Besirli Cagri G, Wagner Erwin F, Johnson Eugene M
Department of Neurology, Washington University School of Medicine, St. Louis, MO 63110, USA.
J Cell Biol. 2005 Aug 1;170(3):401-11. doi: 10.1083/jcb.200501138.
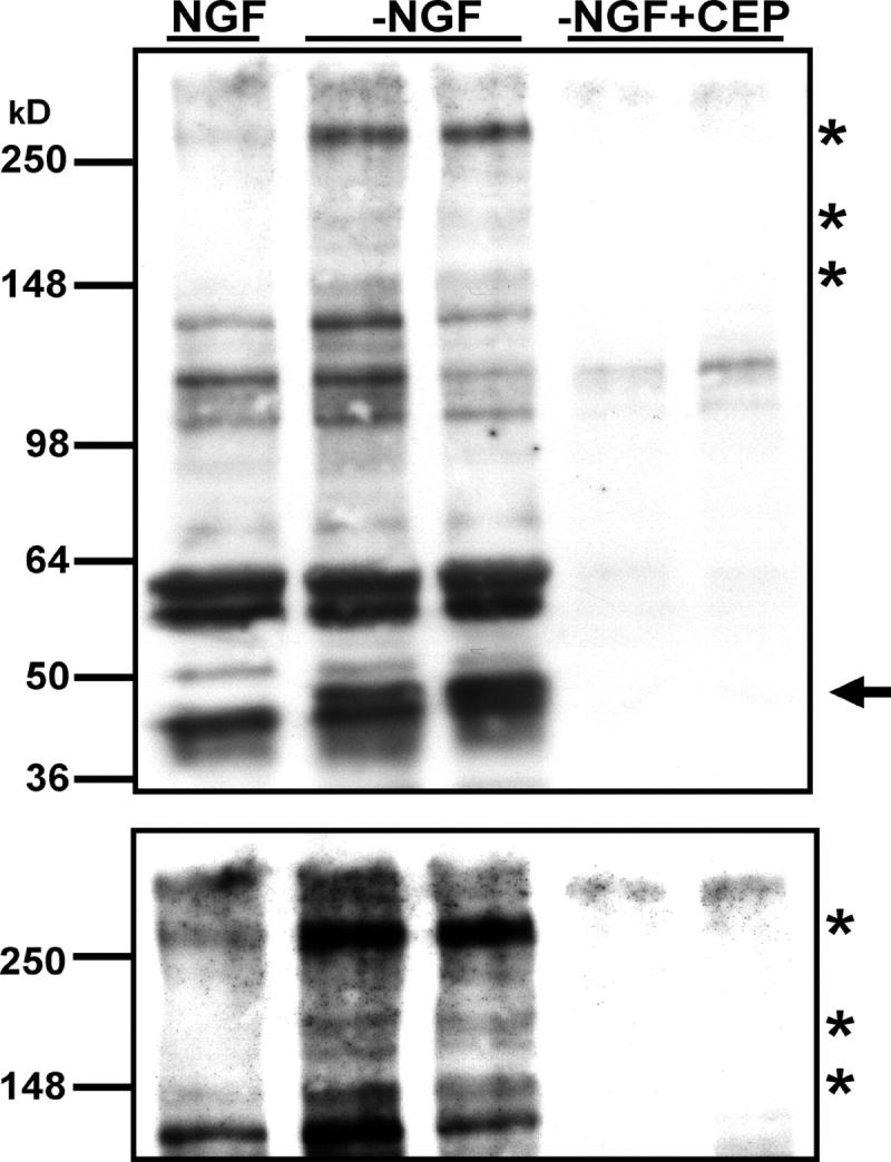
c-Jun is induced in many neuronal death paradigms. A critical step in c-Jun regulation involves phosphorylation of Ser63/Ser73 located in the NH2-terminal transactivation domain. To determine the importance of this phosphorylation for neuronal apoptosis, we analyzed the sympathetic neurons of mice carrying a mutant c-Jun gene that lacks Ser63/Ser73 phosphorylation sites (jun aa). Trophic factor-deprivation or DNA damage-induced death was significantly delayed in jun aa/aa neurons. Neuronal c-Jun induction was only partially inhibited, demonstrating that phosphorylation of Ser63/73 is not required for c-Jun activation. The inductions of proapoptotic BH3-only proteins, Bim and PUMA/Bbc3, were delayed during neuronal apoptosis in mutant neurons. These results demonstrate that NH2-terminal c-Jun phosphorylation is important, but not necessary, for the induction of proapoptotic genes and neuronal apoptosis. Thus, additional JNK substrates may be critical for neuronal death. As potential mediators, we identified additional nuclear MLK/JNK substrates, including Nup214 subunit of the nuclear pore complex.
c-Jun在许多神经元死亡模式中被诱导。c-Jun调控的关键步骤涉及位于NH2末端反式激活结构域的Ser63/Ser73的磷酸化。为了确定这种磷酸化对神经元凋亡的重要性,我们分析了携带缺乏Ser63/Ser73磷酸化位点的突变c-Jun基因(jun aa)的小鼠的交感神经元。在jun aa/aa神经元中,营养因子剥夺或DNA损伤诱导的死亡显著延迟。神经元c-Jun的诱导仅被部分抑制,表明Ser63/73的磷酸化对于c-Jun激活并非必需。在突变神经元的神经元凋亡过程中,促凋亡的仅含BH3结构域的蛋白Bim和PUMA/Bbc3的诱导延迟。这些结果表明,NH2末端c-Jun磷酸化对于促凋亡基因的诱导和神经元凋亡很重要,但不是必需的。因此,其他JNK底物可能对神经元死亡至关重要。作为潜在的介质,我们鉴定出了其他核MLK/JNK底物,包括核孔复合体的Nup214亚基。