Suppr超能文献

放射抗性激酶TLK1B通过促进双链断裂的修复来保护细胞。

The radioresistance kinase TLK1B protects the cells by promoting repair of double strand breaks.

作者信息

Sunavala-Dossabhoy Gulshan, Balakrishnan Sri Kripa, Sen Siddhartha, Nuthalapaty Sam, De Benedetti Arrigo

机构信息

Department of Biochemistry and Molecular Biology, The Feist-Weiller Cancer Center, Louisiana State University Health Sciences Center, Shreveport, LA 71130-3932, USA.

出版信息

BMC Mol Biol. 2005 Sep 12;6:19. doi: 10.1186/1471-2199-6-19.

Abstract

BACKGROUND

The mammalian protein kinase TLK1 is a homologue of Tousled, a gene involved in flower development in Arabidopsis thaliana. The function of TLK1 is not well known, although knockout of the gene in Drosophila or expression of a dominant negative mutant in mouse cells causes loss of nuclear divisions and missegregation of chromosomes probably, due to alterations in chromatin remodeling capacity. Overexpression of TLK1B, a spliced variant of the TLK1 mRNA, in a model mouse cell line increases it's resistance to ionizing radiation (IR) or the radiomimetic drug doxorubicin, also likely due to changes in chromatin remodeling. TLK1B is translationally regulated by the availability of the translation factor eIF4E, and its synthesis is activated by IR. The reason for this mechanism of regulation is likely to provide a rapid means of promoting repair of DSBs. TLK1B specifically phosphorylates histone H3 and Asf1, likely resulting in changes in chromatin structure, particularly at double strand breaks (DSB) sites.

RESULTS

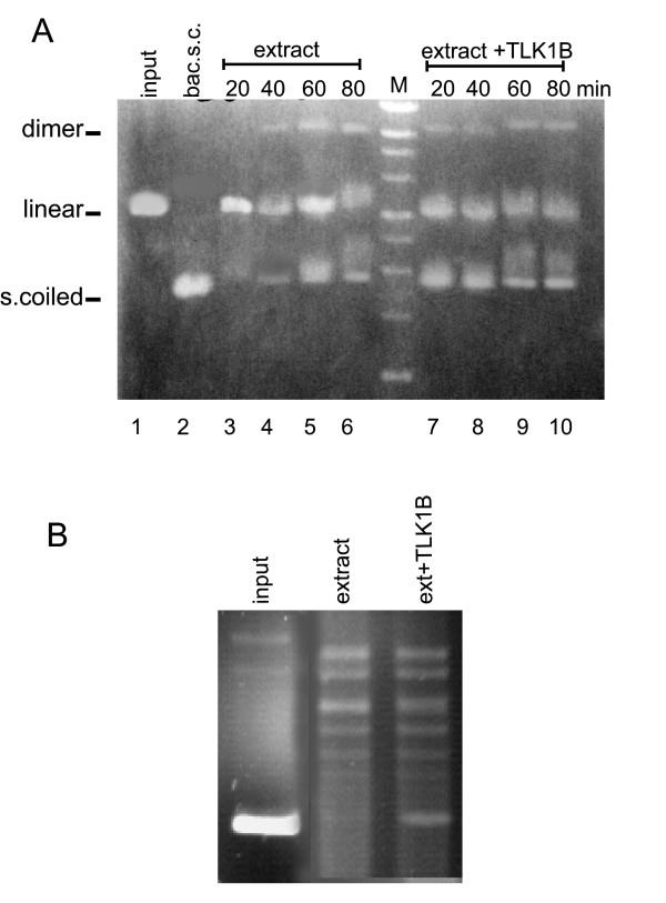
In this work, we provide several lines of evidence that TLK1B protects the cells from IR by facilitating the repair of DSBs. First, the pattern of phosphorylation and dephosphorylation of H2AX and H3 indicated that cells overexpressing TLK1B return to pre-IR steady state much more rapidly than controls. Second, the repair of episomes damaged with DSBs was much more rapid in cells overexpressing TLK1B. This was also true for repair of genomic damage. Lastly, we demonstrate with an in vitro repair system that the addition of recombinant TLK1B promotes repair of a linearized plasmid incubated with nuclear extract. In addition, TLK1B in this in vitro system promotes the assembly of chromatin as shown by the formation of more highly supercoiled topomers of the plasmid.

CONCLUSION

In this work, we provide evidence that TLK1B promotes the repair of DSBs, likely as a consequence of a change in chromatin remodeling capacity that must precede the assembly of repair complexes at the sites of damage.

摘要

背景

哺乳动物蛋白激酶TLK1是拟南芥中参与花发育的Tousled基因的同源物。尽管在果蝇中敲除该基因或在小鼠细胞中表达显性负性突变体可能会导致核分裂丧失和染色体错分离,这可能是由于染色质重塑能力的改变,但TLK1的功能尚不清楚。TLK1 mRNA的剪接变体TLK1B在模型小鼠细胞系中的过表达增加了其对电离辐射(IR)或放射模拟药物阿霉素的抗性,这也可能是由于染色质重塑的变化。TLK1B受翻译因子eIF4E可用性的翻译调控,其合成由IR激活。这种调控机制的原因可能是提供了一种促进双链断裂(DSB)修复的快速方法。TLK1B特异性磷酸化组蛋白H3和Asf1,可能导致染色质结构的变化,特别是在双链断裂(DSB)位点。

结果

在这项工作中,我们提供了几条证据表明TLK1B通过促进DSB的修复来保护细胞免受IR的损伤。首先,H2AX和H3的磷酸化和去磷酸化模式表明,过表达TLK1B的细胞比对照细胞更快地恢复到IR前的稳态。其次,过表达TLK1B的细胞中,被DSB损伤的附加体的修复要快得多。基因组损伤的修复也是如此。最后,我们用体外修复系统证明,添加重组TLK1B可促进与核提取物一起孵育的线性化质粒的修复。此外,如质粒形成更高超螺旋拓扑异构体所示,该体外系统中的TLK1B促进染色质组装。

结论

在这项工作中,我们提供证据表明TLK1B促进DSB的修复,这可能是染色质重塑能力改变的结果,而染色质重塑能力的改变必须在损伤部位修复复合物组装之前发生。

https://cdn.ncbi.nlm.nih.gov/pmc/blobs/de0f/1242231/53c30241a7cf/1471-2199-6-19-1.jpg

文献检索

告别复杂PubMed语法,用中文像聊天一样搜索,搜遍4000万医学文献。AI智能推荐,让科研检索更轻松。

立即免费搜索

文件翻译

保留排版,准确专业,支持PDF/Word/PPT等文件格式,支持 12+语言互译。

免费翻译文档

深度研究

AI帮你快速写综述,25分钟生成高质量综述,智能提取关键信息,辅助科研写作。

立即免费体验