• 文献检索
  • 文档翻译
  • 深度研究
  • 学术资讯
  • Suppr Zotero 插件Zotero 插件
  • 邀请有礼
  • 套餐&价格
  • 历史记录
应用&插件
Suppr Zotero 插件Zotero 插件浏览器插件Mac 客户端Windows 客户端微信小程序
定价
高级版会员购买积分包购买API积分包
服务
文献检索文档翻译深度研究API 文档MCP 服务
关于我们
关于 Suppr公司介绍联系我们用户协议隐私条款
关注我们

Suppr 超能文献

核心技术专利:CN118964589B侵权必究
粤ICP备2023148730 号-1Suppr @ 2026

文献检索

告别复杂PubMed语法,用中文像聊天一样搜索,搜遍4000万医学文献。AI智能推荐,让科研检索更轻松。

立即免费搜索

文件翻译

保留排版,准确专业,支持PDF/Word/PPT等文件格式,支持 12+语言互译。

免费翻译文档

深度研究

AI帮你快速写综述,25分钟生成高质量综述,智能提取关键信息,辅助科研写作。

立即免费体验

暴露于大气颗粒物后,肺泡巨噬细胞与上皮细胞的相互作用会诱导参与单核细胞动员和募集的介质释放。

Alveolar macrophage-epithelial cell interaction following exposure to atmospheric particles induces the release of mediators involved in monocyte mobilization and recruitment.

作者信息

Ishii Hiroshi, Hayashi Shizu, Hogg James C, Fujii Takeshi, Goto Yukinobu, Sakamoto Noriho, Mukae Hiroshi, Vincent Renaud, van Eeden Stephan F

机构信息

James Hogg iCAPTURE Centre for Cardiovascular and Pulmonary Research, St. Paul's Hospital, University of British Columbia, Vancouver, BC, V6Z 1Y6, Canada.

出版信息

Respir Res. 2005 Aug 1;6(1):87. doi: 10.1186/1465-9921-6-87.

DOI:10.1186/1465-9921-6-87
PMID:16053532
原文链接:https://pmc.ncbi.nlm.nih.gov/articles/PMC1199624/
Abstract

BACKGROUND

Studies from our laboratory have shown that human alveolar macrophages (AM) and bronchial epithelial cells (HBEC) exposed to ambient particles (PM10) in vitro increase their production of inflammatory mediators and that supernatants from PM10-exposed cells shorten the transit time of monocytes through the bone marrow and promote their release into the circulation.

METHODS

The present study concerns co-culture of AM and HBEC exposed to PM10 (EHC-93) and the production of mediators involved in monocyte kinetics measured at both the mRNA and protein levels. The experiments were also designed to determine the role of the adhesive interaction between these cells via the intercellular adhesion molecule (ICAM)-1 in the production of these mediators.

