Suppr超能文献

爱泼斯坦-巴尔核抗原1介导爱泼斯坦-巴尔病毒潜伏复制起点内的一个DNA环。

Epstein-Barr nuclear antigen 1 mediates a DNA loop within the latent replication origin of Epstein-Barr virus.

作者信息

Frappier L, O'Donnell M

机构信息

Howard Hughes Medical Institute, Microbiology Department, Cornell University Medical College, New York, NY 10021.

出版信息

Proc Natl Acad Sci U S A. 1991 Dec 1;88(23):10875-9. doi: 10.1073/pnas.88.23.10875.

Abstract

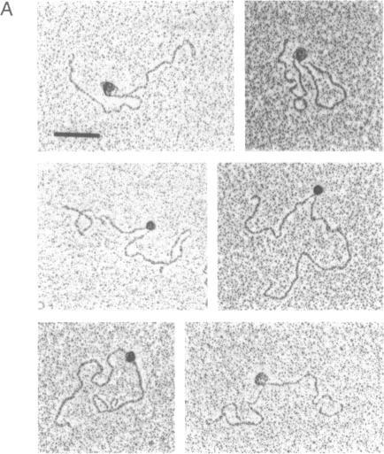
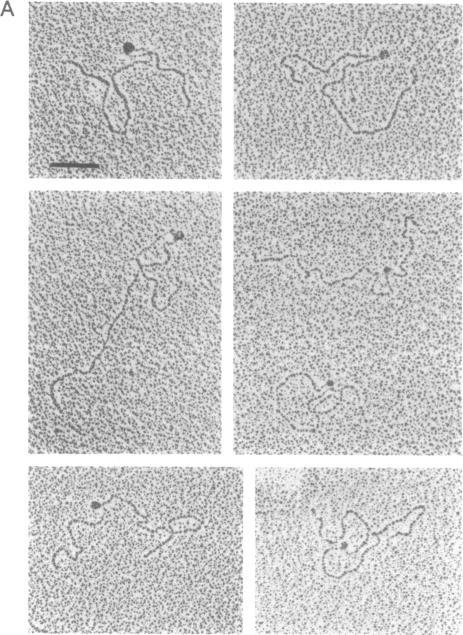
Epstein-Barr virus-encoded nuclear antigen 1 (EBNA-1) binds and activates the viral latent origin of DNA replication, oriP. We have used electron microscopy to examine the assembly of EBNA-1 onto oriP. The oriP region consists of two essential elements separated by approximately 1 kilobase pair of DNA. One element contains 20 tandom EBNA-1 binding sites [called the family of repeats (FR)] and serves to activate initiation of replication at the dyad symmetry (DS) element, which contains 4 EBNA-1 binding sites. Titration of homogeneous EBNA-1 produced in baculovirus (bEBNA-1) onto oriP DNA showed an order to the assembly of bEBNA-1 onto oriP. At low concentrations, bEBNA-1 was located exclusively on the FR element. As the level of bEBNA-1 was raised, a loop between the FR and DS elements became the most prevalent DNA-protein complex. These data suggest protein-mediated DNA looping may play a role in activating latent-phase replication of the Epstein-Barr virus.

摘要

爱泼斯坦-巴尔病毒编码的核抗原1(EBNA-1)结合并激活病毒DNA复制的潜伏起始位点oriP。我们利用电子显微镜来研究EBNA-1在oriP上的组装情况。oriP区域由两个必需元件组成,它们被大约1千碱基对的DNA隔开。一个元件包含20个串联的EBNA-1结合位点[称为重复序列家族(FR)],并用于激活在包含4个EBNA-1结合位点的双对称(DS)元件处的复制起始。将杆状病毒中产生的同源EBNA-1(bEBNA-1)滴定到oriP DNA上,显示出bEBNA-1在oriP上的组装顺序。在低浓度时,bEBNA-1仅位于FR元件上。随着bEBNA-1水平的升高,FR和DS元件之间的一个环成为最普遍的DNA-蛋白质复合物。这些数据表明蛋白质介导的DNA环化可能在激活爱泼斯坦-巴尔病毒的潜伏相复制中起作用。

https://cdn.ncbi.nlm.nih.gov/pmc/blobs/abbd/53034/7adb2643e675/pnas01073-0511-a.jpg

文献检索

告别复杂PubMed语法,用中文像聊天一样搜索,搜遍4000万医学文献。AI智能推荐,让科研检索更轻松。

立即免费搜索

文件翻译

保留排版,准确专业,支持PDF/Word/PPT等文件格式,支持 12+语言互译。

免费翻译文档

深度研究

AI帮你快速写综述,25分钟生成高质量综述,智能提取关键信息,辅助科研写作。

立即免费体验