• 文献检索
  • 文档翻译
  • 深度研究
  • 学术资讯
  • Suppr Zotero 插件Zotero 插件
  • 邀请有礼
  • 套餐&价格
  • 历史记录
应用&插件
Suppr Zotero 插件Zotero 插件浏览器插件Mac 客户端Windows 客户端微信小程序
定价
高级版会员购买积分包购买API积分包
服务
文献检索文档翻译深度研究API 文档MCP 服务
关于我们
关于 Suppr公司介绍联系我们用户协议隐私条款
关注我们

Suppr 超能文献

核心技术专利:CN118964589B侵权必究
粤ICP备2023148730 号-1Suppr @ 2026

文献检索

告别复杂PubMed语法,用中文像聊天一样搜索,搜遍4000万医学文献。AI智能推荐,让科研检索更轻松。

立即免费搜索

文件翻译

保留排版,准确专业,支持PDF/Word/PPT等文件格式,支持 12+语言互译。

免费翻译文档

深度研究

AI帮你快速写综述,25分钟生成高质量综述,智能提取关键信息,辅助科研写作。

立即免费体验

由抑制剂敏感和耐药的表皮生长因子受体(EGFR)突变体引起的致癌转化

Oncogenic transformation by inhibitor-sensitive and -resistant EGFR mutants.

作者信息

Greulich Heidi, Chen Tzu-Hsiu, Feng Whei, Jänne Pasi A, Alvarez James V, Zappaterra Mauro, Bulmer Sara E, Frank David A, Hahn William C, Sellers William R, Meyerson Matthew

机构信息

Department of Medical Oncology, Dana-Farber Cancer Institute, Boston, Massachusetts, United States of America.

出版信息

PLoS Med. 2005 Nov;2(11):e313. doi: 10.1371/journal.pmed.0020313. Epub 2005 Oct 4.

DOI:10.1371/journal.pmed.0020313
PMID:16187797
原文链接:https://pmc.ncbi.nlm.nih.gov/articles/PMC1240052/
Abstract

BACKGROUND

Somatic mutations in the kinase domain of the epidermal growth factor receptor tyrosine kinase gene EGFR are common in lung adenocarcinoma. The presence of mutations correlates with tumor sensitivity to the EGFR inhibitors erlotinib and gefitinib, but the transforming potential of specific mutations and their relationship to drug sensitivity have not been described.

METHODS AND FINDINGS

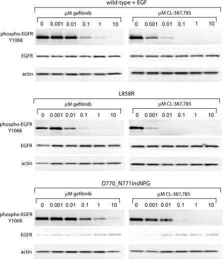
Here, we demonstrate that EGFR active site mutants are oncogenic. Mutant EGFR can transform both fibroblasts and lung epithelial cells in the absence of exogenous epidermal growth factor, as evidenced by anchorage-independent growth, focus formation, and tumor formation in immunocompromised mice. Transformation is associated with constitutive autophosphorylation of EGFR, Shc phosphorylation, and STAT pathway activation. Whereas transformation by most EGFR mutants confers on cells sensitivity to erlotinib and gefitinib, transformation by an exon 20 insertion makes cells resistant to these inhibitors but more sensitive to the irreversible inhibitor CL-387,785.

CONCLUSION

Oncogenic transformation of cells by different EGFR mutants causes differential sensitivity to gefitinib and erlotinib. Treatment of lung cancers harboring EGFR exon 20 insertions may therefore require the development of alternative kinase inhibition strategies.

摘要

背景

表皮生长因子受体酪氨酸激酶基因(EGFR)激酶结构域中的体细胞突变在肺腺癌中很常见。这些突变的存在与肿瘤对EGFR抑制剂厄洛替尼和吉非替尼的敏感性相关,但特定突变的转化潜力及其与药物敏感性的关系尚未见报道。

方法与结果

在此,我们证明EGFR活性位点突变体具有致癌性。突变型EGFR在无外源性表皮生长因子的情况下可转化成纤维细胞和肺上皮细胞,这在免疫缺陷小鼠中表现为不依赖贴壁生长、集落形成和肿瘤形成。转化与EGFR的组成型自磷酸化、Shc磷酸化以及STAT途径激活有关。虽然大多数EGFR突变体介导的转化使细胞对厄洛替尼和吉非替尼敏感,但外显子20插入突变介导的转化使细胞对这些抑制剂耐药,但对不可逆抑制剂CL-387,785更敏感。