RESULTS

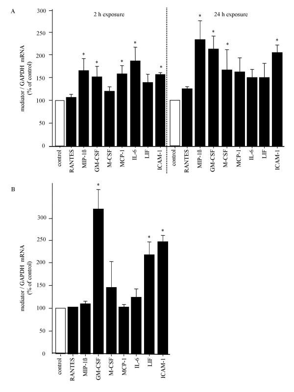
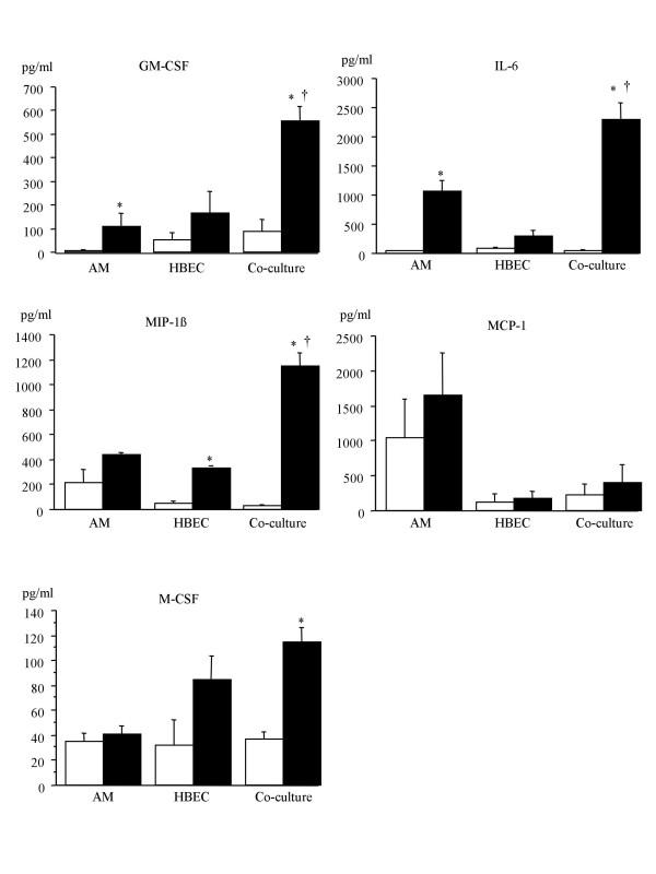
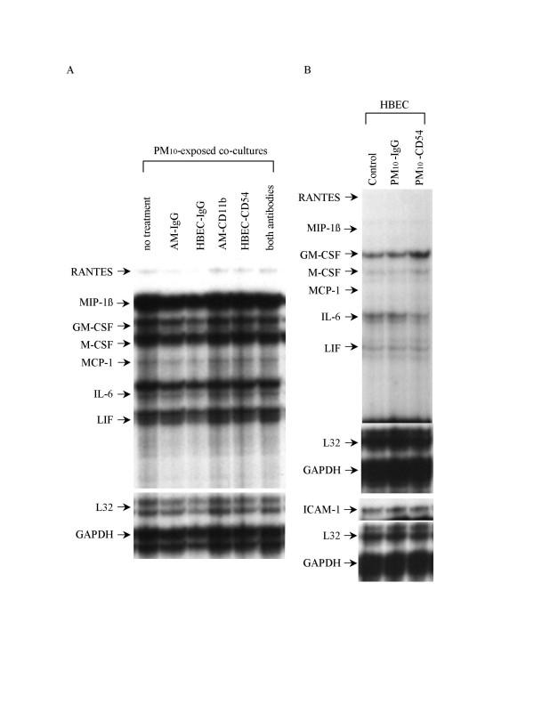
AM/HBEC co-cultures exposed to 100 microg/ml of PM10 for 2 or 24 h increased their levels of granulocyte-macrophage colony-stimulating factor (GM-CSF), M-CSF, macrophage inflammatory protein (MIP)-1beta, monocyte chemotactic protein (MCP)-1, interleukin (IL)-6 and ICAM-1 mRNA, compared to exposed AM or HBEC mono-cultures, or control non-exposed co-cultures. The levels of GM-CSF, M-CSF, MIP-1beta and IL-6 increased in co-cultured supernatants collected after 24 h exposure compared to control cells (p < 0.05). There was synergy between AM and HBEC in the production of GM-CSF, MIP-1beta and IL-6. But neither pretreatment of HBEC with blocking antibodies against ICAM-1 nor cross-linking of ICAM-1 on HBEC blocked the PM10-induced increase in co-culture mRNA expression.

CONCLUSION

We conclude that an ICAM-1 independent interaction between AM and HBEC, lung cells that process inhaled particles, increases the production and release of mediators that enhance bone marrow turnover of monocytes and their recruitment into tissues. We speculate that this interaction amplifies PM10-induced lung inflammation and contributes to both the pulmonary and systemic morbidity associated with exposure to air pollution.

摘要

背景

我们实验室的研究表明,体外暴露于环境颗粒物(PM10)的人肺泡巨噬细胞(AM)和支气管上皮细胞(HBEC)会增加其炎症介质的产生,并且来自暴露于PM10的细胞的上清液会缩短单核细胞通过骨髓的转运时间并促进其释放到循环中。

方法

本研究涉及暴露于PM10(EHC-93)的AM和HBEC的共培养以及在mRNA和蛋白质水平上测量的参与单核细胞动力学的介质的产生。实验还旨在确定这些细胞之间通过细胞间粘附分子(ICAM)-1的粘附相互作用在这些介质产生中的作用。

结果

与暴露的AM或HBEC单培养物或未暴露的对照共培养物相比,暴露于100μg/ml PM10 2小时或24小时的AM/HBEC共培养物增加了粒细胞-巨噬细胞集落刺激因子(GM-CSF)、M-CSF、巨噬细胞炎性蛋白(MIP)-1β、单核细胞趋化蛋白(MCP)-1、白细胞介素(IL)-6和ICAM-1 mRNA的水平。与对照细胞相比,暴露24小时后收集的共培养上清液中GM-CSF、M-CSF、MIP-1β和IL-6的水平增加(p<0.05)。AM和HBEC在GM-CSF、MIP-1β和IL-6的产生中存在协同作用。但是,用抗ICAM-1阻断抗体预处理HBEC或在HBEC上交联ICAM-1均不能阻断PM10诱导的共培养mRNA表达增加。

