Max-Planck-Institut für Biochemie, D-8033 Martinsried bei München, FRG.
EMBO J. 1987 Dec 1;6(12):3663-71. doi: 10.1002/j.1460-2075.1987.tb02699.x.
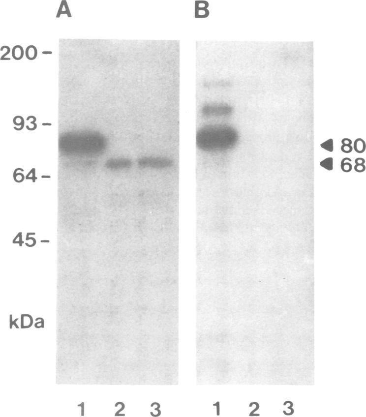
The functions of type 1 and 2 carbohydrates of the contact site A (csA) glycoprotein of Dictyostelium discoideum have been investigated using mutants lacking type 2 carbohydrate. In two mutant strains, HG220 and HG701, a 68-kd glycoprotein was synthesized as the final product of csA biosynthesis. This glycoprotein accumulated to a much lower extent on the surfaces of mutant cells than the mature 80-kd glycoprotein did in wild-type cells. There was also no accumulation of the 68-kd glycoprotein observed within the mutant cells nor was a precursor of lower molecular mass detected, in accordance with previous findings that indicated cotranslational linkage of type 1 carbohydrate by N-glycosylation. Pulse-chase labelling showed that a 50-kd glycopeptide was cleaved off from the mutant 68-kd glycoprotein and released into the medium, while the fully glycosylated 80-kd glycoprotein of the wild type was stable. These results assign a function to type 2 carbohydrate in protecting the cell-surface-exposed csA glycoprotein against proteolytic cleavage. HG220 cells were still capable of forming EDTA-stable contacts to a reduced extent, consistent with the low amounts of the 68-kd glycoprotein present on their surfaces. Thus type 1 rather than type 2 carbohydrate appears to be directly involved in intercellular adhesion that is mediated by the csA glycoprotein. Tunicamycin-treated wild-type and mutant cells produce a 53-kd protein that lacks both type 1 and 2 carbohydrates. While this protein is stable and not transported to the cell surface in the wild type, it is cleaved in the mutants and fragments of it are released into the extracellular medium. These results suggest that the primary defect in the two mutants studied is relief from a restriction in protein transport to the cell surface, and that the defect in type 2 glycosylation is secondary.
已使用缺乏 2 型碳水化合物的突变体研究了粘菌 Dictyostelium discoideum 接触部位 A(csA)糖蛋白的 1 型和 2 型碳水化合物的功能。在两个突变株 HG220 和 HG701 中,合成了作为 csA 生物合成的最终产物的 68-kd 糖蛋白。与野生型细胞中成熟的 80-kd 糖蛋白相比,该糖蛋白在突变细胞表面的积累程度要低得多。也没有观察到突变细胞内 68-kd 糖蛋白的积累,也没有检测到较低分子量的前体,这与之前的研究结果一致,表明通过 N-糖基化进行共翻译连接 1 型碳水化合物。脉冲追踪标记表明,从突变的 68-kd 糖蛋白上裂解了 50-kd 糖肽并释放到培养基中,而野生型的完全糖基化的 80-kd 糖蛋白则稳定。这些结果将 2 型碳水化合物的功能分配给保护细胞表面暴露的 csA 糖蛋白免受蛋白水解切割。HG220 细胞仍然能够形成 EDTA 稳定的接触,但程度降低,这与它们表面存在的低量 68-kd 糖蛋白一致。因此,1 型碳水化合物而不是 2 型碳水化合物似乎直接参与由 csA 糖蛋白介导的细胞间粘附。在用衣霉素处理的野生型和突变型细胞中产生一种缺乏 1 型和 2 型碳水化合物的 53-kd 蛋白。虽然该蛋白在野生型中是稳定的并且不会转运到细胞表面,但在突变体中它被切割,并且其片段被释放到细胞外培养基中。这些结果表明,在所研究的两个突变体中,主要缺陷是从蛋白质向细胞表面转运的限制中得到缓解,而 2 型糖基化的缺陷是次要的。