Suppr超能文献

WFDC2(人附睾蛋白4):在口腔和呼吸道的固有免疫以及肺腺癌发生发展中的潜在作用

WFDC2 (HE4): a potential role in the innate immunity of the oral cavity and respiratory tract and the development of adenocarcinomas of the lung.

作者信息

Bingle Lynne, Cross Simon S, High Alec S, Wallace William A, Rassl Doris, Yuan Guanglu, Hellstrom Ingegerd, Campos Michael A, Bingle Colin D

机构信息

Department of Oral Pathology, School of Clinical Dentistry, University of Sheffield, Sheffield, UK.

出版信息

Respir Res. 2006 Apr 6;7(1):61. doi: 10.1186/1465-9921-7-61.

Abstract

BACKGROUND

The Whey Acidic Protein domain is an evolutionarily conserved motif found in a number of proteins, the best studied of which are antiproteinases involved in the innate immune defence of multiple epithelia. We recently characterised the WFDC2 gene which encodes a two WAP domain-containing protein, initially suggested as a marker for epididymis, and showed that it is highly expressed in the lung and salivary gland. The precise location of WFDC2 protein in these sites has not been described.

METHODS

We used immunohistochemistry to localise WFDC2 in normal tissues of the respiratory tract, naso- and oropharynx, as well as in chronically inflamed lung from Cystic Fibrosis and a range of pulmonary carcinomas. We have complemented these studies with molecular analysis of WFDC2 gene expression in primary human lung cell cultures.

RESULTS

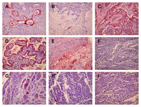
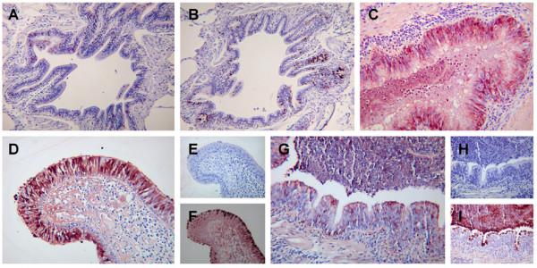
WFDC2 is expressed in some epithelial cells of the upper airways as well as in mucous cells and ducts of submucosal glands. No staining was seen in peripheral lung. Intense staining is found in major salivary glands and in minor glands of the nose, sinuses, posterior tongue and tonsil. Studies with the related protein Secretory Leukocyte Protease Inhibitor (SLPI) show that although both proteins are expressed in similar tissues, the precise cellular localisation differs. Significant increases in expression and localisation of WFDC2 are seen in patients with Cystic Fibrosis. SLPI expression was greatly reduced in the same samples. In cultures of tracheobronchial epithelial cells, expression of WFDC2 and SLPI are differentially regulated during differentiation yet WFDC2 is not induced by pro-inflammatory mediators. The majority of adenocarcinomas stain with WFDC2 whilst a significant minority of squamous, small cell and large cell carcinomas exhibit focal staining. There is no clear association with tumour grade.

CONCLUSION

We believe that these studies support the hypothesis that WFDC2 may be a component of the innate immune defences of the lung, nasal and oral cavities and suggest that WFDC2 functions in concert with related WAP domain containing proteins in epithelial host defence. We also suggest that WFDC2 re-expression in lung carcinomas may prove to be associated with tumour type and should be studied in further detail.

摘要

背景

乳清酸性蛋白结构域是在许多蛋白质中发现的一种进化上保守的基序,其中研究得最深入的是参与多种上皮细胞固有免疫防御的抗蛋白酶。我们最近对WFDC2基因进行了表征,该基因编码一种含有两个WAP结构域的蛋白质,最初被认为是附睾的标志物,并表明它在肺和唾液腺中高度表达。尚未描述WFDC2蛋白在这些部位的确切定位。

方法

我们使用免疫组织化学方法在呼吸道、鼻和口咽的正常组织中以及来自囊性纤维化的慢性炎症肺和一系列肺癌中定位WFDC2。我们通过对原代人肺细胞培养物中WFDC2基因表达的分子分析对这些研究进行了补充。

结果

WFDC2在上呼吸道的一些上皮细胞以及粘膜下腺的粘液细胞和导管中表达。在肺外周未见染色。在主要唾液腺以及鼻、鼻窦、舌后部和扁桃体的小腺体中发现强烈染色。对相关蛋白分泌型白细胞蛋白酶抑制剂(SLPI)的研究表明,尽管这两种蛋白都在相似的组织中表达,但精确的细胞定位不同。在囊性纤维化患者中,WFDC2的表达和定位显著增加。在相同样本中,SLPI表达大大降低。在气管支气管上皮细胞培养物中,WFDC2和SLPI的表达在分化过程中受到不同调节,但WFDC2不会被促炎介质诱导。大多数腺癌用WFDC2染色,而少数鳞状、小细胞和大细胞癌表现为局灶性染色。与肿瘤分级没有明确关联。

结论

我们认为这些研究支持以下假设,即WFDC2可能是肺、鼻腔和口腔固有免疫防御的一个组成部分,并表明WFDC2与上皮宿主防御中含相关WAP结构域的蛋白质协同发挥作用。我们还建议,肺癌中WFDC2的重新表达可能与肿瘤类型有关,应进一步详细研究。

https://cdn.ncbi.nlm.nih.gov/pmc/blobs/47d2/1459147/b06a7e026479/1465-9921-7-61-1.jpg

文献检索

告别复杂PubMed语法,用中文像聊天一样搜索,搜遍4000万医学文献。AI智能推荐,让科研检索更轻松。

立即免费搜索

文件翻译

保留排版,准确专业,支持PDF/Word/PPT等文件格式,支持 12+语言互译。

免费翻译文档

深度研究

AI帮你快速写综述,25分钟生成高质量综述,智能提取关键信息,辅助科研写作。

立即免费体验