Suppr超能文献

胰腺导管癌中肿瘤抑制基因p16INK4a的改变。

Alterations of tumor suppressor gene p16INK4a in pancreatic ductal carcinoma.

作者信息

Attri Jyotika, Srinivasan Radhika, Majumdar Siddhartha, Radotra Bishan Dass, Wig Jaidev

机构信息

Department of General Surgery, Postgraduate Institute of Medical Education and Research, Chandigarh, India.

出版信息

BMC Gastroenterol. 2005 Jun 28;5:22. doi: 10.1186/1471-230X-5-22.

Abstract

BACKGROUND

Cell cycle inhibitor and tumor suppressor gene p16/MTS-1 has been reported to be altered in a variety of human tumors. The purpose of the study was to evaluate primary pancreatic ductal adenocarcinomas for potentially inactivating p16 alterations.

METHODS

We investigated the status of p16 gene by polymerase chain reaction (PCR), nonradioisotopic single strand conformation polymorphism (SSCP), DNA sequencing and hypermethylation analysis in 25 primary resected ductal adenocarcinomas. In addition, we investigated p16 protein expression in these cases by immunohistochemistry (IHC) using a monoclonal antibody clone (MS-887-PO).

RESULTS

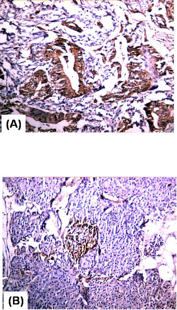
Out of the 25 samples analyzed and compared to normal pancreatic control tissues, the overall frequency of p16 alterations was 80% (20/25). Aberrant promoter methylation was the most common mechanism of gene inactivation present in 52% (13/25) cases, followed by coding sequence mutations in 16% (4/25) cases and presumably homozygous deletion in 12% (3/25) cases. These genetic alterations correlated well with p16 protein expression as complete loss of p16 protein was found in 18 of 25 tumors (72%).

CONCLUSION

These findings confirm that loss of p16 function could be involved in pancreatic cancer and may explain at least in part the aggressive behaviour of this tumor type.

摘要

背景

据报道,细胞周期抑制剂和肿瘤抑制基因p16/MTS-1在多种人类肿瘤中发生改变。本研究的目的是评估原发性胰腺导管腺癌中p16改变的潜在失活情况。

方法

我们通过聚合酶链反应(PCR)、非放射性单链构象多态性(SSCP)、DNA测序和甲基化分析,对25例原发性切除的导管腺癌进行了p16基因状态的研究。此外,我们使用单克隆抗体克隆(MS-887-PO)通过免疫组织化学(IHC)研究了这些病例中的p16蛋白表达。

结果

在分析的25个样本中,与正常胰腺对照组织相比,p16改变的总体频率为80%(20/25)。异常启动子甲基化是最常见的基因失活机制,存在于52%(13/25)的病例中,其次是编码序列突变,占16%(4/25)的病例,推测纯合缺失占12%(3/25)的病例。这些基因改变与p16蛋白表达密切相关,因为在25个肿瘤中的18个(72%)发现p16蛋白完全缺失。

结论

这些发现证实p16功能丧失可能与胰腺癌有关,并且至少可以部分解释这种肿瘤类型的侵袭性。

https://cdn.ncbi.nlm.nih.gov/pmc/blobs/ba11/1185532/24f4fd2bdcf3/1471-230X-5-22-1.jpg

文献AI研究员

20分钟写一篇综述,助力文献阅读效率提升50倍。

立即体验

用中文搜PubMed

大模型驱动的PubMed中文搜索引擎

马上搜索

文档翻译

学术文献翻译模型,支持多种主流文档格式。

立即体验