结论

不同EGFR突变体对细胞的致癌转化导致对吉非替尼和厄洛替尼的敏感性不同。因此,治疗携带EGFR外显子20插入突变的肺癌可能需要开发替代的激酶抑制策略。

https://cdn.ncbi.nlm.nih.gov/pmc/blobs/1bd4/1297525/2fc06d35390e/pmed.0020313.g005.jpg
https://cdn.ncbi.nlm.nih.gov/pmc/blobs/1bd4/1297525/fda8bca7aadd/pmed.0020313.g001.jpg
https://cdn.ncbi.nlm.nih.gov/pmc/blobs/1bd4/1297525/e0707a60b40d/pmed.0020313.g002.jpg
https://cdn.ncbi.nlm.nih.gov/pmc/blobs/1bd4/1297525/70f4ee5df26b/pmed.0020313.g003.jpg
https://cdn.ncbi.nlm.nih.gov/pmc/blobs/1bd4/1297525/55f39a5cfa14/pmed.0020313.g004.jpg
https://cdn.ncbi.nlm.nih.gov/pmc/blobs/1bd4/1297525/2fc06d35390e/pmed.0020313.g005.jpg
https://cdn.ncbi.nlm.nih.gov/pmc/blobs/1bd4/1297525/fda8bca7aadd/pmed.0020313.g001.jpg
https://cdn.ncbi.nlm.nih.gov/pmc/blobs/1bd4/1297525/e0707a60b40d/pmed.0020313.g002.jpg
https://cdn.ncbi.nlm.nih.gov/pmc/blobs/1bd4/1297525/70f4ee5df26b/pmed.0020313.g003.jpg
https://cdn.ncbi.nlm.nih.gov/pmc/blobs/1bd4/1297525/55f39a5cfa14/pmed.0020313.g004.jpg
https://cdn.ncbi.nlm.nih.gov/pmc/blobs/1bd4/1297525/2fc06d35390e/pmed.0020313.g005.jpg

相似文献

1
Oncogenic transformation by inhibitor-sensitive and -resistant EGFR mutants.由抑制剂敏感和耐药的表皮生长因子受体(EGFR)突变体引起的致癌转化
PLoS Med. 2005 Nov;2(11):e313. doi: 10.1371/journal.pmed.0020313. Epub 2005 Oct 4.
2
Acquired resistance of lung adenocarcinomas to gefitinib or erlotinib is associated with a second mutation in the EGFR kinase domain.肺腺癌对吉非替尼或厄洛替尼获得性耐药与表皮生长因子受体(EGFR)激酶结构域的二次突变有关。
PLoS Med. 2005 Mar;2(3):e73. doi: 10.1371/journal.pmed.0020073. Epub 2005 Feb 22.
3
MET amplification occurs with or without T790M mutations in EGFR mutant lung tumors with acquired resistance to gefitinib or erlotinib.在对吉非替尼或厄洛替尼产生获得性耐药的表皮生长因子受体(EGFR)突变型肺肿瘤中,MET扩增可伴有或不伴有T790M突变。
Proc Natl Acad Sci U S A. 2007 Dec 26;104(52):20932-7. doi: 10.1073/pnas.0710370104. Epub 2007 Dec 18.
4
Combined vascular endothelial growth factor receptor and epidermal growth factor receptor (EGFR) blockade inhibits tumor growth in xenograft models of EGFR inhibitor resistance.联合血管内皮生长因子受体和表皮生长因子受体(EGFR)阻断可抑制表皮生长因子受体抑制剂耐药异种移植模型中的肿瘤生长。
Clin Cancer Res. 2009 May 15;15(10):3484-94. doi: 10.1158/1078-0432.CCR-08-2904.
5
Acquired resistance to epidermal growth factor receptor kinase inhibitors associated with a novel T854A mutation in a patient with EGFR-mutant lung adenocarcinoma.一名表皮生长因子受体(EGFR)突变型肺腺癌患者中,获得性对表皮生长因子受体激酶抑制剂耐药与一种新型T854A突变相关。
Clin Cancer Res. 2008 Nov 15;14(22):7519-25. doi: 10.1158/1078-0432.CCR-08-0151.
6
The T790M "gatekeeper" mutation in EGFR mediates resistance to low concentrations of an irreversible EGFR inhibitor.表皮生长因子受体(EGFR)中的T790M“守门人”突变介导了对低浓度不可逆EGFR抑制剂的耐药性。
Mol Cancer Ther. 2008 Apr;7(4):874-9. doi: 10.1158/1535-7163.MCT-07-2387.
7
Sensitivity and kinase activity of epidermal growth factor receptor (EGFR) exon 19 and others to EGFR-tyrosine kinase inhibitors.表皮生长因子受体(EGFR)外显子 19 及其它突变对 EGFR 酪氨酸激酶抑制剂的敏感性和激酶活性。
Cancer Sci. 2013 May;104(5):584-9. doi: 10.1111/cas.12125. Epub 2013 Mar 28.
8
Structural, biochemical, and clinical characterization of epidermal growth factor receptor (EGFR) exon 20 insertion mutations in lung cancer.肺癌中表皮生长因子受体(EGFR)外显子 20 插入突变的结构、生化和临床特征。
Sci Transl Med. 2013 Dec 18;5(216):216ra177. doi: 10.1126/scitranslmed.3007205.
9
CRIPTO1 expression in EGFR-mutant NSCLC elicits intrinsic EGFR-inhibitor resistance.CRIPTO1在表皮生长因子受体(EGFR)突变的非小细胞肺癌中的表达引发内在的EGFR抑制剂耐药性。
J Clin Invest. 2014 Jul;124(7):3003-15. doi: 10.1172/JCI73048. Epub 2014 Jun 9.
10
The relative expression of Mig6 and EGFR is associated with resistance to EGFR kinase inhibitors.Mig6 和 EGFR 的相对表达与 EGFR 激酶抑制剂的耐药性有关。
PLoS One. 2013 Jul 31;8(7):e68966. doi: 10.1371/journal.pone.0068966. Print 2013.