结论

我们得出结论,处理吸入颗粒的肺细胞AM和HBEC之间的ICAM-1非依赖性相互作用增加了介质的产生和释放,这些介质增强了单核细胞的骨髓更新及其向组织中的募集。我们推测这种相互作用会放大PM10诱导的肺部炎症,并导致与空气污染暴露相关的肺部和全身发病率。

https://cdn.ncbi.nlm.nih.gov/pmc/blobs/6829/1199624/0033d38258b6/1465-9921-6-87-5.jpg
https://cdn.ncbi.nlm.nih.gov/pmc/blobs/6829/1199624/f096df3d8c7a/1465-9921-6-87-1.jpg
https://cdn.ncbi.nlm.nih.gov/pmc/blobs/6829/1199624/d9e08231b659/1465-9921-6-87-2.jpg
https://cdn.ncbi.nlm.nih.gov/pmc/blobs/6829/1199624/f97d9d2f21e0/1465-9921-6-87-3.jpg
https://cdn.ncbi.nlm.nih.gov/pmc/blobs/6829/1199624/011859155288/1465-9921-6-87-4.jpg
https://cdn.ncbi.nlm.nih.gov/pmc/blobs/6829/1199624/0033d38258b6/1465-9921-6-87-5.jpg
https://cdn.ncbi.nlm.nih.gov/pmc/blobs/6829/1199624/f096df3d8c7a/1465-9921-6-87-1.jpg
https://cdn.ncbi.nlm.nih.gov/pmc/blobs/6829/1199624/d9e08231b659/1465-9921-6-87-2.jpg
https://cdn.ncbi.nlm.nih.gov/pmc/blobs/6829/1199624/f97d9d2f21e0/1465-9921-6-87-3.jpg
https://cdn.ncbi.nlm.nih.gov/pmc/blobs/6829/1199624/011859155288/1465-9921-6-87-4.jpg
https://cdn.ncbi.nlm.nih.gov/pmc/blobs/6829/1199624/0033d38258b6/1465-9921-6-87-5.jpg

相似文献

1
Alveolar macrophage-epithelial cell interaction following exposure to atmospheric particles induces the release of mediators involved in monocyte mobilization and recruitment.暴露于大气颗粒物后,肺泡巨噬细胞与上皮细胞的相互作用会诱导参与单核细胞动员和募集的介质释放。
Respir Res. 2005 Aug 1;6(1):87. doi: 10.1186/1465-9921-6-87.
2
Interaction of alveolar macrophages and airway epithelial cells following exposure to particulate matter produces mediators that stimulate the bone marrow.暴露于颗粒物后,肺泡巨噬细胞与气道上皮细胞之间的相互作用会产生刺激骨髓的介质。
Am J Respir Cell Mol Biol. 2002 Jul;27(1):34-41. doi: 10.1165/ajrcmb.27.1.4787.
3
Contribution of IL-1 beta and TNF-alpha to the initiation of the peripheral lung response to atmospheric particulates (PM10).白细胞介素-1β和肿瘤坏死因子-α在肺部对外源性大气颗粒物(PM10)外周反应起始过程中的作用。
Am J Physiol Lung Cell Mol Physiol. 2004 Jul;287(1):L176-83. doi: 10.1152/ajplung.00290.2003. Epub 2004 Mar 5.
4
Calcium dependent and independent cytokine synthesis by air pollution particle-exposed human bronchial epithelial cells.暴露于空气污染颗粒物的人支气管上皮细胞的钙依赖性和非钙依赖性细胞因子合成
Toxicol Appl Pharmacol. 2007 Dec 1;225(2):134-41. doi: 10.1016/j.taap.2007.07.006. Epub 2007 Jul 24.
5
Ambient air particulates stimulate alveolar macrophages of smokers to promote differentiation of myeloid precursor cells.环境空气中的颗粒物刺激吸烟者的肺泡巨噬细胞,以促进髓系前体细胞的分化。
Exp Lung Res. 2002 Jan-Feb;28(1):1-18. doi: 10.1080/019021402753355508.
6
Cytokines involved in the systemic inflammatory response induced by exposure to particulate matter air pollutants (PM(10)).参与暴露于颗粒物空气污染物(PM10)所诱导的全身炎症反应的细胞因子。
Am J Respir Crit Care Med. 2001 Sep 1;164(5):826-30. doi: 10.1164/ajrccm.164.5.2010160.
7
Exposure to urban air particulates alters the macrophage-mediated inflammatory response to respiratory viral infection.暴露于城市空气颗粒物会改变巨噬细胞介导的对呼吸道病毒感染的炎症反应。
J Toxicol Environ Health A. 1999 Aug 13;57(7):445-57. doi: 10.1080/009841099157539.
8
The effect of diesel exhaust particles on cell function and release of inflammatory mediators from human bronchial epithelial cells in vitro.柴油废气颗粒对体外培养的人支气管上皮细胞的细胞功能及炎症介质释放的影响。
Am J Respir Cell Mol Biol. 1998 Mar;18(3):441-8. doi: 10.1165/ajrcmb.18.3.2882.
9
Additional NO2 exposure induces a decrease in cytokine specific mRNA expression and cytokine release of particle and fibre exposed human alveolar macrophages.额外的二氧化氮暴露会导致暴露于颗粒物和纤维的人肺泡巨噬细胞的细胞因子特异性mRNA表达和细胞因子释放减少。
Eur J Med Res. 1999 Feb 25;4(2):59-66.
10
Assessing toxicity of fine and nanoparticles: comparing in vitro measurements to in vivo pulmonary toxicity profiles.评估细颗粒和纳米颗粒的毒性:将体外测量结果与体内肺部毒性概况进行比较。
Toxicol Sci. 2007 May;97(1):163-80. doi: 10.1093/toxsci/kfm018. Epub 2007 Feb 14.

