Spain L M, Mulligan R C
Whitehead Institute for Biomedical Research, Cambridge, MA 02142.
Proc Natl Acad Sci U S A. 1992 May 1;89(9):3790-4. doi: 10.1073/pnas.89.9.3790.
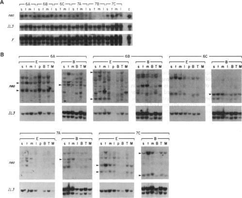
We have developed a method for the purification of retrovirally transduced hematopoietic stem cells, based on a modification of the stem cell purification protocols developed by Spangrude et al. [Spangrude, G., Heimfeld, S. & Weissman, I. (1988) Science 241, 58-64] and Spangrude and Scollay [Spangrude, G. & Scollay, R. (1990) Exp. Hematol. 18, 920-926], that depends upon the use of bone marrow cells isolated from 5-fluorouracil-treated mice that have been subsequently cocultivated with recombinant retrovirus-producing cell lines. We found that purified cell populations bearing a Sca 1+ Lin- Thy 1- surface phenotype represent a 50-100% pure population of spleen colony-forming cells (CFU-S day 12). Animals injected with 300 or more purified cells were consistently radioprotected and reconstituted in multiple lineages with donor cells. Sca 1+ Lin- Thy 1- CFU-S day 12 stem cells were shown to be efficiently (100%) transduced by the recombinant retroviruses used in the study. Gene transfer into long-term reconstituting stem cells, as evidenced by Southern blot analysis of mature hematopoietic cell types 3 months after transplantation, was observed only in recipients injected with large numbers (approximately 4000-5000) of the purified cells. The development of methods for purifying retrovirally transduced stem cells should prove extremely useful for various studies in which it is of interest to characterize the activity of a specific gene product (e.g., growth factor, receptor, oncogene) specifically in primitive hematopoietic cell types.