Suppr超能文献

甲磺酸伊马替尼治疗期间转移性胃肠道间质瘤的脑转移复发:病例报告

Cerebral relapse of metastatic gastrointestinal stromal tumor during treatment with imatinib mesylate: case report.

作者信息

Hughes Brett, Yip Desmond, Goldstein David, Waring Paul, Beshay Victoria, Chong Guan

机构信息

Medical Oncology Unit, Canberra Hospital, :Yamba Drive, Garran, ACT, Australia.

出版信息

BMC Cancer. 2004 Oct 9;4:74. doi: 10.1186/1471-2407-4-74.

Abstract

BACKGROUND

The management of unresectable or metastatic gastrointestinal stromal tumors (GISTs) has previously been difficult as they are resistant to conventional chemotherapy and radiation. The development of imatinib mesylate has made a major impact on the management of advanced GISTs. It is apparent that there are sanctuary sites such as the central nervous system where imatinib does not achieve adequate concentrations. We describe the case of a man with metastatic GIST who experienced multiple cerebral relapses of disease while systemic disease progression appeared to be controlled by imatinib.

CASE PRESENTATION

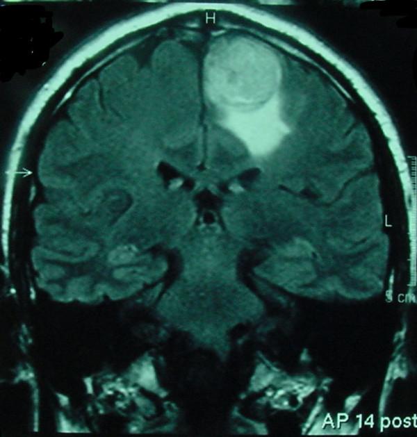
A 47-year-old man presented in July 1999 with a jejunal GIST with multiple hepatic metastases. The jejunal primary was resected and after unsuccessful cytoreductive chemotherapy, the liver metastases were also resected in December 1999. The patient subsequently relapsed in August 2001 with symptomatic hepatic, subcutaneous gluteal, left choroidal and right ocular metastases all confirmed on CT and PET scanning. Biopsy confirmed recurrent GIST. MRI and lumbar puncture excluded central nervous system involvement. The patient was commenced on imatinib 400 mg bd in September 2001 through a clinical trial. The symptoms improved with objective PET and CT scan response until December 2002 when the patient developed a right-sided foot drop. MRI scan showed a left parasagittal tumor which was resected and confirmed histologically to be metastatic GIST. Imatinib was ceased pre-operatively due to the trial protocol but recommenced in February 2003 on a compassionate use program. The left parasagittal metastasis recurred and required subsequent re-excision in September 2003 and January 2004. Control of the systemic GIST was temporarily lost on reduction of the dose of imatinib (due to limited drug supply) but on increasing the dose back to 800 mg per day, systemic disease was stabilized for a period of time before generalised progression occurred.

CONCLUSION

This case illustrates that the brain can be a sanctuary site to treatment of GISTs with imatinib. Maintaining dosing of imatinib in the face of isolated sites of disease progression is also important, as other metastatic sites may still be sensitive.

摘要

背景

不可切除或转移性胃肠道间质瘤(GIST)的治疗以前一直很困难,因为它们对传统化疗和放疗具有抗性。甲磺酸伊马替尼的开发对晚期GIST的治疗产生了重大影响。很明显,存在一些“庇护所”部位,如中枢神经系统,伊马替尼在这些部位无法达到足够的浓度。我们描述了一名转移性GIST患者的病例,该患者在全身疾病进展似乎由伊马替尼控制的情况下,经历了多次脑部疾病复发。

病例介绍

一名47岁男性于1999年7月就诊,患有空肠GIST并伴有多处肝转移。空肠原发灶被切除,在减瘤化疗失败后,肝转移灶也于1999年12月被切除。患者随后于2001年8月复发,出现有症状的肝、皮下臀肌、左侧脉络膜和右侧眼部转移,CT和PET扫描均证实。活检确诊为复发性GIST。MRI和腰椎穿刺排除了中枢神经系统受累。通过一项临床试验,患者于2001年9月开始服用伊马替尼,每日400mg,分两次服用。症状改善,PET和CT扫描显示有客观反应,直到2002年12月患者出现右侧足下垂。MRI扫描显示左侧矢状旁肿瘤,切除后经组织学证实为转移性GIST。由于试验方案,伊马替尼在术前停用,但于2003年2月根据同情用药计划重新开始使用。左侧矢状旁转移灶复发,随后分别于2003年9月和2004年1月再次切除。由于伊马替尼剂量减少(由于药物供应有限),全身GIST的控制暂时丧失,但将剂量增加回每日800mg后,全身疾病在广泛进展之前稳定了一段时间。

结论

该病例表明,脑可能是伊马替尼治疗GIST的一个“庇护所”部位。面对孤立的疾病进展部位时维持伊马替尼的给药也很重要,因为其他转移部位可能仍然敏感。

https://cdn.ncbi.nlm.nih.gov/pmc/blobs/45f9/524360/de44aae16dc9/1471-2407-4-74-1.jpg

文献AI研究员

20分钟写一篇综述,助力文献阅读效率提升50倍。

立即体验

用中文搜PubMed

大模型驱动的PubMed中文搜索引擎

马上搜索

文档翻译

学术文献翻译模型,支持多种主流文档格式。

立即体验