Suppr超能文献

一名患有多节段脊柱韧带骨化的患者在椎板切除术后出现短暂性轻瘫。

Transient paraparesis after laminectomy in a patient with multi-level ossification of the spinal ligament.

作者信息

Lee Kyeong-Seok, Shim Jae-Jun, Doh Jae-Won, Yoon Seok-Mann, Bae Hack-Gun, Yun Il-Gyu

机构信息

Department of Neurosurgery, Soonchunhyang University Chonan Hospital, Chonan, Korea.

出版信息

J Korean Med Sci. 2004 Aug;19(4):624-6. doi: 10.3346/jkms.2004.19.4.624.

Abstract

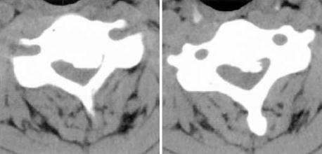
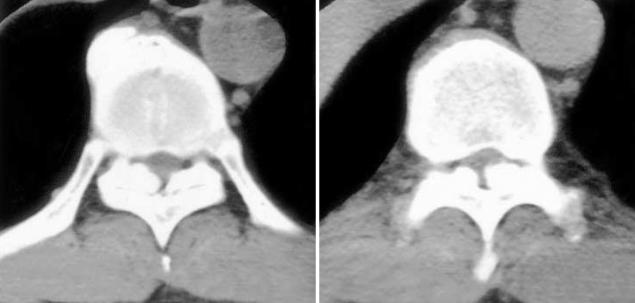
Acute neurologic deterioration is not a rare event in the surgical decompression for thoracic spinal stenosis. We report a case of transient paraparesis after decompressive laminectomy in a 50-yr-old male patient with multi-level thoracic ossification of the ligamentum flavum and cervical ossification of the posterior longitudinal ligament. Decompressive laminectomy from T9 to T11 was performed without gross neurological improvement. Two weeks after the first operation, laminoplasty from C4 to C6 and additional decompressive laminectomies of T3, T4, T6, and T8 were performed. Paraparesis developed 3 hr after the second operation, which recovered spontaneously 5 hr thereafter. CT and MRI were immediately performed, but there were no corresponding lesions. Vascular compromise of the borderlines of the arterial supply by microthrombi might be responsible for the paraparesis.

摘要

在胸椎椎管狭窄症的手术减压中,急性神经功能恶化并非罕见事件。我们报告了一例50岁男性患者,该患者患有多节段黄韧带骨化和颈椎后纵韧带骨化,在进行减压性椎板切除术后出现短暂性截瘫。对T9至T11进行了减压性椎板切除术,但神经功能未得到明显改善。首次手术后两周,进行了C4至C6的椎板成形术以及T3、T4、T6和T8的额外减压性椎板切除术。第二次手术后3小时出现截瘫,5小时后自行恢复。立即进行了CT和MRI检查,但未发现相应病变。微血栓对动脉供应边界的血管压迫可能是导致截瘫的原因。

https://cdn.ncbi.nlm.nih.gov/pmc/blobs/7a93/2816904/a243b0874b1a/jkms-19-624-g001.jpg

文献AI研究员

20分钟写一篇综述,助力文献阅读效率提升50倍。

立即体验

用中文搜PubMed

大模型驱动的PubMed中文搜索引擎

马上搜索

文档翻译

学术文献翻译模型,支持多种主流文档格式。

立即体验