引用本文的文献

1
Prolonging lung cancer response to EGFR inhibition by targeting the selective advantage of resistant cells.通过靶向耐药细胞的选择性优势来延长肺癌对表皮生长因子受体(EGFR)抑制的反应。
Nat Commun. 2025 Aug 22;16(1):7853. doi: 10.1038/s41467-025-61788-w.
2
Ethyl acetate extract of : a specific and potent inhibitor against the drug-resistant EGFR_T790M mutant in NSCLC.……的乙酸乙酯提取物:一种针对非小细胞肺癌中耐药性EGFR_T790M突变体的特异性强效抑制剂。 需注意,原文中“Ethyl acetate extract of :”这里冒号前缺少具体所指内容,翻译时只能按省略号表示。
Front Pharmacol. 2025 Apr 29;16:1570108. doi: 10.3389/fphar.2025.1570108. eCollection 2025.
3
Sunvozertinib: shining light on lung cancer's exon 20 fight.

本文引用的文献

1
Epidermal growth factor-independent transformation of Ba/F3 cells with cancer-derived epidermal growth factor receptor mutants induces gefitinib-sensitive cell cycle progression.癌症来源的表皮生长因子受体突变体对Ba/F3细胞进行不依赖表皮生长因子的转化可诱导吉非替尼敏感的细胞周期进程。
Cancer Res. 2005 Oct 1;65(19):8968-74. doi: 10.1158/0008-5472.CAN-05-1829.
2
Mutation in the tyrosine kinase domain of epidermal growth factor receptor is a predictive and prognostic factor for gefitinib treatment in patients with non-small cell lung cancer.表皮生长因子受体酪氨酸激酶结构域的突变是预测和预后非小细胞肺癌患者吉非替尼治疗效果的一个因素。
Clin Cancer Res. 2005 May 15;11(10):3750-7. doi: 10.1158/1078-0432.CCR-04-1981.
3
孙伏替尼:照亮肺癌外显子20靶向治疗之路
Transl Lung Cancer Res. 2025 Feb 28;14(2):334-340. doi: 10.21037/tlcr-24-907. Epub 2025 Feb 27.
4
A novel role for WZ3146 in the inhibition of cell proliferation via ERK and AKT pathway in the rare EGFR G719X mutant cells.WZ3146在罕见的表皮生长因子受体(EGFR)G719X突变细胞中通过细胞外信号调节激酶(ERK)和蛋白激酶B(AKT)途径抑制细胞增殖的新作用。
Sci Rep. 2024 Oct 2;14(1):22895. doi: 10.1038/s41598-024-73293-z.
5
Correction: Oncogenic Transformation by Inhibitor-Sensitive and -Resistant EGFR Mutants.更正:抑制剂敏感型和耐药型EGFR突变体的致癌转化
PLoS Med. 2024 Sep 16;21(9):e1004470. doi: 10.1371/journal.pmed.1004470. eCollection 2024 Sep.
6
Functional loss of ERBB receptor feedback inhibitor 1 (MIG6) promotes glioblastoma tumorigenesis by aberrant activation of epidermal growth factor receptor (EGFR).ERBB受体反馈抑制剂1(MIG6)的功能丧失通过表皮生长因子受体(EGFR)的异常激活促进胶质母细胞瘤的肿瘤发生。
Mol Oncol. 2025 Mar;19(3):937-953. doi: 10.1002/1878-0261.13717. Epub 2024 Aug 11.
7
Effects of N361 Glycosylation on Epidermal Growth Factor Receptor Biological Function.N361糖基化对表皮生长因子受体生物学功能的影响。
bioRxiv. 2024 Jul 16:2024.07.12.603279. doi: 10.1101/2024.07.12.603279.
8
Mechanisms and therapeutic targets of ErbB family receptors in hepatocellular carcinoma: a narrative review.肝细胞癌中ErbB家族受体的机制及治疗靶点:一篇叙述性综述
