Suppr超能文献

甲醇营养型酵母异常汉逊酵母中过氧化物酶体酶的生物合成。

Biosynthesis of peroxisomal enzymes in the methylotrophic yeast Hansenula polymorpha.

机构信息

Laboratory of Cell Biology, The Rockefeller University, New York, NY 10021.

出版信息

Proc Natl Acad Sci U S A. 1983 Nov;80(22):6872-6. doi: 10.1073/pnas.80.22.6872.

Abstract

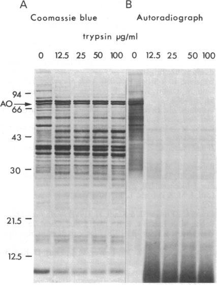
The dramatic expansion of the peroxisomal compartment known to occur in the methanol-utilizing yeast Hansenula polymorpha on transfer from glucose- to methanol-containing media was shown to be accompanied by the synthesis of at least six major polypeptides that dominate the polypeptide pattern of total cell extracts analyzed by NaDodSO(4)/polyacrylamide gel electrophoresis. Two of these polypeptides have been identified by immunochemical methods as the monomers of the peroxisomal enzymes alcohol oxidase and catalase. We have studied the biosynthesis of these two peroxisomal enzymes, both by in vitro translation and by in vivo labeling experiments. By the criterion of mobility in NaDodSO(4)/polyacrylamide gel electrophoresis, the in vitro- and in vivo-synthesized monomers were indistinguishable from each other, both in the case of alcohol oxidase and in that of catalase. Thus, neither of these peroxisomal enzymes appear to be synthesized as larger precursors. However, further analysis of in vitro-synthesized versus mature peroxisomal alcohol oxidase showed that the in vitro-synthesized form sedimented as a 5S monomer and not, like the mature peroxisomal enzyme, as a 20S octamer. Moreover, the in vitro-synthesized form was highly susceptible to trypsin digestion whereas the mature 20S octamer appeared to be resistant.

摘要

已知甲醇利用酵母汉逊德巴利酵母(Hansenula polymorpha)从葡萄糖培养基转移到含甲醇的培养基时,过氧化物酶体隔间会剧烈扩张,这种扩张伴随着至少六种主要多肽的合成,这些多肽在总细胞提取物的 NaDodSO4/聚丙烯酰胺凝胶电泳分析中占主导地位。其中两种多肽已通过免疫化学方法鉴定为过氧化物酶体酶醇氧化酶和过氧化氢酶的单体。我们通过体外翻译和体内标记实验研究了这两种过氧化物酶的生物合成。根据在 NaDodSO4/聚丙烯酰胺凝胶电泳中的迁移率标准,体外和体内合成的单体在醇氧化酶和过氧化氢酶的情况下彼此无法区分。因此,这两种过氧化物酶似乎都不是作为较大的前体合成的。然而,对体外合成的与成熟的过氧化物体醇氧化酶的进一步分析表明,体外合成的形式沉降为 5S 单体,而不像成熟的过氧化物体酶那样沉降为 20S 八聚体。此外,体外合成的形式对胰蛋白酶消化非常敏感,而成熟的 20S 八聚体似乎具有抗性。

https://cdn.ncbi.nlm.nih.gov/pmc/blobs/549a/390088/d54f56261b9f/pnas00648-0146-a.jpg

文献检索

告别复杂PubMed语法,用中文像聊天一样搜索,搜遍4000万医学文献。AI智能推荐,让科研检索更轻松。

立即免费搜索

文件翻译

保留排版,准确专业,支持PDF/Word/PPT等文件格式,支持 12+语言互译。

免费翻译文档

深度研究

AI帮你快速写综述,25分钟生成高质量综述,智能提取关键信息,辅助科研写作。

立即免费体验