引用本文的文献

1
Particulate matter exposure induces pulmonary T2 responses and oxidative stress-mediated NRF2 activation in mice.颗粒物暴露可诱导小鼠肺部的2型反应以及氧化应激介导的NRF2激活。
Redox Biol. 2025 May;82:103632. doi: 10.1016/j.redox.2025.103632. Epub 2025 Apr 8.
2
A stretchable human lung-on-chip model of alveolar inflammation for evaluating anti-inflammatory drug response.一种用于评估抗炎药物反应的可拉伸肺泡炎症人肺芯片模型。
Bioeng Transl Med. 2024 Sep 5;10(1):e10715. doi: 10.1002/btm2.10715. eCollection 2025 Jan.
3
Signalling Pathways of Inflammation and Cancer in Human Mononuclear Cells: Effect of Nanoparticle Air Pollutants.

本文引用的文献

1
Particulate matter air pollution stimulates monocyte release from the bone marrow.颗粒物空气污染会刺激骨髓释放单核细胞。
Am J Respir Crit Care Med. 2004 Oct 15;170(8):891-7. doi: 10.1164/rccm.200402-235OC. Epub 2004 Jul 15.
2
Metal-rich ambient particles (particulate matter 2.5) cause airway inflammation in healthy subjects.富含金属的环境颗粒物(细颗粒物2.5)会导致健康受试者气道发炎。
Am J Respir Crit Care Med. 2004 Oct 15;170(8):898-903. doi: 10.1164/rccm.200403-423OC. Epub 2004 Jun 30.
3
Exposure to ambient particles accelerates monocyte release from bone marrow in atherosclerotic rabbits.
人类单核细胞中的炎症和癌症信号通路:纳米颗粒空气污染物的影响。
Cells. 2024 Aug 17;13(16):1367. doi: 10.3390/cells13161367.
4
Systemic immunological responses are dependent on sex and ovarian hormone presence following acute inhaled woodsmoke exposure.全身性免疫反应取决于急性吸入木烟暴露后的性别和卵巢激素的存在。
Part Fibre Toxicol. 2024 May 27;21(1):27. doi: 10.1186/s12989-024-00587-5.
5
Diesel exhaust particles induce polarization state-dependent functional and transcriptional changes in human monocyte-derived macrophages.柴油机废气颗粒诱导人单核细胞衍生巨噬细胞中极化状态依赖的功能和转录变化。
Am J Physiol Lung Cell Mol Physiol. 2024 Jan 1;326(1):L83-L97. doi: 10.1152/ajplung.00085.2023. Epub 2023 Dec 12.
6
Mechanisms of Lung Damage and Development of COPD Due to Household Biomass-Smoke Exposure: Inflammation, Oxidative Stress, MicroRNAs, and Gene Polymorphisms.由于家庭生物质烟雾暴露导致的肺损伤和 COPD 发展的机制:炎症、氧化应激、microRNAs 和基因多态性。
Cells. 2022 Dec 23;12(1):67. doi: 10.3390/cells12010067.
7
Air Pollution: Possible Interaction between the Immune and Nervous System?空气污染:免疫系统和神经系统之间可能存在交互作用?
Int J Environ Res Public Health. 2022 Nov 30;19(23):16037. doi: 10.3390/ijerph192316037.
8
Overview of the Mechanisms of Oxidative Stress: Impact in Inflammation of the Airway Diseases.氧化应激机制概述:对气道疾病炎症的影响
