Suppr超能文献

一例胰腺破骨细胞样巨细胞瘤合并导管腺癌:组织病理学、免疫组织化学、超微结构及分子生物学研究

A case of osteoclast-like giant cell tumor of the pancreas with ductal adenocarcinoma: histopathological, immunohistochemical, ultrastructural and molecular biological studies.

作者信息

Joo Young-Eun, Heo Tag, Park Chang-Hwan, Lee Wan-Sik, Kim Hyun-Soo, Kim Jung-Chul, Koh Yang-Seok, Choi Sung-Kyu, Cho Chol-Kyoon, Rew Jong-Sun, Kim Sei-Jong

机构信息

Department of Internal Medicine, Chonnam National University Medical School, Gwangju, Korea.

出版信息

J Korean Med Sci. 2005 Jun;20(3):516-20. doi: 10.3346/jkms.2005.20.3.516.

Abstract

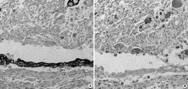
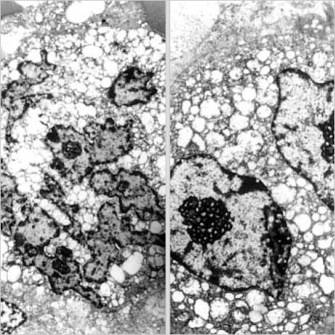
Osteoclast-like giant cell tumor of the pancreas is a very rare neoplasm, of which the histiogenesis remains controversial. A 63-yr-old woman was hospitalized for evaluation of epigastric pain. An abdominal computerized tomography revealed the presence of a large cystic mass, arising from the tail of pancreas. A distal pancreatectomy with splenectomy was performed. Histologically, the tumor was composed of mononuclear stromal cells intermingled with osteclast-like giant cells. In addition, there was a small area of moderately to well differentiated ductal adenocarcinoma. The final pathologic diagnosis was osteoclast-like giant cell tumor of the pancreas with ductal adenocarcinoma. Here, we describe the histopathological, immunohistochemical, ultrastructural and molecular biological findings of this tumor with review of the literature pertaining to this condition.

摘要

胰腺破骨细胞样巨细胞瘤是一种非常罕见的肿瘤,其组织发生仍存在争议。一名63岁女性因上腹部疼痛入院评估。腹部计算机断层扫描显示胰腺尾部有一个大的囊性肿块。行远端胰腺切除术加脾切除术。组织学上,肿瘤由单核基质细胞与破骨细胞样巨细胞混合组成。此外,还有一小片中度至高分化的导管腺癌区域。最终病理诊断为胰腺破骨细胞样巨细胞瘤合并导管腺癌。在此,我们描述了该肿瘤的组织病理学、免疫组织化学、超微结构和分子生物学发现,并回顾了有关这种情况的文献。

https://cdn.ncbi.nlm.nih.gov/pmc/blobs/4f0a/2782216/7261c0b59c37/jkms-20-516-g001.jpg

文献AI研究员

20分钟写一篇综述,助力文献阅读效率提升50倍。

立即体验

用中文搜PubMed

大模型驱动的PubMed中文搜索引擎

马上搜索

文档翻译

学术文献翻译模型,支持多种主流文档格式。

立即体验