Suppr超能文献

WT1基因表达作为晚期浆液性上皮性卵巢癌的预后标志物:一项免疫组织化学研究

WT1 gene expression as a prognostic marker in advanced serous epithelial ovarian carcinoma: an immunohistochemical study.

作者信息

Netinatsunthorn Wirote, Hanprasertpong Jitti, Dechsukhum Chavaboon, Leetanaporn Roengsak, Geater Alan

机构信息

Department of Obstetrics and Gynecology, Faculty of Medicine, Prince of Songkla University, Hatyai, Songkhla, Thailand.

出版信息

BMC Cancer. 2006 Apr 11;6:90. doi: 10.1186/1471-2407-6-90.

Abstract

BACKGROUND

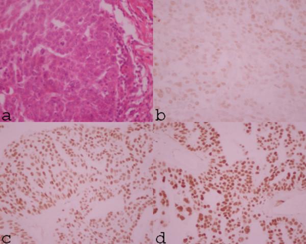
WT1 is a tumor suppressor gene responsible for Wilms' tumor. WT1 reactivity is limited to ovarian serous carcinomas. Recent studies have shown that WT1 plays an important role in the progression of disease and indicates a poorer prognosis of human malignancies such as acute myeloid leukemia and breast cancer. The aims of this study were to determine the survival and recurrence-free survival of women with advanced serous epithelial ovarian carcinoma in relation to WT1 gene expression.

METHODS

The study accrued women over an 18-year period, from 1987-2004. During the study period, 163 patients were diagnosed with advanced serous epithelial ovarian carcinoma and had undergone complete post-operative chemotherapy, but the final study group comprised 99 patients. The records of these women were reviewed and the paraffin-embedded tissue of these women stained with WT1 immunostaining. Survival analysis was performed using Kaplan-Meier and Cox regression methods.

RESULTS

Fifty patients showed WT1 staining and forty-nine did not. Five-year survival of non-staining and staining groups were 39.4% and 10.7% (p < 0.00005); five-year recurrence-free survival of these groups were 29.8% and < or = 7.5% (p < 0.00005), respectively. For survival the HR of WT1 staining, adjusted for residual tumor and chemotherapy response, was 1.98 (95% CI 1.28-3.79), and for recurrence-free survival the HR was 3.36 (95% CI 1.60-7.03). The HR for recurrence-free survival was not confounded by any other variables.

CONCLUSION

This study suggests that expression of WT1 gene may be indicative of an unfavorable prognosis in patients with advanced serous epithelial ovarian carcinoma.

摘要

背景

WT1是一种与肾母细胞瘤相关的肿瘤抑制基因。WT1的反应性仅限于卵巢浆液性癌。最近的研究表明,WT1在疾病进展中起重要作用,并提示人类恶性肿瘤如急性髓性白血病和乳腺癌的预后较差。本研究的目的是确定晚期浆液性上皮性卵巢癌患者的生存及无复发生存情况与WT1基因表达的关系。

方法

本研究在1987年至2004年的18年期间招募女性患者。在研究期间,163例患者被诊断为晚期浆液性上皮性卵巢癌并接受了完整的术后化疗,但最终研究组包括99例患者。对这些女性的记录进行回顾,并对她们的石蜡包埋组织进行WT1免疫染色。使用Kaplan-Meier法和Cox回归方法进行生存分析。

结果

50例患者显示WT1染色,49例未显示。非染色组和染色组的5年生存率分别为39.4%和10.7%(p<0.00005);这些组的5年无复发生存率分别为29.8%和≤7.5%(p<0.00005)。对于生存,经残余肿瘤和化疗反应调整后,WT1染色的风险比为1.98(95%可信区间1.28-3.79),对于无复发生存,风险比为3.36(95%可信区间1.60-7.03)。无复发生存的风险比不受任何其他变量的影响。

结论

本研究提示,WT1基因表达可能提示晚期浆液性上皮性卵巢癌患者预后不良。

https://cdn.ncbi.nlm.nih.gov/pmc/blobs/5d65/1479357/5bcba4b0b817/1471-2407-6-90-1.jpg

文献AI研究员

20分钟写一篇综述,助力文献阅读效率提升50倍。

立即体验

用中文搜PubMed

大模型驱动的PubMed中文搜索引擎

马上搜索

文档翻译

学术文献翻译模型,支持多种主流文档格式。

立即体验