Suppr超能文献

大肠杆菌中由3'-UTR SECIS元件指导的硒代半胱氨酸插入

Selenocysteine insertion directed by the 3'-UTR SECIS element in Escherichia coli.

作者信息

Su Dan, Li Yehua, Gladyshev Vadim N

机构信息

Department of Biochemistry, University of Nebraska-Lincoln Lincoln, NE 68588, USA.

出版信息

Nucleic Acids Res. 2005 Apr 29;33(8):2486-92. doi: 10.1093/nar/gki547. Print 2005.

Abstract

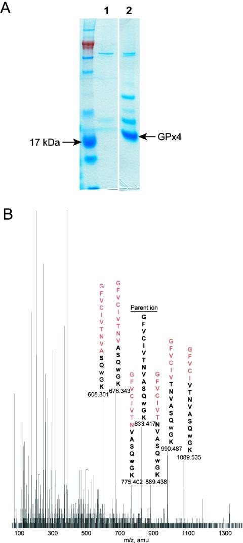
Co-translational insertion of selenocysteine (Sec) into proteins in response to UGA codons is directed by selenocysteine insertion sequence (SECIS) elements. In known bacterial selenoprotein genes, SECIS elements are located in the coding regions immediately downstream of UGA codons. Here, we report that a distant SECIS element can also function in Sec insertion in bacteria provided that it is spatially close to the UGA codon. We expressed a mammalian phospholipid hydroperoxide glutathione peroxidase in Escherichia coli from a construct in which a natural E.coli SECIS element was located in the 3'-untranslated region (3'-UTR) and adjacent to a sequence complementary to the region downstream of the Sec UGA codon. Although the major readthrough event at the UGA codon was insertion of tryptophan, Sec was also incorporated and its insertion was dependent on the functional SECIS element in the UTR, base-pairing potential of the SECIS flanking region and the Sec UGA codon. These data provide important implications into evolution of SECIS elements and development of a system for heterologous expression of selenoproteins and show that in addition to the primary sequence arrangement between UGA codons and SECIS elements, their proximity within the tertiary structure can support Sec insertion in bacteria.

摘要

硒代半胱氨酸(Sec)响应UGA密码子共翻译插入蛋白质是由硒代半胱氨酸插入序列(SECIS)元件指导的。在已知的细菌硒蛋白基因中,SECIS元件位于UGA密码子下游紧邻的编码区。在此,我们报告,一个远距离的SECIS元件在细菌中也能在Sec插入中发挥作用,前提是它在空间上靠近UGA密码子。我们从一个构建体在大肠杆菌中表达了一种哺乳动物磷脂氢过氧化物谷胱甘肽过氧化物酶,其中一个天然的大肠杆菌SECIS元件位于3'-非翻译区(3'-UTR)且与Sec UGA密码子下游区域的互补序列相邻。尽管UGA密码子处的主要通读事件是色氨酸的插入,但Sec也被掺入,并且其插入依赖于UTR中的功能性SECIS元件、SECIS侧翼区域的碱基配对潜力以及Sec UGA密码子。这些数据对SECIS元件的进化以及硒蛋白异源表达系统的开发具有重要意义,并表明除了UGA密码子和SECIS元件之间的一级序列排列外,它们在三级结构中的接近程度也能支持细菌中的Sec插入。

https://cdn.ncbi.nlm.nih.gov/pmc/blobs/754c/1087901/97be24747295/gki547f1.jpg

文献AI研究员

20分钟写一篇综述,助力文献阅读效率提升50倍。

立即体验

用中文搜PubMed

大模型驱动的PubMed中文搜索引擎

马上搜索

文档翻译

学术文献翻译模型,支持多种主流文档格式。

立即体验