Suppr超能文献

促炎细胞因子肿瘤坏死因子-α和干扰素-γ通过丝裂原活化蛋白激酶信号传导调节Madin-Darby犬肾细胞中的上皮屏障功能。

Proinflammatory cytokines tumor necrosis factor-alpha and interferon-gamma modulate epithelial barrier function in Madin-Darby canine kidney cells through mitogen activated protein kinase signaling.

作者信息

Patrick David M, Leone Amanda K, Shellenberger Jeffry J, Dudowicz Kara A, King Jonathan M

机构信息

Southwestern Graduate School of Biomedical Sciences, UT Southwestern Medical Center, Dallas, TX 75390-9004, USA.

出版信息

BMC Physiol. 2006 Feb 21;6:2. doi: 10.1186/1472-6793-6-2.

Abstract

BACKGROUND

The tight junction is a dynamic structure that is regulated by a number of cellular signaling processes. Occludin, claudin-1, claudin-2 and claudin-3 are integral membrane proteins found in the tight junction of MDCK cells. These proteins are restricted to this region of the membrane by a complex array of intracellular proteins which are tethered to the cytoskeleton. Alteration of these tight junction protein complexes during pathological events leads to impaired epithelial barrier function that perturbs water and electrolyte homeostasis. We examined MDCK cell barrier function in response to challenge by the proinflammatory cytokines tumor necrosis factor-alpha (TNFalpha) and interferon-gamma (IFNgamma).

RESULTS

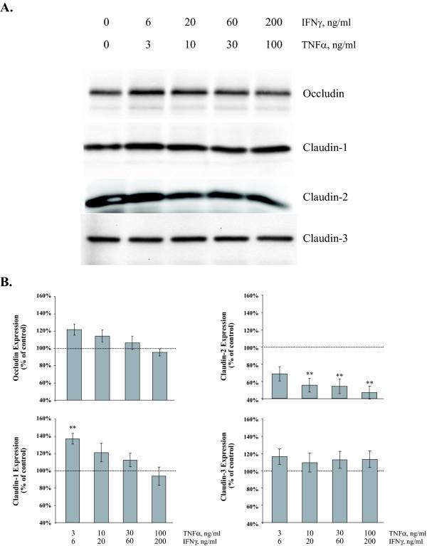
Exposure of MDCK cells to TNFalpha/IFNgamma resulted in a marked sustained elevation of transepithelial electrical resistance (TER) as well as elevated paracellular permeability. We demonstrate that the combination of TNFalpha/IFNgamma at doses used in this study do not significantly induce MDCK cell apoptosis. We observed significant alterations in occludin, claudin-1 and claudin-2 protein expression, junctional localization and substantial cytoskeletal reorganization. Pharmacological inhibition of ERK1/2 and p38 signaling blocked the deleterious effects of the proinflammatory cytokines on barrier function.

CONCLUSION

These data strongly suggest that downstream effectors of MAP kinase signaling pathways mediate the TNFalpha/IFNgamma-induced junctional reorganization that modulates MDCK cell barrier function.

摘要

背景

紧密连接是一种动态结构,受多种细胞信号传导过程调控。闭合蛋白、紧密连接蛋白-1、紧密连接蛋白-2和紧密连接蛋白-3是在MDCK细胞紧密连接中发现的整合膜蛋白。这些蛋白质通过一系列与细胞骨架相连的细胞内蛋白质被限制在膜的该区域。病理事件期间这些紧密连接蛋白复合物的改变会导致上皮屏障功能受损,从而扰乱水和电解质稳态。我们研究了MDCK细胞屏障功能对促炎细胞因子肿瘤坏死因子-α(TNFα)和干扰素-γ(IFNγ)刺激的反应。

结果

MDCK细胞暴露于TNFα/IFNγ导致跨上皮电阻(TER)显著持续升高以及细胞旁通透性升高。我们证明本研究中使用的剂量的TNFα/IFNγ组合不会显著诱导MDCK细胞凋亡。我们观察到闭合蛋白、紧密连接蛋白-1和紧密连接蛋白-2的蛋白表达、连接定位有显著改变以及大量细胞骨架重组。ERK1/2和p38信号通路的药理学抑制阻断了促炎细胞因子对屏障功能的有害影响。

结论

这些数据强烈表明丝裂原活化蛋白激酶信号通路的下游效应器介导了TNFα/IFNγ诱导的调节MDCK细胞屏障功能的连接重组。

https://cdn.ncbi.nlm.nih.gov/pmc/blobs/866b/1402323/d5be9fbe5876/1472-6793-6-2-1.jpg

文献检索

告别复杂PubMed语法,用中文像聊天一样搜索,搜遍4000万医学文献。AI智能推荐,让科研检索更轻松。

立即免费搜索

文件翻译

保留排版,准确专业,支持PDF/Word/PPT等文件格式,支持 12+语言互译。

免费翻译文档

深度研究

AI帮你快速写综述,25分钟生成高质量综述,智能提取关键信息,辅助科研写作。

立即免费体验