Antioxidants (Basel). 2022 Nov 13;11(11):2237. doi: 10.3390/antiox11112237.
9
Role of Macrophages in Air Pollution Exposure Related Asthma.巨噬细胞在空气污染暴露相关哮喘中的作用。
Int J Mol Sci. 2022 Oct 15;23(20):12337. doi: 10.3390/ijms232012337.
10
Mechanistic Insights into the Impact of Air Pollution on Pneumococcal Pathogenesis and Transmission.大气污染对肺炎球菌发病机制和传播影响的作用机制研究进展
Am J Respir Crit Care Med. 2022 Nov 1;206(9):1070-1080. doi: 10.1164/rccm.202112-2668TR.
暴露于环境颗粒物会加速动脉粥样硬化兔骨髓中单核细胞的释放。
Am J Physiol Lung Cell Mol Physiol. 2004 Jul;287(1):L79-85. doi: 10.1152/ajplung.00425.2003. Epub 2004 Mar 5.
4
Contribution of IL-1 beta and TNF-alpha to the initiation of the peripheral lung response to atmospheric particulates (PM10).白细胞介素-1β和肿瘤坏死因子-α在肺部对外源性大气颗粒物(PM10)外周反应起始过程中的作用。
Am J Physiol Lung Cell Mol Physiol. 2004 Jul;287(1):L176-83. doi: 10.1152/ajplung.00290.2003. Epub 2004 Mar 5.
5
Transgenic overexpression of granulocyte macrophage-colony stimulating factor in the lung prevents hyperoxic lung injury.肺中粒细胞巨噬细胞集落刺激因子的转基因过表达可预防高氧性肺损伤。
Am J Pathol. 2003 Dec;163(6):2397-406. doi: 10.1016/S0002-9440(10)63594-8.
6
A novel method to quantify the turnover and release of monocytes from the bone marrow using the thymidine analog 5'-bromo-2'-deoxyuridine.一种使用胸腺嘧啶核苷类似物5'-溴-2'-脱氧尿苷来量化骨髓中单核细胞更新和释放的新方法。
Am J Physiol Cell Physiol. 2003 Aug;285(2):C253-9. doi: 10.1152/ajpcell.00035.2003. Epub 2003 Apr 2.
7
Interaction of alveolar macrophages and airway epithelial cells following exposure to particulate matter produces mediators that stimulate the bone marrow.暴露于颗粒物后,肺泡巨噬细胞与气道上皮细胞之间的相互作用会产生刺激骨髓的介质。
Am J Respir Cell Mol Biol. 2002 Jul;27(1):34-41. doi: 10.1165/ajrcmb.27.1.4787.
8
ICAM-1 facilitates alveolar macrophage phagocytic activity through effects on migration over the AEC surface.细胞间黏附分子-1通过影响肺泡巨噬细胞在肺泡上皮细胞表面的迁移来促进其吞噬活性。
Am J Physiol Lung Cell Mol Physiol. 2002 Jul;283(1):L180-7. doi: 10.1152/ajplung.00430.2001.
9
Lung macrophage-epithelial cell interactions amplify particle-mediated cytokine release.肺巨噬细胞与上皮细胞的相互作用会放大颗粒介导的细胞因子释放。
Am J Respir Cell Mol Biol. 2002 Apr;26(4):499-505. doi: 10.1165/ajrcmb.26.4.4749.
10
Particulate air pollution induces progression of atherosclerosis.空气中的微粒污染会导致动脉粥样硬化的进展。
J Am Coll Cardiol. 2002 Mar 20;39(6):935-42. doi: 10.1016/s0735-1097(02)01715-1.