Suppr超能文献

感染性膈下后腹膜叶外型肺隔离症:一例报告。

Infected infradiaphragmatic retroperitoneal extralobar pulmonary sequestration: a case report.

作者信息

Kim Hyun Koo, Choi Young Ho, Ryu Se Min, Kim Han Kyeom, Chae Yang Seok, Sohn Young-sang, Kim Hark Jei

机构信息

Department of Thoracic and Cardiovascular Surgery, Guro Hospital, Korea University Medical Center, Seoul, Korea.

出版信息

J Korean Med Sci. 2005 Dec;20(6):1070-2. doi: 10.3346/jkms.2005.20.6.1070.

Abstract

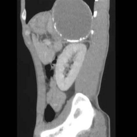
Infradiaphragmatic extralobar pulmonary sequestration is an extremely rare congenital malformation. It is more frequently diagnosed in the antenatal period due to routine ultrasonic examination of the fetus or in the first 6 months of life, though on rare occasions it is discovered incidentally in adults. A 32-yr-old man presenting with epigastric discomfort and fever was referred. Computed tomographic scanning showed that a 16-cm, multiseptated, dumbbell-shaped, huge cystic tumor was located beneath the diaphragm. On the next day, 850 mL of thick yellowish pus was drained by sonography-guided fine needle aspiration for the purpose of infection control and diagnosis, but no microscopic organisms were found in repeated culture studies. Surgical removal of the cyst was performed through thoracoabdominal incision and most of these pathologic lesions were removed but we could not find the feeding arteries or any fistulous tract to surrounding structures. Histopathologic study revealed that it was extralobar pulmonary sequestration and culture study showed that many WBC and necrotic materials were found but there were no microorganisms in the cystic contents. We report the first case of an infected infradiaphragmatic retroperitoneal extralobar sequestration which was administered a staged management and achieved an excellent clinical course.

摘要

膈下叶外型肺隔离症是一种极为罕见的先天性畸形。由于对胎儿进行常规超声检查,它在产前更常被诊断出来,或者在出生后的头6个月内被诊断,不过在极少数情况下,它是在成人中偶然发现的。一名32岁出现上腹部不适和发热的男子前来就诊。计算机断层扫描显示,一个16厘米、多分隔、哑铃状的巨大囊性肿瘤位于膈肌下方。第二天,通过超声引导下细针穿刺抽出850毫升浓稠的黄色脓液,以控制感染和进行诊断,但在反复培养研究中未发现微生物。通过胸腹联合切口对囊肿进行手术切除,大部分这些病理病变被切除,但我们未能找到供血动脉或与周围结构的任何瘘管。组织病理学研究显示这是叶外型肺隔离症,培养研究表明在囊内容物中发现了许多白细胞和坏死物质,但没有微生物。我们报告了首例接受分期治疗并取得良好临床过程的感染性膈下腹膜后叶外型肺隔离症病例。

https://cdn.ncbi.nlm.nih.gov/pmc/blobs/bbe5/2779312/7b0e273c2ced/jkms-20-1070-g001.jpg

文献AI研究员

20分钟写一篇综述,助力文献阅读效率提升50倍。

立即体验

用中文搜PubMed

大模型驱动的PubMed中文搜索引擎

马上搜索

文档翻译

学术文献翻译模型,支持多种主流文档格式。

立即体验