Friedrich Miescher-Institut, P.O. Box 2543, CH-4002 Basel, Switzerland.
EMBO J. 1985 Jul;4(7):1631-5. doi: 10.1002/j.1460-2075.1985.tb03830.x.
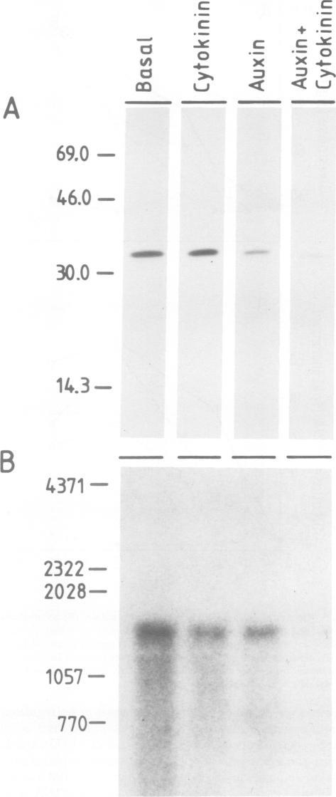
We describe the isolation of a cDNA clone of beta1,3-glucanase mRNA from Nicotiana tabacum L. cv. ;Havana 425' and its use to measure the kinetics of mRNA accumulation in cultured tobacco tissues treated with the plant hormones auxin and cytokinin. Northern blot analysis showed that the tissues contain a single 1.6 kb-sized beta1,3-glucanase mRNA. The levels of beta1,3-glucanase and beta1,3-glucanase mRNA increase by up to seven- and 20-fold, respectively, over a 7-day period in tissues subcultured on hormone-free medium and medium containing auxin or cytokinin added separately. Over the same interval of time, the content of both the enzyme and its mRNA remains at a constant low level in tissues subcultured on medium containing both auxin and cytokinin. The results show that auxin and cytokinin block beta1,3-glucanase production at the level of the mRNA.
我们从烟草(Nicotiana tabacum L. cv. ;Havana 425')中分离到一个β1,3-葡聚糖酶 mRNA 的 cDNA 克隆,并利用它来测量用植物激素生长素和细胞分裂素处理的培养烟草组织中 mRNA 积累的动力学。Northern 印迹分析表明,这些组织中含有一个大小为 1.6kb 的单一β1,3-葡聚糖酶 mRNA。在无激素培养基和分别添加生长素或细胞分裂素的培养基中再培养 7 天,β1,3-葡聚糖酶和β1,3-葡聚糖酶 mRNA 的水平分别增加了 7 倍和 20 倍。在同一时间段内,同时含有生长素和细胞分裂素的培养基中再培养的组织中,酶及其 mRNA 的含量均保持在较低的恒定水平。结果表明,生长素和细胞分裂素在 mRNA 水平上阻止了β1,3-葡聚糖酶的产生。