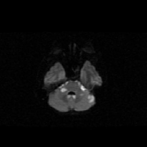
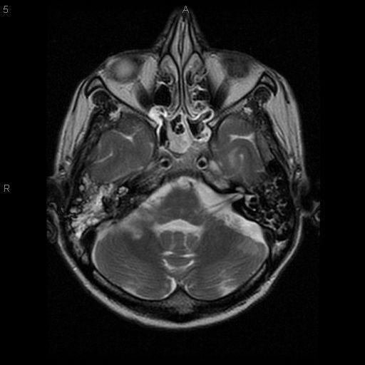
We report a fatal case of meningitis, caused by Fusobacterium necrophorum, secondary to otitis media in an alcoholic male. Diagnosis was delayed due to the typical slow growth of the organism. The clinical course was complicated by encephalitis and by hydrocephalus. The patient failed to respond to metronidazole and penicillin. The patient died on day 12 from increased intracranial pressure and brain stem infarction.
This case emphasizes the need for a high index of clinical suspicion to make the diagnosis of Fusobacterium necrophorum meningitis. We recommend the use of appropriate anaerobic culture techniques and antimicrobial coverage for anaerobic organisms when the gram stain shows gram negative bacilli.
坏死梭杆菌可引发多种临床综合征,统称为坏死杆菌病。脑膜炎是导致死亡的重要原因,在成人中鲜有报道。
我们报告一例由坏死梭杆菌引起的致命性脑膜炎病例,该病例继发于一名酗酒男性的中耳炎。由于该病菌典型的缓慢生长特性,诊断被延误。临床过程因脑炎和脑积水而复杂化。患者对甲硝唑和青霉素治疗无反应。患者于第12天因颅内压升高和脑干梗死死亡。
该病例强调了对坏死梭杆菌性脑膜炎进行诊断时需要高度的临床怀疑指数。我们建议当革兰氏染色显示革兰氏阴性杆菌时,采用适当的厌氧培养技术并针对厌氧生物进行抗菌覆盖。