Couvelard A, O'Toole D, Turley H, Leek R, Sauvanet A, Degott C, Ruszniewski P, Belghiti J, Harris A L, Gatter K, Pezzella F
Department of Pathology, Hôpital Beaujon, 100 Boulevard du Général Leclerc, 92110 Clichy, France.
Br J Cancer. 2005 Jan 17;92(1):94-101. doi: 10.1038/sj.bjc.6602245.
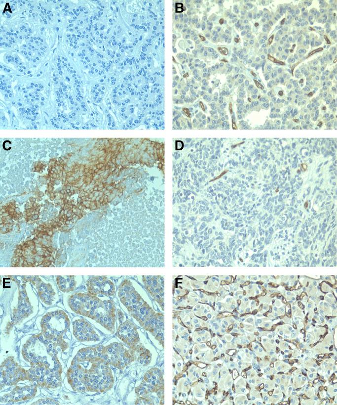
Tumour-associated angiogenesis is partly regulated by the hypoxia-inducible factor (HIF) pathway. Endocrine tumours are highly vascularised and the molecular mechanisms of their angiogenesis are not fully delineated. The aim of this study is to evaluate angiogenesis and expression of HIF-related molecules in a series of patients with pancreatic endocrine tumours (PETs). The expression of vascular endothelial growth factor (VEGF), HIF-1alpha, HIF-2alpha and carbonic anhydrase 9 (CA9) was examined by immunohistochemistry in 45 patients with PETs and compared to microvascular density (MVD), endothelial proliferation, tumour stage and survival. Microvascular density was very high in PETs and associated with a low endothelial index of proliferation. Microvascular density was significantly higher in benign PETs than in PETs of uncertain prognosis, well-differentiated and poorly differentiated carcinomas (mean values: 535, 436, 252 and 45 vessels mm(-2), respectively, P < 0.0001). Well-differentiated tumours had high cytoplasmic VEGF and HIF-1alpha expression. Poorly differentiated carcinomas were associated with nuclear HIF-1alpha and membranous CA9 expression. Low MVD (P = 0.0001) and membranous CA9 expression (P = 0.0004) were associated with a poorer survival. Contrary to other types of cancer, PETs are highly vascularised, but poorly angiogenic tumours. As they progress, VEGF expression is lost and MVD significantly decreases. The regulation of HIF signalling appears to be specific in pancreatic endocrine tumours.
肿瘤相关血管生成部分受缺氧诱导因子(HIF)通路调控。内分泌肿瘤血管高度丰富,但其血管生成的分子机制尚未完全阐明。本研究旨在评估一系列胰腺内分泌肿瘤(PET)患者的血管生成情况及HIF相关分子的表达。通过免疫组织化学检测了45例PET患者血管内皮生长因子(VEGF)、HIF-1α、HIF-2α和碳酸酐酶9(CA9)的表达,并与微血管密度(MVD)、内皮细胞增殖、肿瘤分期及生存率进行比较。PET的微血管密度非常高,且与低内皮细胞增殖指数相关。良性PET的微血管密度显著高于预后不确定的PET、高分化和低分化癌(平均值分别为535、436、252和45个血管/mm²,P<0.0001)。高分化肿瘤的细胞质VEGF和HIF-1α表达较高。低分化癌与细胞核HIF-1α和细胞膜CA9表达相关。低MVD(P=0.0001)和细胞膜CA9表达(P=0.0004)与较差的生存率相关。与其他类型癌症相反,PET血管高度丰富,但血管生成能力较差。随着病情进展,VEGF表达丧失,MVD显著降低。HIF信号通路的调控在胰腺内分泌肿瘤中似乎具有特异性。