Suppr超能文献

神经肌肉疾病模式。与随意肌正常胚胎发育阶段的关系。

Patterns of neuromuscular disease. As related to stages of normal embryogenesis in voluntary muscle.

作者信息

Korényi-Both A, Marosán G

出版信息

Am J Pathol. 1979 May;95(2):359-78.

Abstract

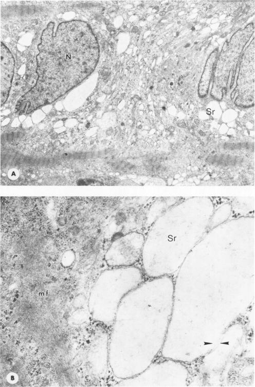
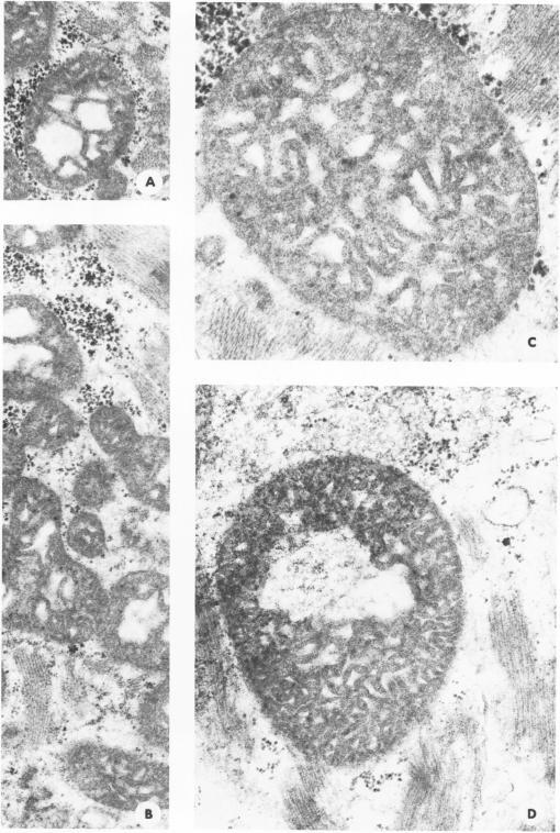
Skeletal muscle samples from the upper and lower extremities of 38 human fetuses (6 to 18 weeks' gestation) of both sexes were studied by histologic, histochemical, and electron microscopic methods. Ultrastructural morphometry was applied. In the different stages of normal development are found regressive changes, ranging from reversible dystrophic to irreversible necrotic alterations, which are characteristic of either primary myogenic myopathies or primary neurogenic muscle atrophies in older age. Several pathologic patterns of so-called congenital myopathies also presented. On the basis of their findings, the authors conclude that in a certain group of congenital myopathies full normal development of muscle is hindered or blocked and that groups of muscles or the whole voluntary musculature is arrested at certain stages of maturation. For example, insufficient or absent innervation of the fetal muscle may be a factor in Werdnig-Hoffmann or Kugelberg-Welander syndromes. The authors' findings suggest that pathologic patterns in muscle diseases have been used physiologically in fetal development to eliminate unnecessary overproduction of muscle fibers.

摘要

采用组织学、组织化学和电子显微镜方法,对38例不同性别的人类胎儿(妊娠6至18周)上下肢的骨骼肌样本进行了研究。应用了超微结构形态测量法。在正常发育的不同阶段发现了退行性变化,范围从可逆性营养不良到不可逆性坏死改变,这些变化是老年原发性肌源性肌病或原发性神经源性肌肉萎缩的特征。还呈现出几种所谓先天性肌病的病理模式。基于他们的发现,作者得出结论,在某一组先天性肌病中,肌肉的完全正常发育受到阻碍或阻断,并且肌肉群或整个随意肌在成熟的某些阶段停滞。例如,胎儿肌肉的神经支配不足或缺乏可能是韦尔纳格 - 霍夫曼或库格尔贝格 - 韦兰德综合征的一个因素。作者的发现表明,肌肉疾病中的病理模式在胎儿发育过程中已被生理利用,以消除不必要的肌纤维过度产生。

https://cdn.ncbi.nlm.nih.gov/pmc/blobs/2b2e/2042326/b7af1e135a70/amjpathol00243-0102-a.jpg

文献检索

告别复杂PubMed语法,用中文像聊天一样搜索,搜遍4000万医学文献。AI智能推荐,让科研检索更轻松。

立即免费搜索

文件翻译

保留排版,准确专业,支持PDF/Word/PPT等文件格式,支持 12+语言互译。

免费翻译文档

深度研究

AI帮你快速写综述,25分钟生成高质量综述,智能提取关键信息,辅助科研写作。

立即免费体验