Eicke M, Briner J, Willi U, Uehlinger J, Boltshauser E
Department of Paediatrics, University of Zurich, Switzerland.
Arch Dis Child. 1992 Jan;67(1 Spec No):15-9. doi: 10.1136/adc.67.1_spec_no.15.
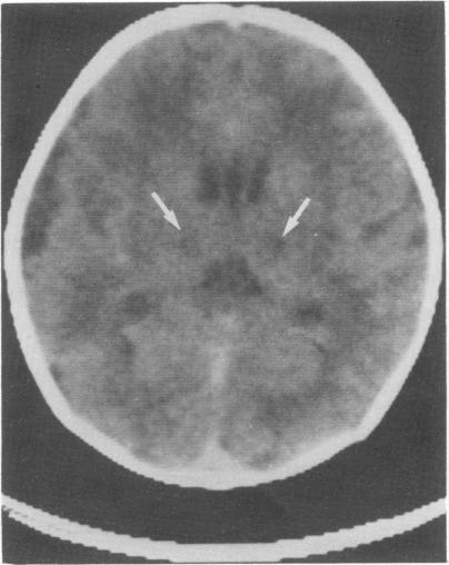
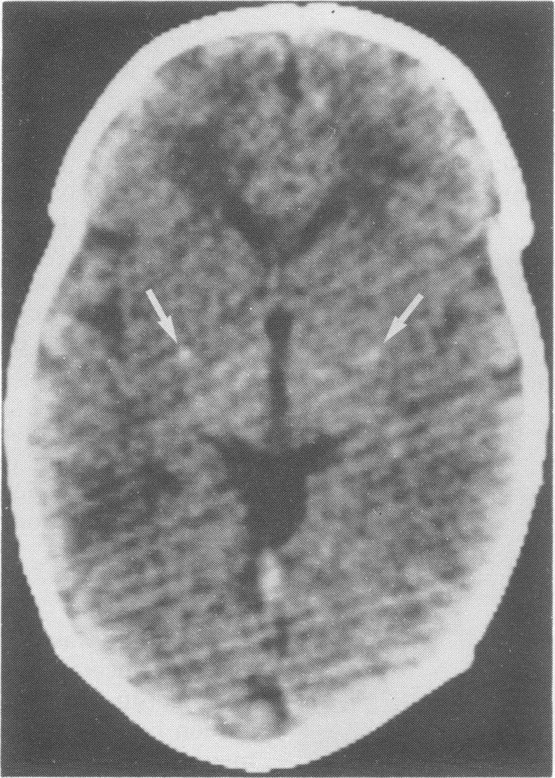
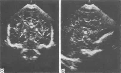
Clinical observations and findings on imaging are reported in six newborns with symmetrical thalamic lesions (STL). In three cases the diagnosis was confirmed by postmortem examination. Characteristic observations in this series and 17 previously reported cases include no evidence of perinatal asphyxia, high incidence of polyhydramnios, absent suck and swallow, absent primitive reflexes, appreciable spasticity at or within days of birth, lack of psychomotor development, and death within days or months. Characteristic pathological findings include loss of neurons, astrogliosis, and 'incrusted' neurons particularly in the thalamus. In two thirds of cases the basal ganglia and brain stem are involved as well. A hypoxic-ischaemic event occurring two to four weeks before birth is most likely responsible for STL. Bilateral thalamic calcification can often, but not always, be demonstrated in the newborn period by computed tomography and/or cranial ultrasound. The presence of these calcifications and the observation of spasticity at birth imply that the responsible insult occurred at least two to four weeks earlier. The small number of published cases with STL suggest that it may be easily missed.
报告了6例患有对称性丘脑病变(STL)的新生儿的临床观察结果及影像学表现。其中3例经尸检确诊。本系列病例以及之前报道的17例病例的特征性观察结果包括:无围产期窒息证据、羊水过多发生率高、吸吮和吞咽反射缺失、原始反射缺失、出生时或出生数天内出现明显痉挛、精神运动发育迟缓以及在数天或数月内死亡。特征性病理表现包括神经元丢失、星形胶质细胞增生以及特别是在丘脑中出现的“结痂”神经元。三分之二的病例中基底节和脑干也受累。出生前两到四周发生的缺氧缺血事件很可能是STL的病因。在新生儿期,计算机断层扫描和/或头颅超声检查常常(但并非总是)能显示双侧丘脑钙化。这些钙化的存在以及出生时出现痉挛表明,导致病变的损伤至少在两到四周前就已发生。已发表的STL病例数量较少,提示该病可能容易被漏诊。