Suppr超能文献

Assessment of the prognostic factors for a local recurrence of rectal cancer: the utility of preoperative MR imaging.

作者信息

Oh Young Taik, Kim Myeong Jin, Lim Joon Seok, Kim Joo Hee, Lee Kang Young, Kim Nam Kyu, Kim Won Ho, Kim Ki Whang

机构信息

Department of Diagnostic Radiology, Yonsei University College of Medicine, Seoul, Korea.

出版信息

Korean J Radiol. 2005 Jan-Mar;6(1):8-16. doi: 10.3348/kjr.2005.6.1.8.

Abstract

OBJECTIVE

To determine the utility of MR imaging in evaluating the prognostic factors for a local recurrence of rectal cancer following a curative resection.

MATERIALS AND METHODS

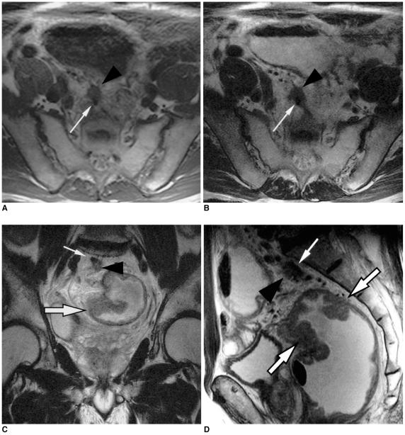
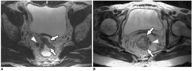
The preoperative MR images obtained from 17 patients with a local recurrence and 54 patients without a local recurrence, who had undergone a curative resection, were independently evaluated by three radiologists. The following findings were analyzed: the direct invasion of the perirectal fat by the primary rectal carcinoma, involvement of the perirectal lymph nodes, perirectal spiculate nodules, perivascular encasement, and an enlargement of the pelvic wall lymph nodes. The clinical and surgical profiles were obtained from the patients' medical records. The association of a local recurrence with the MR findings and the clinicosurgical variables was statistically evaluated.

RESULTS

Of the MR findings, the presence of perivascular encasement (p = 0.001) and perirectal spiculate nodules (p = 0.001) were found to be significant prognostic factors for a local recurrence. Of the clinicosurgical profiles, the presence of a microscopic vascular invasion (p = 0.005) and the involvement of the regional lymph nodes (p = 0.006) were associated with a local recurrence. Logistic regression analysis showed that the presence of perirectal spiculate nodules was an independent predictor of a local recurrence (odds ratio, 7.382; 95% confidence interval, 1.438, 37.889; p = 0.017).

CONCLUSION

The presence of perirectal spiculate nodules and perivascular encasement on the preoperative MR images are significant predictors of a local recurrence after curative surgery for a rectal carcinoma. This suggests that preoperative MR imaging can provide useful information to help in the planning of preoperative adjuvant therapy.

摘要
https://cdn.ncbi.nlm.nih.gov/pmc/blobs/f22b/2685000/a5a515d4aaac/kjr-6-8-g001.jpg

文献AI研究员

20分钟写一篇综述,助力文献阅读效率提升50倍。

立即体验

用中文搜PubMed

大模型驱动的PubMed中文搜索引擎

马上搜索

文档翻译

学术文献翻译模型,支持多种主流文档格式。

立即体验