Transl Cancer Res. 2024 Jun 30;13(6):3156-3178. doi: 10.21037/tcr-24-837. Epub 2024 Jun 27.
9
Natural History and Real-World Treatment Outcomes for Patients With NSCLC Having Exon 20 Insertion Mutation: An International Association for the Study of Lung Cancer-American Society of Clinical Oncology CancerLinQ Study.非小细胞肺癌20号外显子插入突变患者的自然病史及真实世界治疗结局:一项国际肺癌研究协会-美国临床肿瘤学会癌症LinQ研究
JTO Clin Res Rep. 2023 Oct 19;5(6):100592. doi: 10.1016/j.jtocrr.2023.100592. eCollection 2024 Jun.
10
Comprehensive mutational scanning of EGFR reveals TKI sensitivities of extracellular domain mutants.全面的 EGFR 突变扫描揭示了细胞外结构域突变体对 TKI 的敏感性。
Nat Commun. 2024 Mar 28;15(1):2742. doi: 10.1038/s41467-024-45594-4.
Clinical and biological features associated with epidermal growth factor receptor gene mutations in lung cancers.
肺癌中与表皮生长因子受体基因突变相关的临床和生物学特征。
J Natl Cancer Inst. 2005 Mar 2;97(5):339-46. doi: 10.1093/jnci/dji055.
4
Mutations of the epidermal growth factor receptor gene predict prolonged survival after gefitinib treatment in patients with non-small-cell lung cancer with postoperative recurrence.表皮生长因子受体基因突变可预测非小细胞肺癌术后复发患者接受吉非替尼治疗后的生存期延长。
J Clin Oncol. 2005 Apr 10;23(11):2513-20. doi: 10.1200/JCO.2005.00.992. Epub 2005 Feb 28.
5
Acquired resistance of lung adenocarcinomas to gefitinib or erlotinib is associated with a second mutation in the EGFR kinase domain.肺腺癌对吉非替尼或厄洛替尼获得性耐药与表皮生长因子受体(EGFR)激酶结构域的二次突变有关。
PLoS Med. 2005 Mar;2(3):e73. doi: 10.1371/journal.pmed.0020073. Epub 2005 Feb 22.
6
EGFR mutation and resistance of non-small-cell lung cancer to gefitinib.表皮生长因子受体(EGFR)突变与非小细胞肺癌对吉非替尼的耐药性
N Engl J Med. 2005 Feb 24;352(8):786-92. doi: 10.1056/NEJMoa044238.
7
Aberrant epidermal growth factor receptor signaling and enhanced sensitivity to EGFR inhibitors in lung cancer.肺癌中异常的表皮生长因子受体信号传导及对表皮生长因子受体抑制剂的敏感性增强
Cancer Res. 2005 Jan 1;65(1):226-35.
8
High frequency of epidermal growth factor receptor mutations with complex patterns in non-small cell lung cancers related to gefitinib responsiveness in Taiwan.台湾非小细胞肺癌中表皮生长因子受体突变频率高且模式复杂,与吉非替尼反应性相关
Clin Cancer Res. 2004 Dec 15;10(24):8195-203. doi: 10.1158/1078-0432.CCR-04-1245.
9
Mutations of the epidermal growth factor receptor gene in lung cancer: biological and clinical implications.肺癌中表皮生长因子受体基因的突变:生物学及临床意义
Cancer Res. 2004 Dec 15;64(24):8919-23. doi: 10.1158/0008-5472.CAN-04-2818.
10
Gefitinib induces apoptosis in the EGFRL858R non-small-cell lung cancer cell line H3255.吉非替尼可诱导表皮生长因子受体(EGFR)L858R突变的非小细胞肺癌细胞系H3255发生凋亡。
Cancer Res. 2004 Oct 15;64(20):7241-4. doi: 10.1158/0008-5472.CAN-04-1905.