Suppr超能文献

RON和MET的共表达是膀胱移行细胞癌患者的一个预后指标。

Co-expression of RON and MET is a prognostic indicator for patients with transitional-cell carcinoma of the bladder.

作者信息

Cheng H-L, Liu H-S, Lin Y-J, Chen H H-W, Hsu P-Y, Chang T-Y, Ho C-L, Tzai T-S, Chow N-H

机构信息

Department of Urology, National Cheng Kung University, 1 Ta-Hsueh Road, Tainan 70428, Taiwan.

出版信息

Br J Cancer. 2005 May 23;92(10):1906-14. doi: 10.1038/sj.bjc.6602593.

Abstract

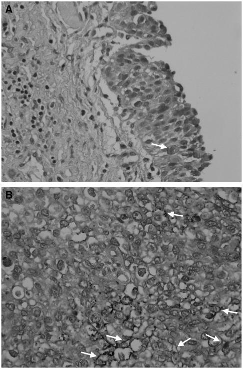
Recepteur d'Origine Nantais (RON) is a distinct receptor tyrosine kinase in the c-met proto-oncogene family. We examined the mutational and expression patterns of RON in eight human uroepithelial cell lines. Biological effects of RON overexpression on cancer cells were investigated in vitro, and the prognostic significance of RON and/or c-met protein (MET) expression was analysed in a bladder cancer cohort (n=183). There was no evidence of mutation in the kinase domain of RON. Overexpression of RON using an inducible Tet-off system induced increased cell proliferation, motility, and antiapoptosis. Immunohistochemical analysis showed that RON was overexpressed in 60 cases (32.8%) of primary tumours, with 14 (23.3%) showing a high level of expression. Recepteur d'Origine Nantais expression was positively associated with histological grading, larger size, nonpapillary contour, and tumour stage (all P<0.01). In addition, MET was overexpressed in 82 cases (44.8%). Co-expressed RON and MET was significantly associated with decreased overall survival (P=0.005) or metastasis-free survival (P=0.01) in 35 cases (19.1%). Recepteur d'Origine Nantais-associated signalling may play an important role in the progression of human bladder cancer. Evaluation of RON and MET expression status may identify a subset of bladder-cancer patients who require more intensive treatment.

摘要

南特起源受体(RON)是c-met原癌基因家族中一种独特的受体酪氨酸激酶。我们检测了8种人尿道上皮细胞系中RON的突变和表达模式。在体外研究了RON过表达对癌细胞的生物学效应,并在一个膀胱癌队列(n = 183)中分析了RON和/或c-met蛋白(MET)表达的预后意义。没有证据表明RON激酶结构域发生突变。使用诱导型Tet-off系统过表达RON可诱导细胞增殖、运动和抗凋亡增加。免疫组织化学分析显示,60例(32.8%)原发性肿瘤中RON过表达,其中14例(23.3%)表达水平较高。南特起源受体表达与组织学分级、更大尺寸、非乳头状轮廓和肿瘤分期呈正相关(均P<0.01)。此外,82例(44.8%)中MET过表达。35例(19.1%)中,共表达的RON和MET与总生存期降低(P = 0.005)或无转移生存期降低(P = 0.01)显著相关。南特起源受体相关信号可能在人类膀胱癌进展中起重要作用。评估RON和MET表达状态可能识别出需要更强化治疗的一部分膀胱癌患者。

https://cdn.ncbi.nlm.nih.gov/pmc/blobs/7b1e/2361770/84e5912b3ca8/92-6602593f1.jpg

文献检索

告别复杂PubMed语法,用中文像聊天一样搜索,搜遍4000万医学文献。AI智能推荐,让科研检索更轻松。

立即免费搜索

文件翻译

保留排版,准确专业,支持PDF/Word/PPT等文件格式,支持 12+语言互译。

免费翻译文档

深度研究

AI帮你快速写综述,25分钟生成高质量综述,智能提取关键信息,辅助科研写作。

立即免费体验